Product Info Summary
| SKU: | A03102 |
|---|---|
| Size: | 100ul |
| Reactive Species: | Human, Mouse, Rat |
| Host: | Rabbit |
| Application: | ELISA, IF, IHC, ICC |
Customers Who Bought This Also Bought
Product info
Product Name
Anti-CDK5RAP2 Antibody
SKU/Catalog Number
A03102
Size
100ul
Form
Liquid
Description
Boster Bio Anti-CDK5RAP2 Antibody (Catalog# A03102). Tested in IHC, ICC, IF, ELISA applications. This antibody reacts with Human, Mouse, Rat.
Storage & Handling
Store at -20°C for one year. For short-term storage and frequent use, store at 4°C for up to one month. Avoid repeated freeze-thaw cycles.
Cite This Product
Anti-CDK5RAP2 Antibody (Boster Biological Technology, Pleasanton CA, USA, Catalog # A03102)
Host
Rabbit
Contents
PBS containing 50% glycerol, 0.5% stabilizing protein and 0.02% sodium azide.
*This antibody is supplied in a stabilized formulation.
Compatibility with conjugation reactions depends on the chemistry of the conjugation method used.
For conjugation methods that are not compatible with the stabilizing components present in this formulation, a carrier-free antibody format is required.
Clonality
Polyclonal
Isotype
Rabbit IgG
Immunogen
A peptide derived from human CDK5RAP2. Immunogen sequence location: 251-300
Cross-reactivity
No cross reactivity with other proteins.
Reactive Species
A03102 is reactive to CDK5RAP2 in Human, Mouse, Rat
Observed Molecular Weight
72 kDa
Calculated molecular weight
215.0 kDa
Antibody Validation
Boster validates all antibodies on WB, IHC, ICC, Immunofluorescence, and ELISA with known positive control and negative samples to ensure specificity and high affinity, including thorough antibody incubations.
Application & Images
Applications
A03102 is guaranteed for ELISA, IF, IHC, ICC Boster Guarantee
Assay Dilutions Recommendation
The recommendations below provide a starting point for assay optimization. The actual working concentration varies and should be decided by the user.
IHC 1:100 - 1:300.
ELISA: 1:20000.
ICC/IF 1:50-200
Validation Images & Assay Conditions
Click image to see more details
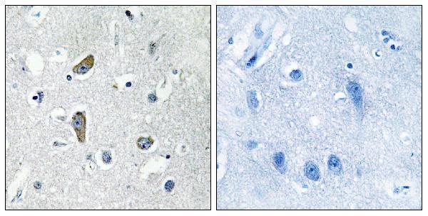
Immunohistochemistry analysis of paraffin-embedded human brain, using CDK5RAP2 Antibody. The picture on the right is blocked with the synthesized peptide.
Specific Publications For Anti-CDK5RAP2 Antibody (A03102)
Loading publications
Recommended Resources
Here are featured tools and databases that you might find useful.
- Boster's Pathways Library
- Protein Databases
- Bioscience Research Protocol Resources
- Data Processing & Analysis Software
- Photo Editing Software
- Scientific Literature Resources
- Research Paper Management Tools
- Molecular Biology Software
- Primer Design Tools
- Bioinformatics Tools
- Phylogenetic Tree Analysis
Customer Reviews
Have you used Anti-CDK5RAP2 Antibody?
Share your experimental results or join a short interview to earn up to $1,000 in product credits or other rewards.
0 Reviews For Anti-CDK5RAP2 Antibody
Customer Q&As
Have a question?
Find answers in Q&As, reviews.
Can't find your answer?
Submit your question
5 Customer Q&As for Anti-CDK5RAP2 Antibody
Question
I have a question about product A03102, anti-CDK5RAP2 antibody. I was wondering if it would be possible to conjugate this antibody with biotin. I would need it to be without BSA or sodium azide. I am planning on using a buffer exchange of sodium azide with PBS only. Would there be problems for me to conjugate the antibody and store it in -20 degrees in small aliquots?
Verified Customer
Verified customer
Asked: 2020-01-03
Answer
It is not recommended storing this antibody with PBS buffer only in -20 degrees. If you want to store it in -20 degrees it is best to add some cryoprotectant like glycerol. If you want carrier free A03102 anti-CDK5RAP2 antibody, we can provide it to you in a special formula with trehalose and/or glycerol. These molecules will not interfere with conjugation chemistry and provide a good level of protection for the antibody from degradation. Please be sure to specify this in your purchase order.
Boster Scientific Support
Answered: 2020-01-03
Question
I see that the anti-CDK5RAP2 antibody A03102 works with IHC, what is the protocol used to produce the result images on the product page?
K. Jones
Verified customer
Asked: 2019-05-08
Answer
You can find protocols for IHC on the "support/technical resources" section of our navigation menu. If you have any further questions, please send an email to support@bosterbio.com
Boster Scientific Support
Answered: 2019-05-08
Question
We are currently using anti-CDK5RAP2 antibody A03102 for human tissue, and we are satisfied with the IHC results. The species of reactivity given in the datasheet says human. Is it likely that the antibody can work on zebrafish tissues as well?
A. Collins
Verified customer
Asked: 2016-03-15
Answer
The anti-CDK5RAP2 antibody (A03102) has not been tested for cross reactivity specifically with zebrafish tissues, though there is a good chance of cross reactivity. We have an innovator award program that if you test this antibody and show it works in zebrafish you can get your next antibody for free. Please contact me if I can help you with anything.
Boster Scientific Support
Answered: 2016-03-15
Question
Thanks for helping with my inquiry over the phone. Here are the WB image, lot number and protocol we used for leukemic t-cell using anti-CDK5RAP2 antibody A03102. Let me know if you need anything else.
G. Baker
Verified customer
Asked: 2015-05-29
Answer
We appreciate the data. You have provided everything we needed. Our lab team are working to resolve your inquiry as quickly as possible, and we appreciate your patience and understanding! Please let me know if there is anything you need in the meantime.
Boster Scientific Support
Answered: 2015-05-29
Question
Is this A03102 anti-CDK5RAP2 antibody reactive to the isotypes of CDK5RAP2?
A. Baker
Verified customer
Asked: 2014-05-16
Answer
The immunogen of A03102 anti-CDK5RAP2 antibody is A peptide derived from human CDK5RAP2. Immunogen sequence location: 251-300. Could you tell me which isotype you are interested in so I can help see if the immunogen is part of this isotype?
Boster Scientific Support
Answered: 2014-05-16

