This website uses cookies to ensure you get the best experience on our website.
- Table of Contents
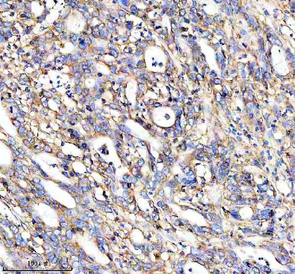
1 Citations 4 Q&As
Facts about HLA class I histocompatibility antigen, A alpha chain.
Please shorten your article and try again.
| Human | |
|---|---|
| Gene Name: | HLA-A |
| Uniprot: | P01891 |
| Entrez: | 3105 |

| Belongs to: |
|---|
| MHC class I family |

A-10 alpha chain; FLJ26655; HLA class I histocompatibility antigen, A-1 alpha chain; HLA class I histocompatibility antigen, A-28 alpha chain; HLA class I histocompatibility antigen, A-9 alpha chain; HLAA; major histocompatibility complex, class I, A; MHC class I antigen A*1; MHC class I antigen A*11; MHC class I antigen A*80
Mass (kDA):
40.841 kDA

| Human | |
|---|---|
| Location: | 6p22.1 |
| Sequence: | 6; NC_000006.12 (29942532..29945870) |




PMID: 2431040 by Wan A.M., et al. The primary structure of HLA-A32 suggests a region involved in formation of the Bw4/Bw6 epitopes.
PMID: 3496393 by Holmes N., et al. Multiple genetic mechanisms have contributed to the generation of the HLA- A2/A28 family of class I MHC molecules.
*More publications can be found for each product on its corresponding product page