Product Info Summary
| SKU: | M02979 |
|---|---|
| Size: | 100ul |
| Reactive Species: | Human |
| Host: | Mouse |
| Application: | IF, IHC, WB |
Customers Who Bought This Also Bought
Product info
Product Name
Anti-ABCB5 Monoclonal Antibody
SKU/Catalog Number
M02979
Size
100ul
Form
Liquid
Description
Boster Bio Anti-ABCB5 Monoclonal Antibody catalog # M02979. Tested in WB applications. This antibody reacts with Human.
Storage & Handling
Store at -20°C for one year. For short term storage and frequent use, store at 4°C for up to one month. Avoid repeated freeze-thaw cycles.
Cite This Product
Anti-ABCB5 Monoclonal Antibody (Boster Biological Technology, Pleasanton CA, USA, Catalog # M02979)
Host
Mouse
Contents
Liquid in PBS containing 50% glycerol, 0.5% stabilizing protein and 0.02% sodium azide.
This antibody is supplied in a stabilized formulation.
Compatibility with conjugation reactions depends on the chemistry of the conjugation method used.
For conjugation methods that are not compatible with the stabilizing components present in this formulation, a carrier-free antibody format is required.
Clonality
Monoclonal
Clone Number
11A2
Isotype
IgG
Immunogen
Synthetic Peptide of ABCB5
Cross-reactivity
No cross reactivity with other proteins.
Reactive Species
M02979 is reactive to ABCB5 in Human
Calculated molecular weight
138.6 kDa
Antibody Validation
Boster validates all antibodies on WB, IHC, ICC, Immunofluorescence, and ELISA with known positive control and negative samples to ensure specificity and high affinity, including thorough antibody incubations.
Application & Images
Applications
M02979 is guaranteed for IF, IHC, WB Boster Guarantee
Assay Dilutions Recommendation
The recommendations below provide a starting point for assay optimization. The actual working concentration varies and should be decided by the user.
WB 1:2000
IF 1:200
IHC 1:50-300
Validation Images & Assay Conditions
Click image to see more details
Western blot analysis of 1) Hela, 2) 293T, diluted at 1:2000. cells nucleus extracted by Minute TM Cytoplasmic and Nuclear Fractionation kit .
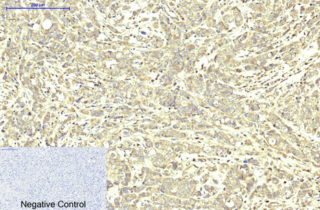
Click image to see more details
Immunohistochemical analysis of paraffin-embedded Human-breast-cancer tissue. 1, ABCB5 Monoclonal Antibody (11A2) was diluted at 1:200 (4°C, overnight). 2, Sodium citrate pH 6.0 was used for antibody retrieval (>98°C, 20min). 3, Secondary antibody was diluted at 1:200 (room tempeRature, 30min). Negative control was used by secondary antibody only.
Click image to see more details
Immunofluorescence analysis of Human-liver-cancer tissue. 1, ABCB5 Monoclonal Antibody (11A2) (red) was diluted at 1:200 (4°C, overnight). 2, Cy3 labled Secondary antibody was diluted at 1:300 (room temperature, 50min).3, Picture B: DAPI (blue) 10min. Picture A:Target. Picture B: DAPI. Picture C: merge of A+B
Specific Publications For Anti-ABCB5 Monoclonal Antibody (M02979)
Loading publications
Recommended Resources
Here are featured tools and databases that you might find useful.
- Boster's Pathways Library
- Protein Databases
- Bioscience Research Protocol Resources
- Data Processing & Analysis Software
- Photo Editing Software
- Scientific Literature Resources
- Research Paper Management Tools
- Molecular Biology Software
- Primer Design Tools
- Bioinformatics Tools
- Phylogenetic Tree Analysis
Customer Reviews
Have you used Anti-ABCB5 Monoclonal Antibody?
Share your experimental results or join a short interview to earn up to $1,000 in product credits or other rewards.
0 Reviews For Anti-ABCB5 Monoclonal Antibody
Customer Q&As
Have a question?
Find answers in Q&As, reviews.
Can't find your answer?
Submit your question

