Product Info Summary
| SKU: | A02276S359 |
|---|---|
| Size: | 100ul |
| Reactive Species: | Human, Mouse, Rat |
| Host: | Rabbit |
| Application: | ELISA, IF, IHC |
Customers Who Bought This Also Bought
Product info
Product Name
Anti-Phospho-MKP-1 (S359) DUSP1 Antibody
SKU/Catalog Number
A02276S359
Size
100ul
Form
Liquid
Description
Boster Bio Anti-Phospho-MKP-1 (S359) DUSP1 Antibody catalog # A02276S359. Tested in IHC, IF, ELISA applications. This antibody reacts with Human, Mouse, Rat.
Storage & Handling
Store at -20°C for one year. For short term storage and frequent use, store at 4°C for up to one month. Avoid repeated freeze-thaw cycles.
Cite This Product
Anti-Phospho-MKP-1 (S359) DUSP1 Antibody (Boster Biological Technology, Pleasanton CA, USA, Catalog # A02276S359)
Host
Rabbit
Contents
Liquid in PBS containing 50% glycerol, 0.5% stabilizing protein and 0.02% sodium azide.
*This antibody is supplied in a stabilized formulation.
Compatibility with conjugation reactions depends on the chemistry of the conjugation method used.
For conjugation methods that are not compatible with the stabilizing components present in this formulation, a carrier-free antibody format is required.
Clonality
Polyclonal
Isotype
IgG
Immunogen
The antiserum was produced against synthesized peptide derived from human MKP1 around the phosphorylation site of Ser359. AA range:318-367
Reactive Species
A02276S359 is reactive to DUSP1 in Human, Mouse, Rat
Calculated molecular weight
39.3 kDa
Antibody Validation
Boster validates all antibodies on WB, IHC, ICC, Immunofluorescence, and ELISA with known positive control and negative samples to ensure specificity and high affinity, including thorough antibody incubations.
Application & Images
Applications
A02276S359 is guaranteed for ELISA, IF, IHC Boster Guarantee
Assay Dilutions Recommendation
The recommendations below provide a starting point for assay optimization. The actual working concentration varies and should be decided by the user.
IHC 1:100-1:300
ELISA 1:10000
IF 1:50-200
Validation Images & Assay Conditions
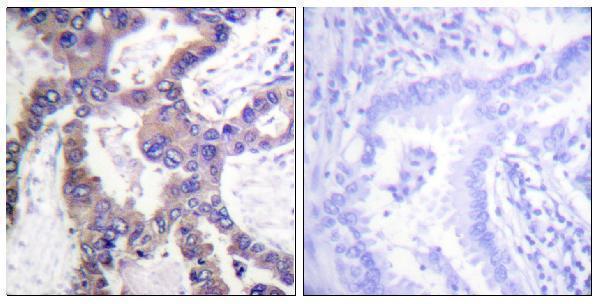
Click image to see more details
Immunohistochemistry analysis of paraffin-embedded human lung carcinoma, using MKP1 (Phospho-Ser359) Antibody. The picture on the right is blocked with the phospho peptide.
Click image to see more details
Enzyme-Linked Immunosorbent Assay (Phospho-ELISA) for Immunogen Phosphopeptide (Phospho-left) and Non-Phosphopeptide (Phospho-right), using MKP1 (Phospho-Ser359) Antibody
Specific Publications For Anti-Phospho-MKP-1 (S359) DUSP1 Antibody (A02276S359)
Loading publications
Recommended Resources
Here are featured tools and databases that you might find useful.
- Boster's Pathways Library
- Protein Databases
- Bioscience Research Protocol Resources
- Data Processing & Analysis Software
- Photo Editing Software
- Scientific Literature Resources
- Research Paper Management Tools
- Molecular Biology Software
- Primer Design Tools
- Bioinformatics Tools
- Phylogenetic Tree Analysis
Customer Reviews
Have you used Anti-Phospho-MKP-1 (S359) DUSP1 Antibody?
Share your experimental results or join a short interview to earn up to $1,000 in product credits or other rewards.
0 Reviews For Anti-Phospho-MKP-1 (S359) DUSP1 Antibody
Customer Q&As
Have a question?
Find answers in Q&As, reviews.
Can't find your answer?
Submit your question

