This website uses cookies to ensure you get the best experience on our website.
- Table of Contents
1 Q&As
3 Citations
Facts about RAF proto-oncogene serine/threonine-protein kinase.
The phosphorylated form of RAF1 (on residues Ser-338 and Ser-339, by PAK1) phosphorylates BAD/Bcl2- antagonist of cell death at 'Ser-75'. Phosphorylates adenylyl cyclases: ADCY2, ADCY5 and ADCY6, leading to their activation.
| Human | |
|---|---|
| Gene Name: | RAF1 |
| Uniprot: | P04049 |
| Entrez: | 5894 |

| Belongs to: |
|---|
| protein kinase superfamily |

cRaf; c-Raf; c-Raf-1; CRAFraf proto-oncogene serine/threonine protein kinase; EC 2.7.11; EC 2.7.11.1; NS5; Proto-oncogene c-RAF; RAF proto-oncogene serine/threonine-protein kinase; RAF; Raf1; Raf-1; Raf-1Oncogene RAF1; v-raf-1 murine leukemia viral oncogene homolog 1; v-Raf-1
Mass (kDA):
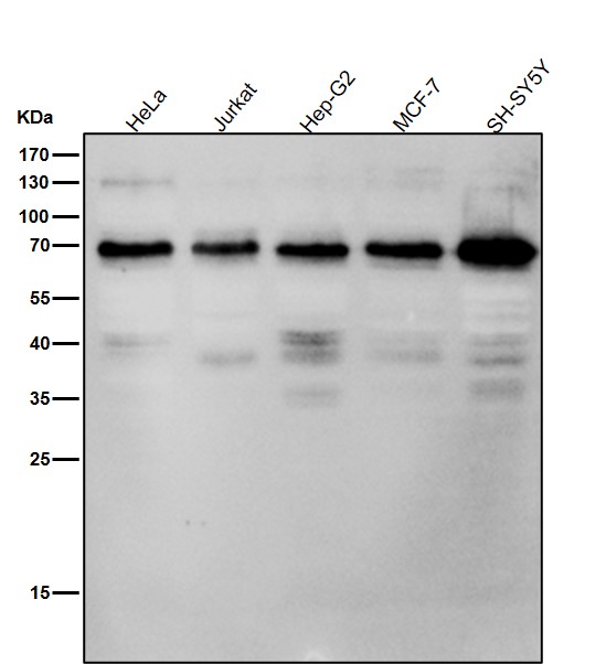
73.052 kDA

| Human | |
|---|---|
| Location: | 3p25.2 |
| Sequence: | 3; NC_000003.12 (12583601..12664201, complement) |
In skeletal muscle, isoform 1 is more abundant than isoform 2.
Cytoplasm. Cell membrane. Mitochondrion. Nucleus. Colocalizes with RGS14 and BRAF in both the cytoplasm and membranes. Phosphorylation at Ser-259 impairs its membrane accumulation. Recruited to the cell membrane by the active Ras protein. Phosphorylation at Ser-338 and Ser-339 by PAK1 is required for its mitochondrial localization. Retinoic acid-induced Ser-621 phosphorylated form of RAF1 is predominantly localized at the nucleus.





PMID: 3003687 by Bonner T.I., et al. The complete coding sequence of the human raf oncogene and the corresponding structure of the c-raf-1 gene.
PMID: 2993863 by Bonner T.I., et al. Structure and biological activity of human homologs of the raf/mil oncogene.
*More publications can be found for each product on its corresponding product page