This website uses cookies to ensure you get the best experience on our website.
- Table of Contents
1 Citations
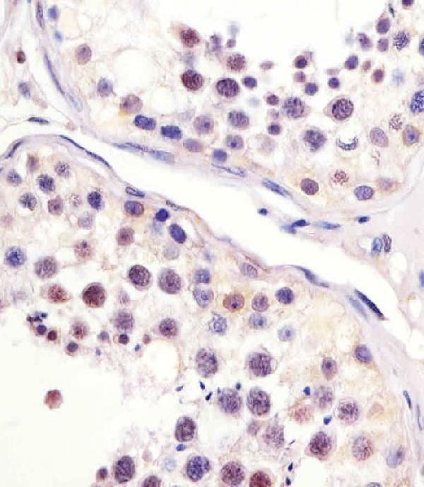
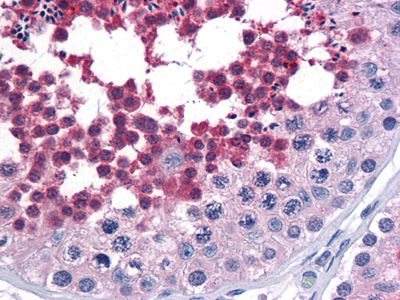
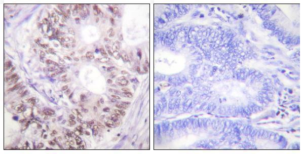
Facts about M-phase inducer phosphatase 3.
When phosphorylated, highly effective in activating G2 cells to prophase. Directly dephosphorylates CDK1 and activates its kinase activity.
| Human | |
|---|---|
| Gene Name: | CDC25C |
| Uniprot: | P30307 |
| Entrez: | 995 |

| Belongs to: |
|---|
| MPI phosphatase family |

CDC 25; CDC25; CDC25C; cell division cycle 25 homolog C (S. cerevisiae); cell division cycle 25 homolog C (S. pombe); cell division cycle 25C; Dual specificity phosphatase Cdc25C; EC 3.1.3.48; mitosis inducer CDC25; M-phase inducer phosphatase 3; phosphotyrosine phosphatase
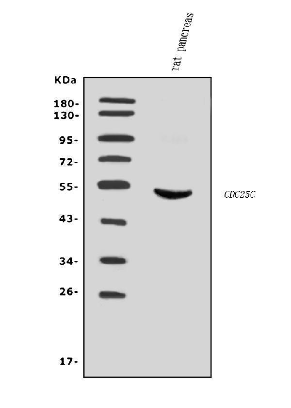
Mass (kDA):
53.365 kDA

| Human | |
|---|---|
| Location: | 5q31.2 |
| Sequence: | 5; NC_000005.10 (138285265..138338355, complement) |
Nucleus.






PMID: 2195549 by Sadhu K., et al. Human homolog of fission yeast cdc25 mitotic inducer is predominantly expressed in G2.
PMID: 11078813 by Bureik M., et al. An additional transcript of the cdc25C gene from A431 cells encodes a functional protein.
*More publications can be found for each product on its corresponding product page