This website uses cookies to ensure you get the best experience on our website.
- Table of Contents
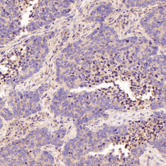
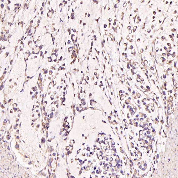
Facts about Hyaluronan mediated motility receptor.
When hyaluronan binds to HMMR, the phosphorylation of a number of proteins, including PTK2/FAK1 occurs. May also be involved in cellular transformation and metastasis formation, and in regulating extracellular- regulated kinase (ERK) activity.
| Human | |
|---|---|
| Gene Name: | HMMR |
| Uniprot: | O75330 |
| Entrez: | 3161 |

| Belongs to: |
|---|
| No superfamily |

CD168 antigen; CD168; HMMR; hyaluronan mediated motility receptor; hyaluronan-mediated motility receptor (RHAMM); IHABP; Intracellular hyaluronic acid-binding protein; MGC119494; Receptor for hyaluronan-mediated motility; RHAMM; RHAMMMGC119495
Mass (kDA):
84.1 kDA

| Human | |
|---|---|
| Location: | 5q34 |
| Sequence: | 5; NC_000005.10 (163460632..163491941) |
Cell surface. Cytoplasm.





PMID: 8890751 by Wang C., et al. The characterization of a human RHAMM cDNA: conservation of the hyaluronan-binding domains.
PMID: 9601098 by Assmann V., et al. The human hyaluronan receptor RHAMM is expressed as an intracellular protein in breast cancer cells.
*More publications can be found for each product on its corresponding product page