Product Info Summary
| SKU: | M01965 |
|---|---|
| Size: | 100 µl |
| Reactive Species: | Human |
| Host: | Mouse |
| Application: | IHC, WB |
Customers Who Bought This Also Bought
Product info
Product Name
Anti-ICOS Ligand (ICOSLG) Mouse Monoclonal Antibody [Clone ID: OTI2C5]
SKU/Catalog Number
M01965
Size
100 µl
Description
Boster Bio ICOSLG mouse monoclonal antibody, clone OTI2C5 (formerly 2C5). Catalog# M01965. Tested in IHC, WB. This antibody reacts with Human.
Storage & Handling
Store at -20°C as received.
Cite This Product
Anti-ICOS Ligand (ICOSLG) Mouse Monoclonal Antibody [Clone ID: OTI2C5] (Boster Biological Technology, Pleasanton CA, USA, Catalog # M01965)
Host
Mouse
Contents
PBS (pH 7.3) containing 1% stabilizing protein, 50% glycerol and 0.02% sodium azide.
This antibody is supplied in a stabilized formulation.
Compatibility with conjugation reactions depends on the chemistry of the conjugation method used.
For conjugation methods that are not compatible with the stabilizing components present in this formulation, a carrier-free antibody format is required.
Clonality
Monoclonal
Clone Number
OTI2C5
Isotype
IgG2a
Immunogen
Full length human recombinant protein of human ICOSLG (NP_056074) produced in HEK293T cell.
Reactive Species
M01965 is reactive to ICOSLG in Human
Calculated molecular weight
33.3 kDa
Antibody Validation
Boster validates all antibodies on WB, IHC, ICC, Immunofluorescence, and ELISA with known positive control and negative samples to ensure specificity and high affinity, including thorough antibody incubations.
Application & Images
Applications
M01965 is guaranteed for IHC, WB Boster Guarantee
Assay Dilutions Recommendation
The recommendations below provide a starting point for assay optimization. The actual working concentration varies and should be decided by the user.
WB 1:2000
IHC 1:150
Validation Images & Assay Conditions
Click image to see more details
HEK293T cells were transfected with the pCMV6-ENTRY control (Left lane) or pCMV6-ENTRY ICOSLG (Right lane) cDNA for 48 hrs and lysed. Equivalent amounts of cell lysates (5 ug per lane) were separated by SDS-PAGE and immunoblotted with anti-ICOSLG (1:2000).
Click image to see more details
Western blot analysis of 35ug lysates of Ramos
Click image to see more details
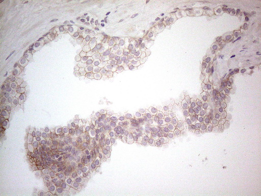
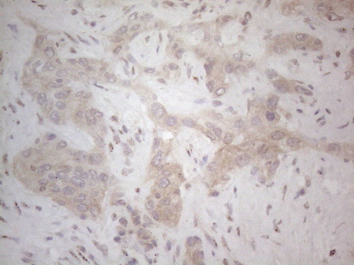
Immunohistochemical staining of paraffin-embedded Carcinoma of Human prostate tissue using anti-ICOSLG mouse monoclonal antibody. (Heat-induced epitope retrieval by 1mM EDTA in 10mM Tris buffer (pH8.5) at 120°C for 3min
Click image to see more details
Immunohistochemical staining of paraffin-embedded Adenocarcinoma of Human colon tissue using anti-ICOSLG mouse monoclonal antibody. (Heat-induced epitope retrieval by 1mM EDTA in 10mM Tris buffer (pH8.5) at 120°C for 3min
Click image to see more details
Immunohistochemical staining of paraffin-embedded Human liver tissue within the normal limits using anti-ICOSLG mouse monoclonal antibody. (Heat-induced epitope retrieval by 1mM EDTA in 10mM Tris buffer (pH8.5) at 120°C for 3min
Specific Publications For Anti-ICOS Ligand (ICOSLG) Mouse Monoclonal Antibody [Clone ID: OTI2C5] (M01965)
Loading publications
Recommended Resources
Here are featured tools and databases that you might find useful.
- Boster's Pathways Library
- Protein Databases
- Bioscience Research Protocol Resources
- Data Processing & Analysis Software
- Photo Editing Software
- Scientific Literature Resources
- Research Paper Management Tools
- Molecular Biology Software
- Primer Design Tools
- Bioinformatics Tools
- Phylogenetic Tree Analysis
Customer Reviews
Have you used Anti-ICOS Ligand (ICOSLG) Mouse Monoclonal Antibody [Clone ID: OTI2C5]?
Share your experimental results or join a short interview to earn up to $1,000 in product credits or other rewards.
0 Reviews For Anti-ICOS Ligand (ICOSLG) Mouse Monoclonal Antibody [Clone ID: OTI2C5]
Customer Q&As
Have a question?
Find answers in Q&As, reviews.
Can't find your answer?
Submit your question

