Product Info Summary
| SKU: | A11920 |
|---|---|
| Size: | 100μl |
| Reactive Species: | Human, Mouse, Rat |
| Host: | Mouse |
| Application: | IF, IHC, WB |
Customers Who Bought This Also Bought
Product info
Product Name
Anti-EFHD1 Monoclonal Antibody
SKU/Catalog Number
A11920
Size
100μl
Form
Liquid
Description
Boster Bio Anti-EFHD1 Monoclonal Antibody catalog # A11920. Tested in WB, IHC, IF applications. This antibody reacts with Human, Mouse, Rat.
Storage & Handling
Store at -20°C for one year. For short term storage and frequent use, store at 4°C for up to one month. Avoid repeated freeze-thaw cycles.
Cite This Product
Anti-EFHD1 Monoclonal Antibody (Boster Biological Technology, Pleasanton CA, USA, Catalog # A11920)
Host
Mouse
Contents
Liquid in PBS containing 50% glycerol, 0.5% stabilizing protein and 0.02% sodium azide.
This antibody is supplied in a stabilized formulation.
Compatibility with conjugation reactions depends on the chemistry of the conjugation method used.
For conjugation methods that are not compatible with the stabilizing components present in this formulation, a carrier-free antibody format is required.
Clonality
Monoclonal
Clone Number
3G2
Isotype
IgG1
Immunogen
Synthetic Peptide of EFHD1
Reactive Species
A11920 is reactive to EFHD1 in Human, Mouse, Rat
Calculated molecular weight
26.9 kDa
Antibody Validation
Boster validates all antibodies on WB, IHC, ICC, Immunofluorescence, and ELISA with known positive control and negative samples to ensure specificity and high affinity, including thorough antibody incubations.
Application & Images
Applications
A11920 is guaranteed for IF, IHC, WB Boster Guarantee
Assay Dilutions Recommendation
The recommendations below provide a starting point for assay optimization. The actual working concentration varies and should be decided by the user.
WB 1:2000
IF 1:100-200
IHC 1:50-300
Validation Images & Assay Conditions
Click image to see more details
IF analysis of Hela with antibody (Left) and DAPI (Right) diluted at 1:100.
Click image to see more details
Western blot analysis of 1) Mouse spleen tissue, 2) Rat spleen tissue, diluted at 1:3000.
Click image to see more details
Immunohistochemical analysis of paraffin-embedded Rat-heart tissue. 1,EFHD1 Monoclonal Antibody (3G2) was diluted at 1:200 (4°C,overnight). 2, Sodium citrate pH 6.0 was used for antibody retrieval (>98°C,20min). 3,Secondary antibody was diluted at 1:200 (room tempeRature, 30min). Negative control was used by secondary antibody only.
Click image to see more details
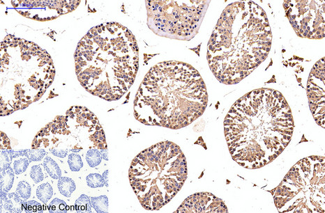
Immunohistochemical analysis of paraffin-embedded Mouse-testis tissue. 1,EFHD1 Monoclonal Antibody (3G2) was diluted at 1:200 (4°C,overnight). 2, Sodium citrate pH 6.0 was used for antibody retrieval (>98°C,20min). 3,Secondary antibody was diluted at 1:200 (room tempeRature, 30min). Negative control was used by secondary antibody only.
Specific Publications For Anti-EFHD1 Monoclonal Antibody (A11920)
Loading publications
Recommended Resources
Here are featured tools and databases that you might find useful.
- Boster's Pathways Library
- Protein Databases
- Bioscience Research Protocol Resources
- Data Processing & Analysis Software
- Photo Editing Software
- Scientific Literature Resources
- Research Paper Management Tools
- Molecular Biology Software
- Primer Design Tools
- Bioinformatics Tools
- Phylogenetic Tree Analysis
Customer Reviews
Have you used Anti-EFHD1 Monoclonal Antibody?
Share your experimental results or join a short interview to earn up to $1,000 in product credits or other rewards.
0 Reviews For Anti-EFHD1 Monoclonal Antibody
Customer Q&As
Have a question?
Find answers in Q&As, reviews.
Can't find your answer?
Submit your question
7 Customer Q&As for Anti-EFHD1 Monoclonal Antibody
Question
We want to test anti-EFHD1 Monoclonal antibody A11920 on mouse inferior olivary complex for research purposes, then I may be interested in using anti-EFHD1 Monoclonal antibody A11920 for diagnostic purposes as well. Is the antibody suitable for diagnostic purposes?
Verified Customer
Verified customer
Asked: 2020-04-01
Answer
The products we sell, including anti-EFHD1 Monoclonal antibody A11920, are only intended for research use. They would not be suitable for use in diagnostic work. If you have the means to develop a product into diagnostic use, and are interested in collaborating with us and develop our product into an IVD product, please contact us for more discussions.
Boster Scientific Support
Answered: 2020-04-01
Question
I was wanting to use your anti-EFHD1 Monoclonal antibody for WB for mouse inferior olivary complex on frozen tissues, but I want to know if it has been validated for this particular application. Has this antibody been validated and is this antibody a good choice for mouse inferior olivary complex identification?
Verified Customer
Verified customer
Asked: 2020-02-17
Answer
It shows on the product datasheet, A11920 anti-EFHD1 Monoclonal antibody has been tested for IF, IHC, WB on human, mouse, rat tissues. We have an innovator award program that if you test this antibody and show it works in mouse inferior olivary complex in IHC-frozen, you can get your next antibody for free.
Boster Scientific Support
Answered: 2020-02-17
Question
I appreciate helping with my inquiry over the phone. Here are the WB image, lot number and protocol we used for inferior olivary complex using anti-EFHD1 Monoclonal antibody A11920. Let me know if you need anything else.
Verified Customer
Verified customer
Asked: 2019-09-10
Answer
Thanks for the data. You have provided everything we needed. Our lab team are working to resolve your inquiry as quickly as possible, and we appreciate your patience and understanding! Please let me know if there is anything you need in the meantime.
Boster Scientific Support
Answered: 2019-09-10
Question
We are currently using anti-EFHD1 Monoclonal antibody A11920 for rat tissue, and we are well pleased with the IHC results. The species of reactivity given in the datasheet says human, mouse, rat. Is it possible that the antibody can work on dog tissues as well?
Verified Customer
Verified customer
Asked: 2019-05-13
Answer
The anti-EFHD1 Monoclonal antibody (A11920) has not been tested for cross reactivity specifically with dog tissues, though there is a good chance of cross reactivity. We have an innovator award program that if you test this antibody and show it works in dog you can get your next antibody for free. Please contact me if I can help you with anything.
Boster Scientific Support
Answered: 2019-05-13
Question
Is a blocking peptide available for product anti-EFHD1 Monoclonal antibody (A11920)?
D. Carter
Verified customer
Asked: 2019-03-20
Answer
We do provide the blocking peptide for product anti-EFHD1 Monoclonal antibody (A11920). If you would like to place an order for it please contact support@bosterbio.com and make a special request.
Boster Scientific Support
Answered: 2019-03-20
Question
I see that the anti-EFHD1 Monoclonal antibody A11920 works with WB, what is the protocol used to produce the result images on the product page?
S. Baker
Verified customer
Asked: 2017-01-11
Answer
You can find protocols for WB on the "support/technical resources" section of our navigation menu. If you have any further questions, please send an email to support@bosterbio.com
Boster Scientific Support
Answered: 2017-01-11
Question
Do you have a BSA free version of anti-EFHD1 Monoclonal antibody A11920 available?
A. Dhar
Verified customer
Asked: 2016-03-24
Answer
Thank you for your recent telephone inquiry. I can confirm that some lots of this anti-EFHD1 Monoclonal antibody A11920 are BSA free. For now, these lots are available and we can make a BSA free formula for you free of charge. It will take 3 extra days to prepare. If you require this antibody BSA free again in future, please do not hesitate to contact me and I will be pleased to check which lots we have in stock that are BSA free.
Boster Scientific Support
Answered: 2016-03-24

