Product Info Summary
| SKU: | M04147 |
|---|---|
| Size: | 100 μg/vial |
| Reactive Species: | Human |
| Host: | Mouse |
| Application: | Flow Cytometry, IF, IHC, ICC, WB |
Customers Who Bought This Also Bought
Product info
Product Name
Anti-Ribonuclease Inhibitor/RNH1 Antibody Picoband® (monoclonal, 4F3)
SKU/Catalog Number
M04147
Size
100 μg/vial
Form
Lyophilized
Description
Boster Bio Anti-Ribonuclease Inhibitor/RNH1 Antibody Picoband® (monoclonal, 4F3) catalog # M04147. Tested in Flow Cytometry, IF, IHC, ICC, WB applications. This antibody reacts with Human. The brand Picoband indicates this is a premium antibody that guarantees superior quality, high affinity, and strong signals with minimal background in Western blot applications. Only our best-performing antibodies are designated as Picoband, ensuring unmatched performance.
Storage & Handling
Store at -20˚C for one year from date of receipt. After reconstitution, at 4˚C for one month. It can also be aliquotted and stored frozen at -20˚C for six months. Avoid repeated freeze-thaw cycles.
Cite This Product
Anti-Ribonuclease Inhibitor/RNH1 Antibody Picoband® (monoclonal, 4F3) (Boster Biological Technology, Pleasanton CA, USA, Catalog # M04147)
Host
Mouse
Contents
Each vial contains 4mg Trehalose, 0.9mg NaCl, 0.2mg Na2HPO4, 0.05mg NaN3.
Clonality
Monoclonal
Clone Number
4F3
Isotype
Mouse IgG2b
Immunogen
A synthetic peptide corresponding to a sequence at the N-terminus of human RNH1, different from the related mouse sequence by five amino acids, and from the related rat sequence by four amino acids.
Cross-reactivity
No cross-reactivity with other proteins.
Reactive Species
M04147 is reactive to RNH1 in Human
Observed Molecular Weight
45 kDa
Calculated molecular weight
50.0 kDa
Background of RNH1
Ribonuclease inhibitor is an enzyme that in humans is encoded by the RNH1 gene. Placental ribonuclease inhibitor (PRI) is a member of a family of proteinaceous cytoplasmic RNase inhibitors that occur in many tissues and bind to both intracellular and extracellular Rnases. In addition to control of intracellular RNases, the inhibitor may have a role in the regulation of angiogenin. Ribonuclease inhibitor, of 50,000 Da, binds to ribonucleases and holds them in a latent form. Since neutral and alkaline ribonucleases probably play a critical role in the turnover of RNA in eukaryotic cells, RNH may be essential for control of mRNA turnover; the interaction of eukaryotic cells with ribonuclease may be reversible in vivo.
Antibody Validation
Boster validates all antibodies on WB, IHC, ICC, Immunofluorescence, and ELISA with known positive control and negative samples to ensure specificity and high affinity, including thorough antibody incubations.
Application & Images
Applications
M04147 is guaranteed for Flow Cytometry, IF, IHC, ICC, WB Boster Guarantee
Assay Dilutions Recommendation
The recommendations below provide a starting point for assay optimization. The actual working concentration varies and should be decided by the user.
Western blot, 0.1-0.5μg/ml, Human
Immunohistochemistry (Paraffin-embedded Section), 0.5-1μg/ml, Human
Immunocytochemistry/Immunofluorescence, 2μg/ml, Human
Flow Cytometry (Fixed), 1-3μg/1x106 cells, Human
Positive Control
WB: human Hela whole cell, human Jurkat whole cell, human 293T whole cell, human placenta tissue
IHC: human mammary cancer tissue, human ovarian cancer tissue, human prostatic cancer tissue
ICC/IF: Hela cell
FCM: A549 cell
Validation Images & Assay Conditions
Click image to see more details
Western blot analysis of Ribonuclease Inhibitor/RNH1 using anti-Ribonuclease Inhibitor/RNH1 antibody (M04147).
Electrophoresis was performed on a 5-20% SDS-PAGE gel at 70V (Stacking gel) / 90V (Resolving gel) for 2-3 hours. The sample well of each lane was loaded with 30 ug of sample under reducing conditions.
Lane 1: human Hela whole cell lysates,
Lane 2: human Jurkat whole cell lysates,
Lane 3: human 293T whole cell lysates,
Lane 4: human placenta tissue lysates.
After electrophoresis, proteins were transferred to a nitrocellulose membrane at 150 mA for 50-90 minutes. Blocked the membrane with 5% non-fat milk/TBS for 1.5 hour at RT. The membrane was incubated with mouse anti-Ribonuclease Inhibitor/RNH1 antigen affinity purified monoclonal antibody (Catalog # M04147) at 0.5 μg/mL overnight at 4°C, then washed with TBS-0.1%Tween 3 times with 5 minutes each and probed with a goat anti-mouse IgG-HRP secondary antibody at a dilution of 1:10000 for 1.5 hour at RT. The signal is developed using an Enhanced Chemiluminescent detection (ECL) kit (Catalog # EK1001) with Tanon 5200 system. A specific band was detected for Ribonuclease Inhibitor/RNH1 at approximately 45 kDa. The expected band size for Ribonuclease Inhibitor/RNH1 is at 50 kDa.
Click image to see more details
IHC analysis of Ribonuclease Inhibitor/RNH1 using anti-Ribonuclease Inhibitor/RNH1 antibody (M04147).
Ribonuclease Inhibitor/RNH1 was detected in paraffin-embedded section of human mammary cancer tissue. Heat mediated antigen retrieval was performed in EDTA buffer (pH8.0, epitope retrieval solution). The tissue section was blocked with 10% goat serum. The tissue section was then incubated with 1μg/ml mouse anti-Ribonuclease Inhibitor/RNH1 Antibody (M04147) overnight at 4°C. Biotinylated goat anti-mouse IgG was used as secondary antibody and incubated for 30 minutes at 37°C. The tissue section was developed using Strepavidin-Biotin-Complex (SABC) (Catalog # SA1021) with DAB as the chromogen.
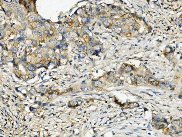
Click image to see more details
IHC analysis of Ribonuclease Inhibitor/RNH1 using anti-Ribonuclease Inhibitor/RNH1 antibody (M04147).
Ribonuclease Inhibitor/RNH1 was detected in paraffin-embedded section of human ovarian cancer tissue. Heat mediated antigen retrieval was performed in EDTA buffer (pH8.0, epitope retrieval solution). The tissue section was blocked with 10% goat serum. The tissue section was then incubated with 1μg/ml mouse anti-Ribonuclease Inhibitor/RNH1 Antibody (M04147) overnight at 4°C. Biotinylated goat anti-mouse IgG was used as secondary antibody and incubated for 30 minutes at 37°C. The tissue section was developed using Strepavidin-Biotin-Complex (SABC) (Catalog # SA1021) with DAB as the chromogen.
Click image to see more details
IHC analysis of Ribonuclease Inhibitor/RNH1 using anti-Ribonuclease Inhibitor/RNH1 antibody (M04147).
Ribonuclease Inhibitor/RNH1 was detected in paraffin-embedded section of human prostatic cancer tissue. Heat mediated antigen retrieval was performed in EDTA buffer (pH8.0, epitope retrieval solution). The tissue section was blocked with 10% goat serum. The tissue section was then incubated with 1μg/ml mouse anti-Ribonuclease Inhibitor/RNH1 Antibody (M04147) overnight at 4°C. Biotinylated goat anti-mouse IgG was used as secondary antibody and incubated for 30 minutes at 37°C. The tissue section was developed using Strepavidin-Biotin-Complex (SABC) (Catalog # SA1021) with DAB as the chromogen.
Click image to see more details
IF analysis of Ribonuclease Inhibitor/RNH1 using anti-Ribonuclease Inhibitor/RNH1 antibody (M04147).
Ribonuclease Inhibitor/RNH1 was detected in immunocytochemical section of Hela cells. Enzyme antigen retrieval was performed using IHC enzyme antigen retrieval reagent (AR0022) for 15 mins. The cells were blocked with 10% goat serum. And then incubated with 2μg/mL mouse anti-Ribonuclease Inhibitor/RNH1 Antibody (M04147) overnight at 4°C. DyLight®488 Conjugated Goat Anti-Mouse IgG (BA1126) was used as secondary antibody at 1:100 dilution and incubated for 30 minutes at 37°C. The section was counterstained with DAPI. Visualize using a fluorescence microscope and filter sets appropriate for the label used.
Click image to see more details
Flow Cytometry analysis of A549 cells using anti- Ribonuclease Inhibitor/RNH1 antibody (M04147).
Overlay histogram showing A549 cells stained with M04147 (Blue line). To facilitate intracellular staining, cells were fixed with 4% paraformaldehyde and permeabilized with permeabilization buffer. The cells were blocked with 10% normal goat serum. And then incubated with mouse anti- Ribonuclease Inhibitor/RNH1 Antibody (M04147, 1μg/1x106 cells) for 30 min at 20°C. DyLight®488 conjugated goat anti-mouse IgG (BA1126, 5-10μg/1x106 cells) was used as secondary antibody for 30 minutes at 20°C. Isotype control antibody (Green line) was mouse IgG (1μg/1x106) used under the same conditions. Unlabelled sample without incubation with primary antibody and secondary antibody (Red line) was used as a blank control.
Specific Publications For Anti-Ribonuclease Inhibitor/RNH1 Antibody Picoband® (monoclonal, 4F3) (M04147)
Loading publications
Recommended Resources
Here are featured tools and databases that you might find useful.
- Boster's Pathways Library
- Protein Databases
- Bioscience Research Protocol Resources
- Data Processing & Analysis Software
- Photo Editing Software
- Scientific Literature Resources
- Research Paper Management Tools
- Molecular Biology Software
- Primer Design Tools
- Bioinformatics Tools
- Phylogenetic Tree Analysis
Customer Reviews
Have you used Anti-Ribonuclease Inhibitor/RNH1 Antibody Picoband® (monoclonal, 4F3)?
Share your experimental results or join a short interview to earn up to $1,000 in product credits or other rewards.
0 Reviews For Anti-Ribonuclease Inhibitor/RNH1 Antibody Picoband® (monoclonal, 4F3)
Customer Q&As
Have a question?
Find answers in Q&As, reviews.
Can't find your answer?
Submit your question


