This website uses cookies to ensure you get the best experience on our website.
- Table of Contents
1 Citations 6 Q&As
Facts about [Pyruvate dehydrogenase (acetyl-transferring)] kinase isozyme 1, mitochondrial.
Plays an important role in cellular responses to hypoxia and is important for cell proliferation under hypoxia. Protects cells against apoptosis in response to hypoxia and oxidative stress.
| Human | |
|---|---|
| Gene Name: | PDK1 |
| Uniprot: | Q15118 |
| Entrez: | 5163 |

| Belongs to: |
|---|
| PDK/BCKDK protein kinase family |

EC 2.7.11; EC 2.7.11.2; mitochondrial pyruvate dehydrogenase, lipoamide, kinase isoenzyme 1; PDH kinase 1; PDK1; PDK-1; PKB kinase; Pyruvate dehydrogenase kinase isoform 1; pyruvate dehydrogenase kinase, isoenzyme 1; pyruvate dehydrogenase kinase, isozyme 1; Pyruvate dehydrogenase lipoamide kinase isozyme 1, mitochondrial
Mass (kDA):
49.244 kDA

| Human | |
|---|---|
| Location: | 2q31.1 |
| Sequence: | 2; NC_000002.12 (172555373..172672698) |
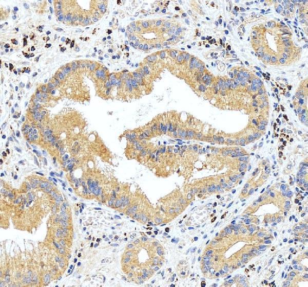
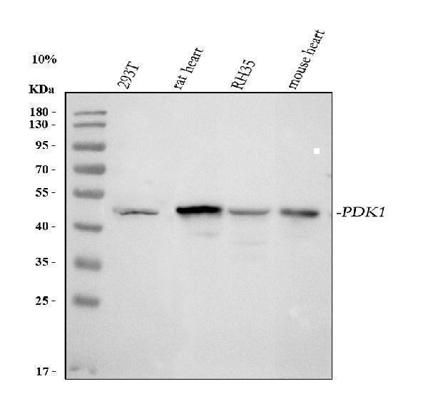
Expressed predominantly in the heart. Detected at lower levels in liver, skeletal muscle and pancreas.
Mitochondrion matrix.






PMID: 7499431 by Gudi R., et al. Diversity of the pyruvate dehydrogenase kinase gene family in humans.
PMID: 18541534 by McFate T., et al. Pyruvate dehydrogenase complex activity controls metabolic and malignant phenotype in cancer cells.
*More publications can be found for each product on its corresponding product page