This website uses cookies to ensure you get the best experience on our website.
- Table of Contents

2 Citations 1 Q&As
Facts about Fanconi anemia group D2 protein.
Involved in the repair of DNA double-strand breaks, both by homologous recombination and single-strand annealing. May participate in S phase and G2 phase checkpoint activation upon DNA damage.
| Human | |
|---|---|
| Gene Name: | FANCD2 |
| Uniprot: | Q9BXW9 |
| Entrez: | 2177 |

| Belongs to: |
|---|
| No superfamily |

DKFZp762A223; FA4; FACD; FACDFLJ23826; FAD; FAD2; FA-D2; FADFAD2; FANCD; FANCD2; Fanconi anemia group D2 protein; Fanconi anemia, complementation group D2; Protein FACD2
Mass (kDA):
164.128 kDA

| Human | |
|---|---|
| Location: | 3p25.3 |
| Sequence: | 3; NC_000003.12 (10026437..10101932) |
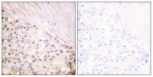
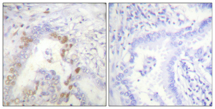
Highly expressed in germinal center cells of the spleen, tonsil, and reactive lymph nodes, and in the proliferating basal layer of squamous epithelium of tonsil, esophagus, oropharynx, larynx and cervix. Expressed in cytotrophoblastic cells of the placenta and exocrine cells of the pancreas (at protein level). Highly expressed in testis, where expression is restricted to maturing spermatocytes.
Nucleus. Concentrates in nuclear foci during S phase and upon genotoxic stress. At the onset of mitosis, excluded from chromosomes and diffuses into the cytoplasm, returning to the nucleus at the end of cell division. Observed in a few spots localized in pairs on the sister chromatids of mitotic chromosome arms and not centromeres, one on each chromatids. These foci coincide with common fragile sites and could be sites of replication fork stalling. The foci are frequently interlinked through BLM-associated ultra-fine DNA bridges. Following aphidicolin treatment, targets chromatid gaps and brea






PMID: 11239453 by Timmers C., et al. Positional cloning of a novel Fanconi anemia gene, FANCD2.
PMID: 11239454 by Garcia-Higuera I., et al. Interaction of the Fanconi anemia proteins and BRCA1 in a common pathway.