This website uses cookies to ensure you get the best experience on our website.
- Table of Contents
1 Citations 1 Q&As
1 Citations 6 Q&As
1 Citations
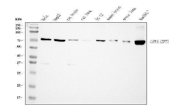
Facts about Stress-70 protein, mitochondrial.
Regulates erythropoiesis through insertion of ISC assembly (PubMed:21123823, PubMed:26702583). May play a role in the control of cell proliferation and cellular aging (By similarity).
| Human | |
|---|---|
| Gene Name: | HSPA9 |
| Uniprot: | P38646 |
| Entrez: | 3313 |

| Belongs to: |
|---|
| heat shock protein 70 family |

75 kDa glucose-regulated protein; CSA; GRP75; GRP-75; GRP75mthsp75; Heat shock 70 kDa protein 9; heat shock 70kD protein 9B; heat shock 70kDa protein 9 (mortalin); heat shock 70kDa protein 9B (mortalin-2); HSPA9; HSPA9B; HSPA9BMGC4500; Mortalin; mortalin, perinuclear; Mortalin-2; MOT; MOT2; mot-2; MTHSP75; p66-mortalin; PBP74; PBP74CSA; Peptide-binding protein 74; stress-70 protein, mitochondrial
Mass (kDA):
73.68 kDA

| Human | |
|---|---|
| Location: | 5q31.2 |
| Sequence: | 5; NC_000005.10 (138553756..138575401, complement) |
Mitochondrion. Nucleus, nucleolus.






PMID: 7684501 by Domanico S.Z., et al. Cloning of the gene encoding peptide-binding protein 74 shows that it is a new member of the heat shock protein 70 family.
PMID: 7829505 by Bhattacharyya T., et al. Cloning and subcellular localization of human mitochondrial hsp70.