This website uses cookies to ensure you get the best experience on our website.
- Table of Contents
3 Citations 4 Q&As
4 Citations 5 Q&As
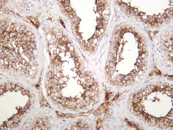
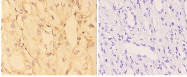
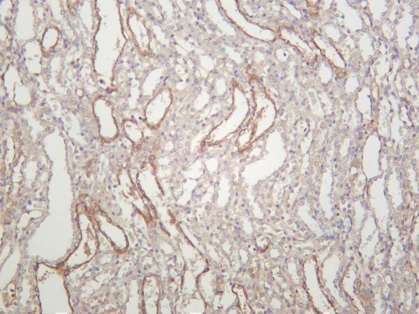
Facts about Angiotensin-converting enzyme 2.
May be an important regulator of heart function. .
| Human | |
|---|---|
| Gene Name: | ACE2 |
| Uniprot: | Q9BYF1 |
| Entrez: | 59272 |

| Belongs to: |
|---|
| peptidase M2 family |

ACE2; ACE-2; ACEH; ACEHangiotensin I converting enzyme 2; ACE-related carboxypeptidase; angiotensin I converting enzyme (peptidyl-dipeptidase A) 2; angiotensin-converting enzyme 2; Angiotensin-converting enzyme homolog; DKFZp434A014; EC 3.4.17; EC 3.4.17.23; Metalloprotease MPROT15
Mass (kDA):
92.463 kDA

| Human | |
|---|---|
| Location: | Xp22.2 |
| Sequence: | X; NC_000023.11 (15494520..15602158, complement) |
Expressed in endothelial cells from small and large arteries, and in arterial smooth muscle cells. Expressed in lung alveolar epithelial cells, enterocytes of the small intestine, Leydig cells and Sertoli cells (at protein level). Expressed in heart, kidney, testis, and gastrointestinal system.
[Processed angiotensin-converting enzyme 2]: Secreted.; Cell membrane; Single-pass type I membrane protein. Cytoplasm. Detected in both cell membrane and cytoplasm in neurons.




PMID: 10969042 by Donoghue M., et al. A novel angiotensin-converting enzyme-related carboxypeptidase (ACE2) converts angiotensin I to angiotensin 1-9.
PMID: 10924499 by Tipnis S.R., et al. A human homolog of angiotensin-converting enzyme. Cloning and functional expression as a captopril-insensitive carboxypeptidase.
*More publications can be found for each product on its corresponding product page