Product Info Summary
| SKU: | A07180 |
|---|---|
| Size: | 100ug |
| Reactive Species: | Human |
| Host: | Rabbit |
| Application: | ELISA, IHC, WB |
Customers Who Bought This Also Bought
Product info
Product Name
Anti-MLF1 CENPU Antibody
SKU/Catalog Number
A07180
Size
100ug
Form
Liquid (sterile filtered)
Description
Boster Bio Anti-MLF1 CENPU Antibody (Catalog # A07180). Tested in ELISA, IHC, WB applications. This antibody reacts with Human.
Storage & Handling
Store vial at -20°C prior to opening. Aliquot contents and freeze at -20°C or below for extended storage. Avoid cycles of freezing and thawing. Centrifuge product if not completely clear after standing at room temperature. This product is stable for several weeks at 4°C as an undiluted liquid. Dilute only prior to immediate use. Expiration date is one (1) year from date of opening. (Ship on dry ice.)
Cite This Product
Anti-MLF1 CENPU Antibody (Boster Biological Technology, Pleasanton CA, USA, Catalog # A07180)
Host
Rabbit
Contents
0.02 M Potassium Phosphate, 0.15 M Sodium Chloride, pH 7.2, 0.01% (w/v) Sodium Azide
Clonality
Polyclonal
Isotype
IgG
Immunogen
This affinity purified antibody was prepared from whole rabbit serum produced by repeated immunizations with a 200 residue recombinant protein corresponding to the amino terminal end of human MLF1IP protein.
Reactive Species
A07180 is reactive to CENPU in Human
Calculated molecular weight
47.5 kDa
Background of CENPU
This antibody is suitable for Cancer, Immunology and Nuclear Signaling research. Myeloid leukemia factor-1 (MLF1) Interacting Protein (also known as PBIP1, MLF1IP1, KLIP1 or KSHV latent nuclear antigen interacting protein 1) is a novel polo-like kinase 1 (Plk1) substrate. Plk1 phosphorylation of MLF1IP induces ubiquitination and degradation of MLF1IP prior to the metaphase/anaphase transition. Several Plk1-dependent phosphorylation sites have been identified on MLF1IP by mass spectrometry. Mutations of these sites stabilize MLF1IP and inhibit mitotic progression. Subsequent in vitro and in vivo MLF1IP phosphorylation and stability assays have revealed that phosphorylation of Thr78 is critical for triggering Plk1-dependent MLF1IP degradation. Expression of a non-degradable Thr78Ala mutant was sufficient to induce a mitotic block. Timely phosphorylation of MLF1IP on Thr78 by Plk1 is critical for eliminating the MLF1IP-imposed mitotic block prior to anaphase onset. MLF1IP is speculated to be a novel tumor suppressor, whose function is required for proper sister-chromatid separation. Loss of MLF1IP function may result in improper segregation of chromosomes and genomic instability, thus promoting tumorigenesis.
Antibody Validation
Boster validates all antibodies on WB, IHC, ICC, Immunofluorescence, and ELISA with known positive control and negative samples to ensure specificity and high affinity, including thorough antibody incubations.
Application & Images
Applications
A07180 is guaranteed for ELISA, IHC, WB Boster Guarantee
Assay Dilutions Recommendation
The recommendations below provide a starting point for assay optimization. The actual working concentration varies and should be decided by the user.
ELISA: 1:1,400,000
IHC: User optimized
WB: 1:500- 1:2,000
This affinity purified antibody has been tested for use in ELISA, Immunohistochemistry, and western blotting. Specific conditions for reactivity should be optimized by the end user. Expect a band approximately 65 kDa in size corresponding to MLF1IP protein by western blotting in the appropriate cell lysate or extract.
Validation Images & Assay Conditions
Click image to see more details
Western blot using Boster's affinity purified anti-MLF1IP / PBIP1 antibody shows detection of endogenous MLF1IP protein (a tier of four modified protein bands indicated by the arrowheads) in lysates of Hela cells (- lane). Cells treated with MLF1IP / PBIP1 shRNA (+ lane) show no staining. The identities of the higher and lower molecular weight bands are unknown. Primary antibody was used at 1:1,000. Personal Communication, K.S. Lee, NCI, Bethesda, MD.
Click image to see more details
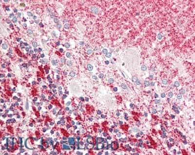
Immunohistochemistry of rabbit anti-MLF1 antibody. Tissue: brain, cerebellum. Fixation: formalin fixed paraffin embedded. Antigen retrieval: not required. Primary antibody: Anti-MLF1 at 5 µg/mL for 1 h at RT. Secondary antibody: Peroxidase rabbit secondary antibody at 1:10,000 for 45 min at RT. Staining: MLF1 as precipitated red signal with hematoxylin purple nuclear counterstain.
Click image to see more details
Immunohistochemistry of rabbit anti-MLF1 antibody. Tissue: heart. Fixation: formalin fixed paraffin embedded. Antigen retrieval: not required. Primary antibody: Anti-MLF1 at 5 µg/mL for 1 h at RT. Secondary antibody: Peroxidase rabbit secondary antibody at 1:10,000 for 45 min at RT. Staining: MLF1 as precipitated red signal with hematoxylin purple nuclear counterstain.
Specific Publications For Anti-MLF1 CENPU Antibody (A07180)
Loading publications
Recommended Resources
Here are featured tools and databases that you might find useful.
- Boster's Pathways Library
- Protein Databases
- Bioscience Research Protocol Resources
- Data Processing & Analysis Software
- Photo Editing Software
- Scientific Literature Resources
- Research Paper Management Tools
- Molecular Biology Software
- Primer Design Tools
- Bioinformatics Tools
- Phylogenetic Tree Analysis
Customer Reviews
Have you used Anti-MLF1 CENPU Antibody?
Share your experimental results or join a short interview to earn up to $1,000 in product credits or other rewards.
0 Reviews For Anti-MLF1 CENPU Antibody
Customer Q&As
Have a question?
Find answers in Q&As, reviews.
Can't find your answer?
Submit your question
1 Customer Q&As for Anti-MLF1 CENPU Antibody
Question
We are currently using anti-MLF1 antibody A07180 for human tissue, and we are content with the IHC results. The species of reactivity given in the datasheet says human. Is it possible that the antibody can work on monkey tissues as well?
Verified Customer
Verified customer
Asked: 2020-02-27
Answer
The anti-MLF1 antibody (A07180) has not been validated for cross reactivity specifically with monkey tissues, though there is a good chance of cross reactivity. We have an innovator award program that if you test this antibody and show it works in monkey you can get your next antibody for free. Please contact me if I can help you with anything.
Boster Scientific Support
Answered: 2020-02-27

