Product Info Summary
| SKU: | A00801-1 |
|---|---|
| Size: | 100ul |
| Reactive Species: | Human, Mouse |
| Host: | Rabbit |
| Application: | IHC, WB |
Customers Who Bought This Also Bought
Product info
Product Name
Anti-FAAH1 Antibody
SKU/Catalog Number
A00801-1
Size
100ul
Form
Liquid
Description
Boster Bio Anti-FAAH1 Antibody catalog # A00801-1. Tested in WB,IHC applications. This antibody reacts with Human,Mouse.
Storage & Handling
Store at -20°C for one year. For short term storage and frequent use, store at 4°C for up to one month. Avoid repeated freeze-thaw cycles.
Cite This Product
Anti-FAAH1 Antibody (Boster Biological Technology, Pleasanton CA, USA, Catalog # A00801-1)
Host
Rabbit
Contents
Rabbit IgG, 1mg/ml in PBS with 0.02% sodium azide, 50% glycerol, pH7.2
Clonality
Polyclonal
Isotype
IgG
Immunogen
Recombinant protein within human FAAH1 aa 100-300.
Cross-reactivity
No cross reactivity with other proteins.
Reactive Species
A00801-1 is reactive to FAAH in Human, Mouse
Calculated molecular weight
63.1 kDa
Antibody Validation
Boster validates all antibodies on WB, IHC, ICC, Immunofluorescence, and ELISA with known positive control and negative samples to ensure specificity and high affinity, including thorough antibody incubations.
Application & Images
Applications
A00801-1 is guaranteed for IHC, WB Boster Guarantee
Assay Dilutions Recommendation
The recommendations below provide a starting point for assay optimization. The actual working concentration varies and should be decided by the user.
WB: 1:500-1:2,000
IHC: 1:50-1:200
Validation Images & Assay Conditions
Click image to see more details
Western blot analysis of FAAH1 on different lysates using anti-FAAH1 antibody at 1/2,000 dilution. Positive control: Lane 1: SK-Br-3 Lane 2: Mouse cerebellum Lane 3: Mouse lung
Click image to see more details
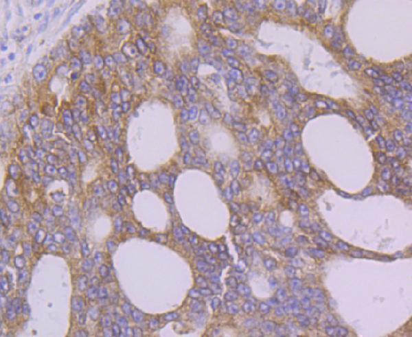
Immunohistochemical analysis of paraffin-embedded human prostate cancer tissue using anti-FAAH1 antibody. Counter stained with hematoxylin.
Specific Publications For Anti-FAAH1 Antibody (A00801-1)
Loading publications
Recommended Resources
Here are featured tools and databases that you might find useful.
- Boster's Pathways Library
- Protein Databases
- Bioscience Research Protocol Resources
- Data Processing & Analysis Software
- Photo Editing Software
- Scientific Literature Resources
- Research Paper Management Tools
- Molecular Biology Software
- Primer Design Tools
- Bioinformatics Tools
- Phylogenetic Tree Analysis
Customer Reviews
Have you used Anti-FAAH1 Antibody?
Share your experimental results or join a short interview to earn up to $1,000 in product credits or other rewards.
0 Reviews For Anti-FAAH1 Antibody
Customer Q&As
Have a question?
Find answers in Q&As, reviews.
Can't find your answer?
Submit your question

