This website uses cookies to ensure you get the best experience on our website.
- Table of Contents
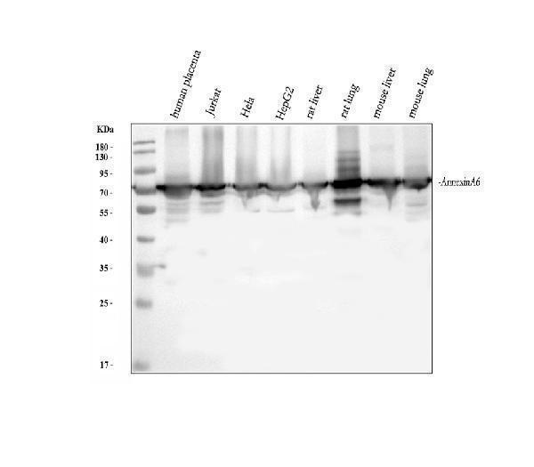
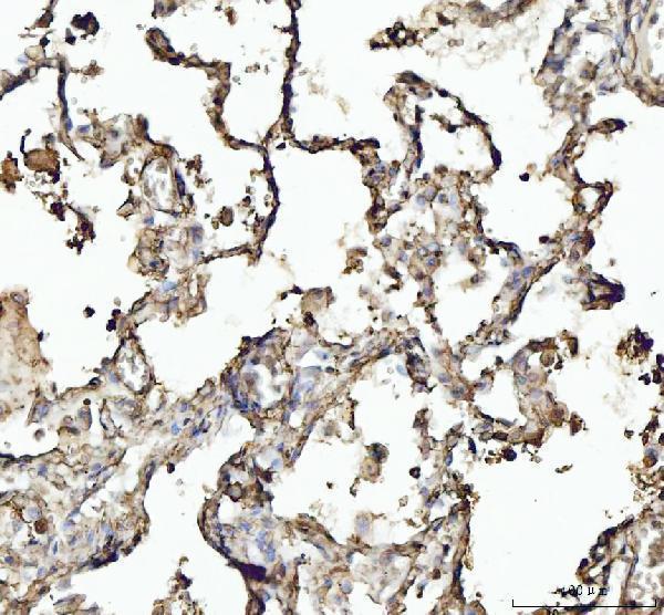
Facts about Annexin A6.
May associate with CD21.
May regulate the release of Ca(2+) from intracellular stores..
| Human | |
|---|---|
| Gene Name: | ANXA6 |
| Uniprot: | P08133 |
| Entrez: | 309 |

| Belongs to: |
|---|
| annexin family |

67 kDa calelectrin; Annexin A6; annexin VI (p68); Annexin VI; Annexin-6; ANX6; ANXA6; calcium-binding protein p68; Calelectrin; calphobindin II; calphobindin-II; CBP68; chromobindin-20; CPB-II ; CPB-II; Lipocortin VI; p68; p70; Protein III
Mass (kDA):
75.873 kDA

| Human | |
|---|---|
| Location: | 5q33.1 |
| Sequence: | 5; NC_000005.10 (151100706..151157779, complement) |
Cytoplasm. Melanosome. Identified by mass spectrometry in melanosome fractions from stage I to stage IV.





PMID: 3258820 by Crompton M.R., et al. Primary structure of the human, membrane-associated Ca2+-binding protein p68 a novel member of a protein family.
PMID: 2963335 by Suedhof T.C., et al. Human 67-kDa calelectrin contains a duplication of four repeats found in 35-kDa lipocortins.