This website uses cookies to ensure you get the best experience on our website.
- Table of Contents
1 Citations 1 Q&As
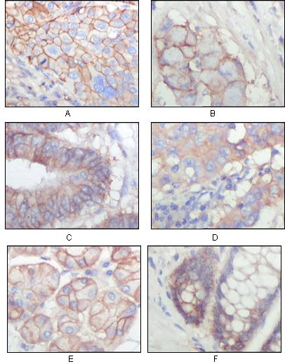
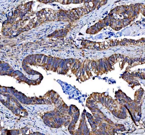
Facts about Ephrin type-B receptor 3.
Like EPHB2, functions in axon guidance during development regulating for instance the neurons forming the corpus callosum and the anterior commissure, 2 important interhemispheric connections between the temporal lobes of the cerebral cortex. In addition to its role in axon guidance plays an important redundant role with other ephrin-B receptors in development and maturation of dendritic spines as well as the formation of excitatory synapses.
| Human | |
|---|---|
| Gene Name: | EPHB3 |
| Uniprot: | P54753 |
| Entrez: | 2049 |

| Belongs to: |
|---|
| protein kinase superfamily |

Cek10; EC 2.7.10; EC 2.7.10.1; EK2; EPH receptor B3; EphB3; EPH-like kinase 2; EPH-like tyrosine kinase-2; ephrin type-B receptor 3; ETK2Hek2; Hek2; human embryo kinase 2; Mdk5; Sek4; Tyro6; Tyrosine-protein kinase TYRO6
Mass (kDA):
110.33 kDA

| Human | |
|---|---|
| Location: | 3q27.1 |
| Sequence: | 3; NC_000003.12 (184561785..184582408) |
Ubiquitous.
Cell membrane; Single-pass type I membrane protein. Cell projection, dendrite.




PMID: 8397371 by Boehme B., et al. PCR mediated detection of a new human receptor-tyrosine-kinase, HEK 2.
PMID: 9674711 by Hock B., et al. Tyrosine-614, the major autophosphorylation site of the receptor tyrosine kinase HEK2, functions as multi-docking site for SH2-domain mediated interactions.