Product Info Summary
| SKU: | A01392 |
|---|---|
| Size: | 100 μg/vial |
| Reactive Species: | Human, Mouse, Rat |
| Host: | Rabbit |
| Application: | ELISA, Flow Cytometry, IF, IHC, ICC, WB |
Customers Who Bought This Also Bought
Product info
Product Name
Anti-Retinal dehydrogenase 1 ALDH1A1 Antibody Picoband®
SKU/Catalog Number
A01392
Size
100 μg/vial
Form
Lyophilized
Description
Boster Bio Anti-Retinal dehydrogenase 1 ALDH1A1 Antibody catalog # A01392. Tested in ELISA, Flow Cytometry, IF, IHC, ICC, WB applications. This antibody reacts with Human, Mouse, Rat. The brand Picoband indicates this is a premium antibody that guarantees superior quality, high affinity, and strong signals with minimal background in Western blot applications. Only our best-performing antibodies are designated as Picoband, ensuring unmatched performance.
Storage & Handling
Store at -20˚C for one year from date of receipt. After reconstitution, at 4˚C for one month. It can also be aliquotted and stored frozen at -20˚C for six months. Avoid repeated freeze-thaw cycles.
Cite This Product
Anti-Retinal dehydrogenase 1 ALDH1A1 Antibody Picoband® (Boster Biological Technology, Pleasanton CA, USA, Catalog # A01392)
Host
Rabbit
Contents
Each vial contains 4mg Trehalose, 0.9mg NaCl, 0.2mg Na2HPO4, 0.05mg NaN3.
Clonality
Polyclonal
Isotype
Rabbit IgG
Immunogen
E.coli-derived human ALDH1A1 recombinant protein (Position: T6-Q342).
Cross-reactivity
No cross-reactivity with other proteins.
Reactive Species
A01392 is reactive to ALDH1A1 in Human, Mouse, Rat
Observed Molecular Weight
55 kDa
Calculated molecular weight
54.9 kDa
Background of ALDH1A1
Aldehyde dehydrogenase 1 family, member A1, also known as ALDH1A1 or retinaldehyde dehydrogenase 1 (RALDH1), is an enzyme that in humans is encoded by the ALDH1A1 gene. It is mapped to 9q21.13. The protein encoded by this gene belongs to the aldehyde dehydrogenase family. Aldehyde dehydrogenase is the next enzyme after alcohol dehydrogenase in the major pathway of alcohol metabolism. There are two major aldehyde dehydrogenase isozymes in the liver, cytosolic and mitochondrial, which are encoded by distinct genes, and can be distinguished by their electrophoretic mobility, kinetic properties, and subcellular localization. This gene encodes the cytosolic isozyme. Studies in mice show that through its role in retinol metabolism, this gene may also be involved in the regulation of the metabolic responses to high-fat diet.
Antibody Validation
Boster validates all antibodies on WB, IHC, ICC, Immunofluorescence, and ELISA with known positive control and negative samples to ensure specificity and high affinity, including thorough antibody incubations.
Application & Images
Applications
A01392 is guaranteed for ELISA, Flow Cytometry, IF, IHC, ICC, WB Boster Guarantee
Assay Dilutions Recommendation
The recommendations below provide a starting point for assay optimization. The actual working concentration varies and should be decided by the user.
Western blot, 0.25-0.5μg/ml, Human, Mouse, Rat
Immunohistochemistry (Paraffin-embedded Section), 0.5-1μg/ml, Human, Mouse, Rat
Immunocytochemistry/Immunofluorescence, 2μg/ml, Human
Flow Cytometry (Fixed), 1-3μg/1x106 cells, Human
ELISA, 0.1-0.5μg/ml, -
Positive Control
WB: human hepatocellular carcinoma tumor tissue (HCCT), human hepatocellular carcinoma paracancerous tissue (HCCP)human HepG2 whole cell, human A549 whole cell, rat liver tissue, rat kidney tissue, mouse lung tissue
IHC: human renal cancer tissue, human renal cancer tissue, human mammary cancer tissue, mouse gaster tissue, rat gaster tissue
ICC/IF: A431 cell, A549 cell
FCM: HL-60 cell, HepG2 cell
Validation Images & Assay Conditions
Click image to see more details
Western blot analysis of ALDH1A1 using anti-ALDH1A1 antibody (A01392).
Electrophoresis was performed on a 5-20% SDS-PAGE gel at 70V (Stacking gel) / 90V (Resolving gel) for 2-3 hours. The sample well of each lane was loaded with 30 ug of sample under reducing conditions.
Lane 1: human hepatocellular carcinoma tumor tissue (HCCT) lysates,
Lane 2: human hepatocellular carcinoma paracancerous tissue (HCCP) lysates.
Lane 3: human HepG2 whole cell lysates,
Lane 4: human A549 whole cell lysates,
Lane 5: rat liver tissue lysates,
Lane 6: rat kidney tissue lysates,
Lane 7: mouse lung tissue lysates.
After electrophoresis, proteins were transferred to a nitrocellulose membrane at 150 mA for 50-90 minutes. Blocked the membrane with 5% non-fat milk/TBS for 1.5 hour at RT. The membrane was incubated with rabbit anti-ALDH1A1 antigen affinity purified polyclonal antibody (Catalog # A01392) at 0.5 μg/mL overnight at 4°C, then washed with TBS-0.1%Tween 3 times with 5 minutes each and probed with a goat anti-rabbit IgG-HRP secondary antibody at a dilution of 1:5000 for 1.5 hour at RT. The signal is developed using an Enhanced Chemiluminescent detection (ECL) kit (Catalog # EK1002) with Tanon 5200 system. A specific band was detected for ALDH1A1 at approximately 55 kDa. The expected band size for ALDH1A1 is at 55 kDa.
Click image to see more details
IHC analysis of ALDH1A1 using anti-ALDH1A1 antibody (A01392).
ALDH1A1 was detected in paraffin-embedded section of human renal cancer tissues. Heat mediated antigen retrieval was performed in citrate buffer (pH6, epitope retrieval solution) for 20 mins. The tissue section was blocked with 10% goat serum. The tissue section was then incubated with 1μg/ml rabbit anti-ALDH1A1 Antibody (A01392) overnight at 4°C. Biotinylated goat anti-rabbit IgG was used as secondary antibody and incubated for 30 minutes at 37°C. The tissue section was developed using Strepavidin-Biotin-Complex (SABC)(Catalog # SA1022) with DAB as the chromogen.
Click image to see more details
IHC analysis of ALDH1A1 using anti-ALDH1A1 antibody (A01392).
ALDH1A1 was detected in paraffin-embedded section of human renal cancer tissues. Heat mediated antigen retrieval was performed in citrate buffer (pH6, epitope retrieval solution) for 20 mins. The tissue section was blocked with 10% goat serum. The tissue section was then incubated with 1μg/ml rabbit anti-ALDH1A1 Antibody (A01392) overnight at 4°C. Biotinylated goat anti-rabbit IgG was used as secondary antibody and incubated for 30 minutes at 37°C. The tissue section was developed using Strepavidin-Biotin-Complex (SABC)(Catalog # SA1022) with DAB as the chromogen.
Click image to see more details
IHC analysis of ALDH1A1 using anti-ALDH1A1 antibody (A01392).
ALDH1A1 was detected in paraffin-embedded section of human mammary cancer tissues. Heat mediated antigen retrieval was performed in citrate buffer (pH6, epitope retrieval solution) for 20 mins. The tissue section was blocked with 10% goat serum. The tissue section was then incubated with 1μg/ml rabbit anti-ALDH1A1 Antibody (A01392) overnight at 4°C. Biotinylated goat anti-rabbit IgG was used as secondary antibody and incubated for 30 minutes at 37°C. The tissue section was developed using Strepavidin-Biotin-Complex (SABC)(Catalog # SA1022) with DAB as the chromogen.
Click image to see more details
IHC analysis of ALDH1A1 using anti-ALDH1A1 antibody (A01392).
ALDH1A1 was detected in paraffin-embedded section of mouse gaster tissues. Heat mediated antigen retrieval was performed in citrate buffer (pH6, epitope retrieval solution) for 20 mins. The tissue section was blocked with 10% goat serum. The tissue section was then incubated with 1μg/ml rabbit anti-ALDH1A1 Antibody (A01392) overnight at 4°C. Biotinylated goat anti-rabbit IgG was used as secondary antibody and incubated for 30 minutes at 37°C. The tissue section was developed using Strepavidin-Biotin-Complex (SABC)(Catalog # SA1022) with DAB as the chromogen.
Click image to see more details
9. Flow Cytometry analysis of HL-60 cells using anti-ALDH1A1 antibody (A01392).
Overlay histogram showing HL-60 cells stained with A01392 (Blue line). To facilitate intracellular staining, cells were fixed with 4% paraformaldehyde and permeabilized with permeabilization buffer. The cells were blocked with 10% normal goat serum. And then incubated with rabbit anti-ALDH1A1 Antibody (A01392,1μg/1x106 cells) for 30 min at 20°C. DyLight®488 conjugated goat anti-rabbit IgG (BA1127, 5-10μg/1x106 cells) was used as secondary antibody for 30 minutes at 20°C. Isotype control antibody (Green line) was rabbit IgG (1μg/1x106) used under the same conditions. Unlabelled sample (Red line) was also used as a control.
Click image to see more details
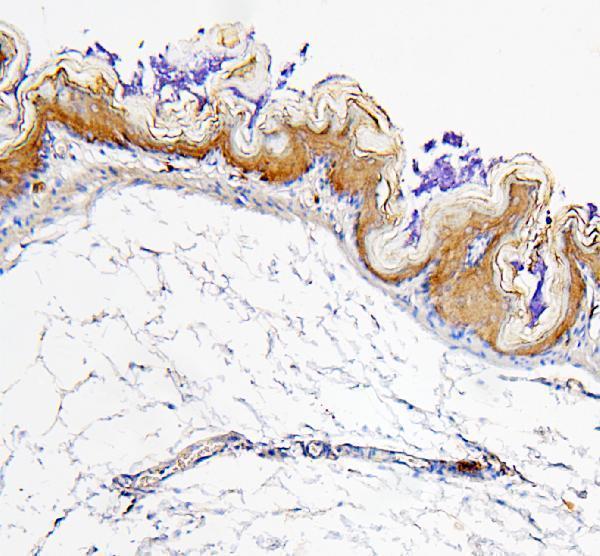
IHC analysis of ALDH1A1 using anti-ALDH1A1 antibody (A01392).
ALDH1A1 was detected in paraffin-embedded section of rat gaster tissues. Heat mediated antigen retrieval was performed in citrate buffer (pH6, epitope retrieval solution) for 20 mins. The tissue section was blocked with 10% goat serum. The tissue section was then incubated with 1μg/ml rabbit anti-ALDH1A1 Antibody (A01392) overnight at 4°C. Biotinylated goat anti-rabbit IgG was used as secondary antibody and incubated for 30 minutes at 37°C. The tissue section was developed using Strepavidin-Biotin-Complex (SABC)(Catalog # SA1022) with DAB as the chromogen.
Click image to see more details
10. Flow Cytometry analysis of HepG2 cells using anti-ALDH1A1 antibody (A01392).
Overlay histogram showing HepG2 cells stained with A01392 (Blue line). To facilitate intracellular staining, cells were fixed with 4% paraformaldehyde and permeabilized with permeabilization buffer. The cells were blocked with 10% normal goat serum. And then incubated with rabbit anti-ALDH1A1 Antibody (A01392,1μg/1x106 cells) for 30 min at 20°C. DyLight®488 conjugated goat anti-rabbit IgG (BA1127, 5-10μg/1x106 cells) was used as secondary antibody for 30 minutes at 20°C. Isotype control antibody (Green line) was rabbit IgG (1μg/1x106) used under the same conditions. Unlabelled sample (Red line) was also used as a control.
Click image to see more details
IF analysis of ALDH1A1 using anti-ALDH1A1 antibody (A01392).
ALDH1A1 was detected in immunocytochemical section of A431 cell. Enzyme antigen retrieval was performed using IHC enzyme antigen retrieval reagent (AR0022) for 15 mins. The cells were blocked with 10% goat serum. And then incubated with 2μg/mL rabbit anti-ALDH1A1 Antibody (A01392) overnight at 4°C. DyLight®488 Conjugated Goat Anti-Rabbit IgG (BA1127) was used as secondary antibody at 1:100 dilution and incubated for 30 minutes at 37°C. The section was counterstained with DAPI. Visualize using a fluorescence microscope and filter sets appropriate for the label used.
Click image to see more details
IF analysis of ALDH1A1 using anti-ALDH1A1 antibody (A01392).
ALDH1A1 was detected in immunocytochemical section of A549 cell. Enzyme antigen retrieval was performed using IHC enzyme antigen retrieval reagent (AR0022) for 15 mins. The cells were blocked with 10% goat serum. And then incubated with 2μg/mL rabbit anti-ALDH1A1 Antibody (A01392) overnight at 4°C. DyLight®488 Conjugated Goat Anti-Rabbit IgG (BA1127) was used as secondary antibody at 1:100 dilution and incubated for 30 minutes at 37°C. The section was counterstained with DAPI. Visualize using a fluorescence microscope and filter sets appropriate for the label used.
Specific Publications For Anti-Retinal dehydrogenase 1 ALDH1A1 Antibody Picoband® (A01392)
Loading publications
Recommended Resources
Here are featured tools and databases that you might find useful.
- Boster's Pathways Library
- Protein Databases
- Bioscience Research Protocol Resources
- Data Processing & Analysis Software
- Photo Editing Software
- Scientific Literature Resources
- Research Paper Management Tools
- Molecular Biology Software
- Primer Design Tools
- Bioinformatics Tools
- Phylogenetic Tree Analysis
Customer Reviews
Have you used Anti-Retinal dehydrogenase 1 ALDH1A1 Antibody Picoband®?
Share your experimental results or join a short interview to earn up to $1,000 in product credits or other rewards.
0 Reviews For Anti-Retinal dehydrogenase 1 ALDH1A1 Antibody Picoband®
Customer Q&As
Have a question?
Find answers in Q&As, reviews.
Can't find your answer?
Submit your question
5 Customer Q&As for Anti-Retinal dehydrogenase 1 ALDH1A1 Antibody Picoband®
Question
We need using your anti-ALDH1A1 antibody for cellular aldehyde metabolic process studies. Has this antibody been tested with western blotting on liver tissue? We would like to see some validation images before ordering.
Verified Customer
Verified customer
Asked: 2019-09-17
Answer
Thanks for your inquiry. This A01392 anti-ALDH1A1 antibody is tested on human placenta tissue, mouse lung tissue, rat lung tissue, a549 whole cell lysates, hepg2 whole cell lysates, liver tissue, kidney tissue. It is guaranteed to work for ELISA, Flow Cytometry, IF, IHC-P, ICC, WB in human, mouse, rat. Our Boster guarantee will cover your intended experiment even if the sample type has not been be directly tested.
Boster Scientific Support
Answered: 2019-09-17
Question
We are currently using anti-ALDH1A1 antibody A01392 for human tissue, and we are well pleased with the WB results. The species of reactivity given in the datasheet says human, mouse, rat. Is it possible that the antibody can work on pig tissues as well?
C. Williams
Verified customer
Asked: 2019-03-19
Answer
The anti-ALDH1A1 antibody (A01392) has not been tested for cross reactivity specifically with pig tissues, though there is a good chance of cross reactivity. We have an innovator award program that if you test this antibody and show it works in pig you can get your next antibody for free. Please contact me if I can help you with anything.
Boster Scientific Support
Answered: 2019-03-19
Question
Our lab were satisfied with the WB result of your anti-ALDH1A1 antibody. However we have seen positive staining in nasal cavity epithelium cytosol using this antibody. Is that expected? Could you tell me where is ALDH1A1 supposed to be expressed?
B. Wu
Verified customer
Asked: 2018-09-19
Answer
Based on literature, nasal cavity epithelium does express ALDH1A1. Generally ALDH1A1 expresses in cytoplasm, cytosol. Regarding which tissues have ALDH1A1 expression, here are a few articles citing expression in various tissues:
Colon, Pubmed ID: 15489334
Erythrocyte, Pubmed ID: 2776714, 19608861
Lens, Pubmed ID: 19296407
Liver, Pubmed ID: 2987944, 6723659, 8214422, 24275569
Boster Scientific Support
Answered: 2018-09-19
Question
We ordered your anti-ALDH1A1 antibody for ICC on nasal cavity epithelium in the past. I am using mouse, and We want to use the antibody for Flow Cytometry next. you antibody examining nasal cavity epithelium as well as erythrocyte in our next experiment. Could give a recommendation on which antibody would work the best for Flow Cytometry?
Verified Customer
Verified customer
Asked: 2017-12-28
Answer
I viewed the website and datasheets of our anti-ALDH1A1 antibody and it seems that A01392 has been tested on mouse in both ICC and Flow Cytometry. Thus A01392 should work for your application. Our Boster satisfaction guarantee will cover this product for Flow Cytometry in mouse even if the specific tissue type has not been validated. We do have a comprehensive range of products for Flow Cytometry detection and you can check out our website bosterbio.com to find out more information about them.
Boster Scientific Support
Answered: 2017-12-28
Question
We have been able to see staining in mouse liver. What should we do? Is anti-ALDH1A1 antibody supposed to stain liver positively?
B. Taylor
Verified customer
Asked: 2015-02-19
Answer
According to literature liver does express ALDH1A1. According to Uniprot.org, ALDH1A1 is expressed in nasal cavity epithelium, liver, lens, colon, erythrocyte, among other tissues. Regarding which tissues have ALDH1A1 expression, here are a few articles citing expression in various tissues:
Colon, Pubmed ID: 15489334
Erythrocyte, Pubmed ID: 2776714, 19608861
Lens, Pubmed ID: 19296407
Liver, Pubmed ID: 2987944, 6723659, 8214422, 24275569
Boster Scientific Support
Answered: 2015-02-19


