This website uses cookies to ensure you get the best experience on our website.
- Table of Contents
2 Citations 16 Q&As
2 Citations 16 Q&As
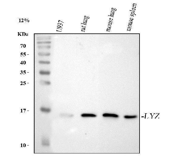
Facts about Lysozyme C.
| Human | |
|---|---|
| Gene Name: | LYZ |
| Uniprot: | P61626 |
| Entrez: | 4069 |

| Belongs to: |
|---|
| glycosyl hydrolase 22 family |

EC 3.2.1.17; lysozyme (renal amyloidosis)1,4-beta-N-acetylmuramidase C; lysozyme C; Lysozyme; LZM; renal amyloidosis
Mass (kDA):
16.537 kDA

| Human | |
|---|---|
| Location: | 12q15 |
| Sequence: | 12; NC_000012.12 (69348381..69354234) |
Secreted.





PMID: 2971592 by Castanon M.J., et al. Cloning of human lysozyme gene and expression in the yeast Saccharomyces cerevisiae.
PMID: 3413092 by Chung L.P., et al. Cloning the human lysozyme cDNA: inverted Alu repeat in the mRNA and in situ hybridization for macrophages and Paneth cells.
*More publications can be found for each product on its corresponding product page