Product Info Summary
| SKU: | M00158 |
|---|---|
| Size: | 100 μl |
| Reactive Species: | Human, Mouse |
| Host: | Rabbit |
| Application: | Flow Cytometry, IP, IHC, WB |
Customers Who Bought This Also Bought
Product info
Product Name
Anti-CCR2/CKR2 Rabbit Monoclonal Antibody
SKU/Catalog Number
M00158
BM3958 is an alternative SKU for this antibody, used in previous lots.
Size
100 μl
Form
Liquid
Description
Boster Bio Anti-CCR2/CKR2 Rabbit Monoclonal Antibody catalog # M00158. Tested in WB, IHC, Flow Cytometry, IP applications. This antibody reacts with Human, Mouse.
Storage & Handling
Store at -20°C for one year. For short term storage and frequent use, store at 4°C for up to one month. Avoid repeated freeze-thaw cycles.
Cite This Product
Anti-CCR2/CKR2 Rabbit Monoclonal Antibody (Boster Biological Technology, Pleasanton CA, USA, Catalog # M00158)
Host
Rabbit
Contents
Rabbit IgG in stabilizing components, phosphate buffered saline, pH 7.4, 150mM NaCl, 0.02% sodium azide and 50% glycerol.
*This antibody is supplied in a stabilized formulation.
Compatibility with conjugation reactions depends on the chemistry of the conjugation method used.
For conjugation methods that are not compatible with the stabilizing components present in this formulation, a carrier-free antibody format is required.
Clonality
Monoclonal
Clone Number
AOF-3
Isotype
Rabbit IgG
Immunogen
A synthesized peptide derived from human CCR2/CKR2 Receptor.
Reactive Species
M00158 is reactive to CCR2 in Human, Mouse
Observed Molecular Weight
42 kDa
Calculated molecular weight
41.9 kDa
Antibody Validation
Boster validates all antibodies on WB, IHC, ICC, Immunofluorescence, and ELISA with known positive control and negative samples to ensure specificity and high affinity, including thorough antibody incubations.
Application & Images
Applications
M00158 is guaranteed for Flow Cytometry, IP, IHC, WB Boster Guarantee
Assay Dilutions Recommendation
The recommendations below provide a starting point for assay optimization. The actual working concentration varies and should be decided by the user.
WB 1:500-2000
IHC 1:50-200
ICC/IF 1:50-200
IP 1:50
FC 1:100
Positive Control
WB: human THP-1 whole cell, human HEL whole cell, human K562 whole cell
IHC: human tonsil tissue
Validation Images & Assay Conditions
Click image to see more details
Western blot analysis of CCR2 using anti-CCR2 antibody (M00158).
Electrophoresis was performed on a 10% SDS-PAGE gel at 80V (Stacking gel) / 120V (Resolving gel) for 2 hours. The sample well of each lane was loaded with 30 ug of sample under reducing conditions.
Lane 1: human THP-1 whole cell lysates,
Lane 2: human HEL whole cell lysates,
Lane 3: human K562 whole cell lysates.
After electrophoresis, proteins were transferred to a nitrocellulose membrane at 150 mA for 50-90 minutes. Blocked the membrane with 5% non-fat milk/TBS for 1.5 hour at RT. The membrane was incubated with rabbit anti-CCR2 antigen affinity purified monoclonal antibody (M00158) at 1: 500 overnight at 4°C, then washed with TBS-0.1%Tween 3 times with 5 minutes each and probed with a goat anti-rabbit IgG-HRP secondary antibody at a dilution of 1:5000 for 1.5 hour at RT. The signal is developed using an ECL Plus Western Blotting Substrate (Catalog # AR1196-200) with Tanon 5200 system. A specific band was detected for CCR2 at approximately 42 kDa. The expected band size for CCR2 is at 42 kDa.
Click image to see more details
Immunofluorescent analysis using the Antibody at 1:50 dilution.
Click image to see more details
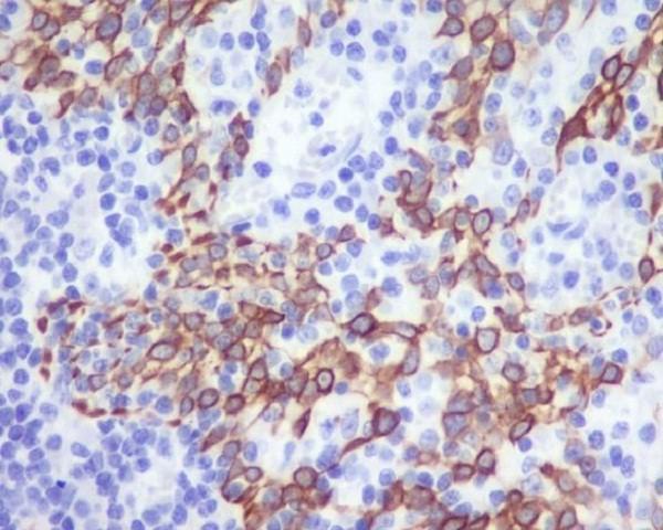
Immunohistochemical analysis of paraffin-embedded human tonsil, using CCR2/CKR2 Antibody.
Click image to see more details
Immunofluorescent analysis using the Antibody at 1:50 dilution.
Specific Publications For Anti-CCR2/CKR2 Rabbit Monoclonal Antibody (M00158)
Loading publications
Recommended Resources
Here are featured tools and databases that you might find useful.
- Boster's Pathways Library
- Protein Databases
- Bioscience Research Protocol Resources
- Data Processing & Analysis Software
- Photo Editing Software
- Scientific Literature Resources
- Research Paper Management Tools
- Molecular Biology Software
- Primer Design Tools
- Bioinformatics Tools
- Phylogenetic Tree Analysis
Customer Reviews
Have you used Anti-CCR2/CKR2 Rabbit Monoclonal Antibody?
Share your experimental results or join a short interview to earn up to $1,000 in product credits or other rewards.
0 Reviews For Anti-CCR2/CKR2 Rabbit Monoclonal Antibody
Customer Q&As
Have a question?
Find answers in Q&As, reviews.
Can't find your answer?
Submit your question
15 Customer Q&As for Anti-CCR2/CKR2 Rabbit Monoclonal Antibody
Question
We have seen staining in mouse leukocyte. Do you have any suggestions? Is anti-CCR2/CKR2 Rabbit Monoclonal antibody supposed to stain leukocyte positively?
Verified Customer
Verified customer
Asked: 2020-04-16
Answer
From what I have seen in literature leukocyte does express CCR2. From what I have seen in Uniprot.org, CCR2 is expressed in leukocyte, thymus trachea, among other tissues. Regarding which tissues have CCR2 expression, here are a few articles citing expression in various tissues:
Thymus, and Trachea, Pubmed ID: 14702039
Boster Scientific Support
Answered: 2020-04-16
Question
I appreciate helping with my inquiry over the phone. Here are the WB image, lot number and protocol we used for thymus trachea using anti-CCR2/CKR2 Rabbit Monoclonal antibody M00158. Let me know if you need anything else.
Verified Customer
Verified customer
Asked: 2020-01-16
Answer
Thank you for the data. You have provided everything we needed. Our lab team are working to resolve your inquiry as quickly as possible, and we appreciate your patience and understanding! Please let me know if there is anything you need in the meantime.
Boster Scientific Support
Answered: 2020-01-16
Question
Can you help my question with product M00158, anti-CCR2/CKR2 Rabbit Monoclonal antibody. I was wondering if it would be possible to conjugate this antibody with biotin. I would need it to be without BSA or sodium azide. I am planning on using a buffer exchange of sodium azide with PBS only. Would there be problems for me to conjugate the antibody and store it in -20 degrees in small aliquots?
Verified Customer
Verified customer
Asked: 2019-11-06
Answer
We do not recommend storing this antibody with PBS buffer only in -20 degrees. If you want to store it in -20 degrees it is best to add some cryoprotectant like glycerol. If you want carrier free M00158 anti-CCR2/CKR2 Rabbit Monoclonal antibody, we can provide it to you in a special formula with trehalose and/or glycerol. These molecules will not interfere with conjugation chemistry and provide a good level of protection for the antibody from degradation. Please be sure to specify this in your purchase order.
Boster Scientific Support
Answered: 2019-11-06
Question
We are currently using anti-CCR2/CKR2 Rabbit Monoclonal antibody M00158 for mouse tissue, and we are happy with the IP results. The species of reactivity given in the datasheet says human, mouse. Is it possible that the antibody can work on canine tissues as well?
Verified Customer
Verified customer
Asked: 2019-09-05
Answer
The anti-CCR2/CKR2 Rabbit Monoclonal antibody (M00158) has not been validated for cross reactivity specifically with canine tissues, though there is a good chance of cross reactivity. We have an innovator award program that if you test this antibody and show it works in canine you can get your next antibody for free. Please contact me if I can help you with anything.
Boster Scientific Support
Answered: 2019-09-05
Question
Is there a BSA free version of anti-CCR2/CKR2 Rabbit Monoclonal antibody M00158 available?
E. Wu
Verified customer
Asked: 2019-02-01
Answer
Thanks for your recent telephone inquiry. I can confirm that some lots of this anti-CCR2/CKR2 Rabbit Monoclonal antibody M00158 are BSA free. For now, these lots are available and we can make a BSA free formula for you free of charge. It will take 3 extra days to prepare. If you require this antibody BSA free again in future, please do not hesitate to contact me and I will be pleased to check which lots we have in stock that are BSA free.
Boster Scientific Support
Answered: 2019-02-01
Question
Is a blocking peptide available for product anti-CCR2/CKR2 Rabbit Monoclonal antibody (M00158)?
S. Roberts
Verified customer
Asked: 2018-12-18
Answer
We do provide the blocking peptide for product anti-CCR2/CKR2 Rabbit Monoclonal antibody (M00158). If you would like to place an order for it please contact support@bosterbio.com and make a special request.
Boster Scientific Support
Answered: 2018-12-18
Question
We ordered your anti-CCR2/CKR2 Rabbit Monoclonal antibody for IHC on leukocyte last year. I am using human, and We want to use the antibody for IP next. Our lab want to know about examining leukocyte as well as thymus trachea in our next experiment. Do you have any suggestion on which antibody would work the best for IP?
Verified Customer
Verified customer
Asked: 2018-06-15
Answer
I have checked the website and datasheets of our anti-CCR2/CKR2 Rabbit Monoclonal antibody and it seems that M00158 has been validated on human in both IHC and IP. Thus M00158 should work for your application. Our Boster satisfaction guarantee will cover this product for IP in human even if the specific tissue type has not been validated. We do have a comprehensive range of products for IP detection and you can check out our website bosterbio.com to find out more information about them.
Boster Scientific Support
Answered: 2018-06-15
Question
I was wanting to use your anti-CCR2/CKR2 Rabbit Monoclonal antibody for Flow Cytometry for human thymus trachea on frozen tissues, but I want to know if it has been validated for this particular application. Has this antibody been validated and is this antibody a good choice for human thymus trachea identification?
Verified Customer
Verified customer
Asked: 2017-11-21
Answer
As indicated on the product datasheet, M00158 anti-CCR2/CKR2 Rabbit Monoclonal antibody has been validated for Flow Cytometry, IP, IHC on human, mouse tissues. We have an innovator award program that if you test this antibody and show it works in human thymus trachea in IHC-frozen, you can get your next antibody for free.
Boster Scientific Support
Answered: 2017-11-21
Question
Is this M00158 anti-CCR2/CKR2 Rabbit Monoclonal antibody reactive to the isotypes of CCR2?
Verified Customer
Verified customer
Asked: 2017-11-16
Answer
The immunogen of M00158 anti-CCR2/CKR2 Rabbit Monoclonal antibody is A synthesized peptide derived from human CCR2/CKR2 Receptor. Could you tell me which isotype you are interested in so I can help see if the immunogen is part of this isotype?
Boster Scientific Support
Answered: 2017-11-16
Question
Does M00158 anti-CCR2/CKR2 Rabbit Monoclonal antibody work on parafin embedded sections? If so, which fixation method do you recommend we use (PFA, paraformaldehyde, other)?
Verified Customer
Verified customer
Asked: 2017-09-19
Answer
As indicated on the product datasheet, M00158 anti-CCR2/CKR2 Rabbit Monoclonal antibody as been validated on Flow Cytometry. It is best to use PFA for fixation because it has better tissue penetration ability. PFA needs to be prepared fresh before use. Long term stored PFA turns into formalin, as the PFA molecules congregate and become formalin.
Boster Scientific Support
Answered: 2017-09-19
Question
I see that the anti-CCR2/CKR2 Rabbit Monoclonal antibody M00158 works with Flow Cytometry, what is the protocol used to produce the result images on the product page?
K. Roberts
Verified customer
Asked: 2016-07-29
Answer
You can find protocols for Flow Cytometry on the "support/technical resources" section of our navigation menu. If you have any further questions, please send an email to support@bosterbio.com
Boster Scientific Support
Answered: 2016-07-29
Question
Here is the WB image, lot number and protocol we used for thymus trachea using anti-CCR2/CKR2 Rabbit Monoclonal antibody M00158. Please let me know if you require anything else.
N. Lewis
Verified customer
Asked: 2015-09-04
Answer
Thank you very much for the data. Our lab team are working to resolve this as quickly as possible, and we appreciate your patience and understanding! You have provided everything we needed. Please let me know if there is anything you need in the meantime.
Boster Scientific Support
Answered: 2015-09-04
Question
I am interested in to test anti-CCR2/CKR2 Rabbit Monoclonal antibody M00158 on human thymus trachea for research purposes, then I may be interested in using anti-CCR2/CKR2 Rabbit Monoclonal antibody M00158 for diagnostic purposes as well. Is the antibody suitable for diagnostic purposes?
J. Carter
Verified customer
Asked: 2013-09-23
Answer
The products we sell, including anti-CCR2/CKR2 Rabbit Monoclonal antibody M00158, are only intended for research use. They would not be suitable for use in diagnostic work. If you have the means to develop a product into diagnostic use, and are interested in collaborating with us and develop our product into an IVD product, please contact us for more discussions.
Boster Scientific Support
Answered: 2013-09-23
Question
Our lab were well pleased with the WB result of your anti-CCR2/CKR2 Rabbit Monoclonal antibody. However we have been able to see positive staining in leukocyte cell membrane using this antibody. Is that expected? Could you tell me where is CCR2 supposed to be expressed?
R. Mangal
Verified customer
Asked: 2013-06-14
Answer
From literature, leukocyte does express CCR2. Generally CCR2 expresses in cell membrane. Regarding which tissues have CCR2 expression, here are a few articles citing expression in various tissues:
Thymus, and Trachea, Pubmed ID: 14702039
Boster Scientific Support
Answered: 2013-06-14
Question
Will anti-CCR2/CKR2 Rabbit Monoclonal antibody M00158 work for Flow Cytometry with thymus trachea?
K. Thomas
Verified customer
Asked: 2013-02-14
Answer
According to the expression profile of thymus trachea, CCR2 is highly expressed in thymus trachea. So, it is likely that anti-CCR2/CKR2 Rabbit Monoclonal antibody M00158 will work for Flow Cytometry with thymus trachea.
Boster Scientific Support
Answered: 2013-02-14


