Product Info Summary
| SKU: | M11409-1 |
|---|---|
| Size: | 100 µl |
| Reactive Species: | Human, Mouse, Rat |
| Host: | Mouse |
| Application: | IF, IHC |
Customers Who Bought This Also Bought
Product info
Product Name
Anti-TRIM45 Mouse Monoclonal Antibody [Clone ID: OTI3G3]
SKU/Catalog Number
M11409-1
Size
100 µl
Description
Boster Bio TRIM45 mouse monoclonal antibody, clone OTI3G3 (formerly 3G3). Catalog# M11409-1. Tested in IF, IHC. This antibody reacts with Human, Mouse, Rat.
Storage & Handling
Store at -20°C as received.
Cite This Product
Anti-TRIM45 Mouse Monoclonal Antibody [Clone ID: OTI3G3] (Boster Biological Technology, Pleasanton CA, USA, Catalog # M11409-1)
Host
Mouse
Contents
PBS (pH 7.3) containing 1% stabilizing protein, 50% glycerol and 0.02% sodium azide.
This antibody is supplied in a stabilized formulation.
Compatibility with conjugation reactions depends on the chemistry of the conjugation method used.
For conjugation methods that are not compatible with the stabilizing components present in this formulation, a carrier-free antibody format is required.
Clonality
Monoclonal
Clone Number
OTI3G3
Isotype
IgG1
Immunogen
Human recombinant protein fragment corresponding to amino acids 288-580 of human TRIM45 (NP_079464) produced in E.coli.
Reactive Species
M11409-1 is reactive to TRIM45 in Human, Mouse, Rat
Calculated molecular weight
64.4 kDa
Antibody Validation
Boster validates all antibodies on WB, IHC, ICC, Immunofluorescence, and ELISA with known positive control and negative samples to ensure specificity and high affinity, including thorough antibody incubations.
Application & Images
Applications
M11409-1 is guaranteed for IF, IHC Boster Guarantee
Assay Dilutions Recommendation
The recommendations below provide a starting point for assay optimization. The actual working concentration varies and should be decided by the user.
IHC 1:150
IF 1:100
Validation Images & Assay Conditions
Click image to see more details
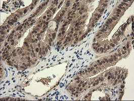
Immunohistochemical staining of paraffin-embedded Adenocarcinoma of Human ovary tissue using anti-TRIM45 mouse monoclonal antibody. (Heat-induced epitope retrieval by 10mM citric buffer
Click image to see more details
Immunohistochemical staining of paraffin-embedded Human pancreas tissue within the normal limits using anti-TRIM45 mouse monoclonal antibody. (Heat-induced epitope retrieval by 10mM citric buffer
Click image to see more details
Immunohistochemical staining of paraffin-embedded Carcinoma of Human bladder tissue using anti-TRIM45 mouse monoclonal antibody. (Heat-induced epitope retrieval by 10mM citric buffer
Click image to see more details
Immunohistochemical staining of paraffin-embedded Human tonsil within the normal limits using anti-TRIM45 mouse monoclonal antibody. (Heat-induced epitope retrieval by 10mM citric buffer
Click image to see more details
Immunohistochemical staining of paraffin-embedded Human Kidney tissue within the normal limits using anti-TRIM45 mouse monoclonal antibody. (Heat-induced epitope retrieval by 10mM citric buffer
Click image to see more details
Immunohistochemical staining of paraffin-embedded Human liver tissue within the normal limits using anti-TRIM45 mouse monoclonal antibody. (Heat-induced epitope retrieval by 10mM citric buffer
Click image to see more details
Anti-TRIM45 mouse monoclonal antibody (M11409-1) immunofluorescent staining of COS7 cells transiently transfected by pCMV6-ENTRY TRIM45.
Specific Publications For Anti-TRIM45 Mouse Monoclonal Antibody [Clone ID: OTI3G3] (M11409-1)
Loading publications
Recommended Resources
Here are featured tools and databases that you might find useful.
- Boster's Pathways Library
- Protein Databases
- Bioscience Research Protocol Resources
- Data Processing & Analysis Software
- Photo Editing Software
- Scientific Literature Resources
- Research Paper Management Tools
- Molecular Biology Software
- Primer Design Tools
- Bioinformatics Tools
- Phylogenetic Tree Analysis
Customer Reviews
Have you used Anti-TRIM45 Mouse Monoclonal Antibody [Clone ID: OTI3G3]?
Share your experimental results or join a short interview to earn up to $1,000 in product credits or other rewards.
0 Reviews For Anti-TRIM45 Mouse Monoclonal Antibody [Clone ID: OTI3G3]
Customer Q&As
Have a question?
Find answers in Q&As, reviews.
Can't find your answer?
Submit your question

