This website uses cookies to ensure you get the best experience on our website.
- Table of Contents
11 Q&As
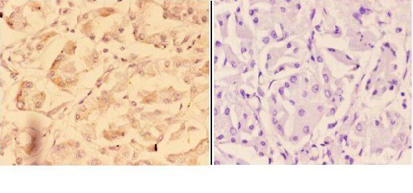
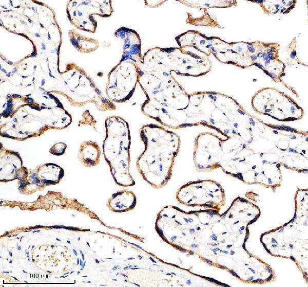
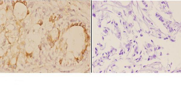
Facts about Disintegrin and metalloproteinase domain-containing protein 12.
. .
| Human | |
|---|---|
| Gene Name: | ADAM12 |
| Uniprot: | O43184 |
| Entrez: | 8038 |

| Belongs to: |
|---|
| No superfamily |

a disintegrin and metalloproteinase domain 12 (meltrin alpha); ADAM 12; ADAM metallopeptidase domain 12; ADAM12; disintegrin and metalloproteinase domain-containing protein 12; EC 3.4.24; EC 3.4.24.58; MCMP; MCMPMltna; Meltrin alpha; meltrin-alpha; MLTNA; MLTNEC 3.4.24.-
Mass (kDA):
99.542 kDA

| Human | |
|---|---|
| Location: | 10q26.2 |
| Sequence: | 10; NC_000010.11 (126012391..126388477, complement) |
Isoform 1 is expressed in placenta and skeletal, cardiac, and smooth muscle. Isoform 2 seems to be expressed only in placenta or in embryo and fetus. Both forms were expressed in some tumor cells lines. Not detected in brain, lung, liver, kidney or pancreas.
[Isoform 1]: Cell membrane; Single-pass type I membrane protein.; [Isoform 2]: Secreted.; [Isoform 3]: Secreted.; [Isoform 4]: Secreted.





PMID: 9417060 by Gilpin B.J., et al. A novel, secreted form of human ADAM 12 (meltrin alpha) provokes myogenesis in vivo.
PMID: 9642263 by Loechel F., et al. Human ADAM 12 (meltrin alpha) is an active metalloprotease.