This website uses cookies to ensure you get the best experience on our website.
- Table of Contents
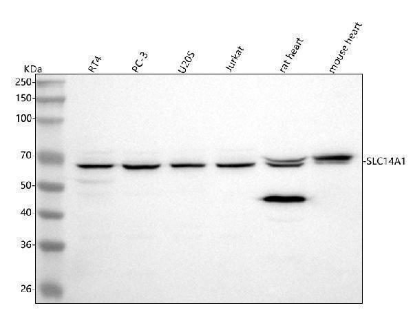
Facts about Urea transporter 1.
The rate of urea conduction is increased by hypotonic stress. Plays an important role in the kidney medulla collecting ducts, where it enables rapid equilibration between the lumen of the ducts and the interstitium, and thus prevents water loss driven by the high concentration of urea in the urine.
| Human | |
|---|---|
| Gene Name: | SLC14A1 |
| Uniprot: | Q13336 |
| Entrez: | 6563 |

| Belongs to: |
|---|
| urea transporter family |

FLJ33745; HsT1341; HUT11; JK; JKFLJ41687; RACH1; RACH2; SLC14A1; solute carrier family 14 (urea transporter), member 1 (Kidd blood group); Solute carrier family 14 member 1; truncated urea transporter; urea transporter 1; urea transporter JK glycoprotein; Urea transporter, erythrocyte; urea transporter-B1; UT1; UT1UT-B1; UT-B1; UTE; UTEblood group Kidd urea transporter
Mass (kDA):
42.528 kDA

| Human | |
|---|---|
| Location: | 18q12.3 |
| Sequence: | 18; NC_000018.10 (45724127..45752520) |
Detected in erythrocytes (at protein level). Erythrocytes.
Cell membrane; Multi-pass membrane protein. Basolateral cell membrane; Multi-pass membrane protein. Restricted to the basolateral membrane in various portions of the urothelium.




PMID: 7989337 by Olives B., et al. Cloning and functional expression of a urea transporter from human bone marrow cells.
PMID: 8573795 by Davey S., et al. RACH2, a novel human gene that complements a fission yeast cell cycle checkpoint mutation.
*More publications can be found for each product on its corresponding product page