This website uses cookies to ensure you get the best experience on our website.
- Table of Contents

6 Citations 7 Q&As
2 Citations
Facts about Wilms tumor protein.
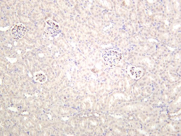
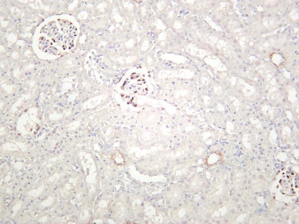
Plays an important role for development of the urogenital system. It has a tumor suppressor as well as an oncogenic role in tumor formation.
| Human | |
|---|---|
| Gene Name: | WT1 |
| Uniprot: | P19544 |
| Entrez: | 7490 |

| Belongs to: |
|---|
| EGR C2H2-type zinc-finger protein family |

AWT1; GUD; NPHS4GUD; WAGR; Wilms tumor 1; Wilms tumor protein; WIT-2; WT1; WT33
Mass (kDA):
49.188 kDA

| Human | |
|---|---|
| Location: | 11p13 |
| Sequence: | 11; NC_000011.10 (32387775..32435539, complement) |
Expressed in the kidney and a subset of hematopoietic cells.
Nucleus. Nucleus, nucleolus. Cytoplasm. Isoforms lacking the KTS motif have a diffuse nuclear location (PubMed:15520190). Shuttles between nucleus and cytoplasm.; [Isoform 1]: Nucleus speckle.; [Isoform 4]: Nucleus, nucleoplasm.






PMID: 2154702 by Gessler M., et al. Homozygous deletion in Wilms tumours of a zinc-finger gene identified by chromosome jumping.
PMID: 1658787 by Haber D.A., et al. Alternative splicing and genomic structure of the Wilms tumor gene WT1.
*More publications can be found for each product on its corresponding product page