Product Info Summary
| SKU: | M04063-1 |
|---|---|
| Size: | 100 µl |
| Reactive Species: | Human |
| Host: | Mouse |
| Application: | IHC, WB |
Customers Who Bought This Also Bought
Product info
Product Name
Anti-CA12 Mouse Monoclonal Antibody [Clone ID: OTI2C6]
SKU/Catalog Number
M04063-1
Size
100 µl
Description
Boster Bio CA12 mouse monoclonal antibody, clone OTI2C6 (formerly 2C6). Catalog# M04063-1. Tested in IHC, WB. This antibody reacts with Human.
Storage & Handling
Store at -20°C as received.
Cite This Product
Anti-CA12 Mouse Monoclonal Antibody [Clone ID: OTI2C6] (Boster Biological Technology, Pleasanton CA, USA, Catalog # M04063-1)
Host
Mouse
Contents
PBS (pH 7.3) containing 1% stabilizing protein, 50% glycerol and 0.02% sodium azide.
This antibody is supplied in a stabilized formulation.
Compatibility with conjugation reactions depends on the chemistry of the conjugation method used.
For conjugation methods that are not compatible with the stabilizing components present in this formulation, a carrier-free antibody format is required.
Clonality
Monoclonal
Clone Number
OTI2C6
Isotype
IgG1
Immunogen
Full length human recombinant protein of human CA12 (NP_001209) produced in HEK293T cell.
Reactive Species
M04063-1 is reactive to CA12 in Human
Calculated molecular weight
39.5 kDa
Antibody Validation
Boster validates all antibodies on WB, IHC, ICC, Immunofluorescence, and ELISA with known positive control and negative samples to ensure specificity and high affinity, including thorough antibody incubations.
Application & Images
Applications
M04063-1 is guaranteed for IHC, WB Boster Guarantee
Assay Dilutions Recommendation
The recommendations below provide a starting point for assay optimization. The actual working concentration varies and should be decided by the user.
WB 1:500
IHC 1:150
Validation Images & Assay Conditions
Click image to see more details
HEK293T cells were transfected with the pCMV6-ENTRY control (Left lane) or pCMV6-ENTRY CA12 (Right lane) cDNA for 48 hrs and lysed. Equivalent amounts of cell lysates (5 ug per lane) were separated by SDS-PAGE and immunoblotted with anti-CA12.
Click image to see more details
Western blot analysis of extracts (35ug) from 9 different cell lines by using anti-CA12 monoclonal antibody at 1:500 dilution. (HepG2: human; HeLa: human; SVT2: mouse; A549: human; COS7: monkey; Jurkat: human; MDCK: canine; PC12: rat; MCF7: human).
Click image to see more details
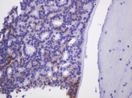
Immunohistochemical staining of paraffin-embedded Human pancreas tissue within the normal limits using anti-CA12 mouse monoclonal antibody. (Heat-induced epitope retrieval by 10mM citric buffer
Click image to see more details
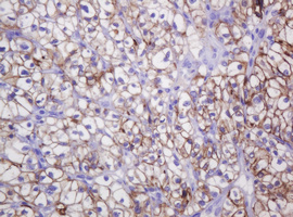
Immunohistochemical staining of paraffin-embedded Carcinoma of Human thyroid tissue using anti-CA12 mouse monoclonal antibody. (Heat-induced epitope retrieval by 10mM citric buffer
Click image to see more details
Immunohistochemical staining of paraffin-embedded Human colon tissue within the normal limits using anti-CA12 mouse monoclonal antibody. (Heat-induced epitope retrieval by 10mM citric buffer
Click image to see more details
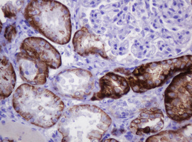
Immunohistochemical staining of paraffin-embedded Human Kidney tissue within the normal limits using anti-CA12 mouse monoclonal antibody. (Heat-induced epitope retrieval by 10mM citric buffer
Click image to see more details
Immunohistochemical staining of paraffin-embedded Carcinoma of Human kidney tissue using anti-CA12 mouse monoclonal antibody. (Heat-induced epitope retrieval by 10mM citric buffer
Specific Publications For Anti-CA12 Mouse Monoclonal Antibody [Clone ID: OTI2C6] (M04063-1)
Loading publications
Recommended Resources
Here are featured tools and databases that you might find useful.
- Boster's Pathways Library
- Protein Databases
- Bioscience Research Protocol Resources
- Data Processing & Analysis Software
- Photo Editing Software
- Scientific Literature Resources
- Research Paper Management Tools
- Molecular Biology Software
- Primer Design Tools
- Bioinformatics Tools
- Phylogenetic Tree Analysis
Customer Reviews
Have you used Anti-CA12 Mouse Monoclonal Antibody [Clone ID: OTI2C6]?
Share your experimental results or join a short interview to earn up to $1,000 in product credits or other rewards.
0 Reviews For Anti-CA12 Mouse Monoclonal Antibody [Clone ID: OTI2C6]
Customer Q&As
Have a question?
Find answers in Q&As, reviews.
Can't find your answer?
Submit your question

