Product Info Summary
| SKU: | M02675-2 |
|---|---|
| Size: | 100 μl |
| Reactive Species: | Human |
| Host: | Rabbit |
| Application: | Flow Cytometry, IP, IHC, WB |
Customers Who Bought This Also Bought
Product info
Product Name
Anti-CD3 epsilon Rabbit Monoclonal Antibody
SKU/Catalog Number
M02675-2
BM4420 is an alternative SKU for this antibody, used in previous lots.
Size
100 μl
Form
Liquid
Description
Boster Bio Anti-CD3 epsilon Rabbit Monoclonal Antibody catalog # M02675-2. Tested in WB, IHC, IP, Flow Cytometry applications. This antibody reacts with Human.
Storage & Handling
Store at -20°C for one year. For short term storage and frequent use, store at 4°C for up to one month. Avoid repeated freeze-thaw cycles.
Cite This Product
Anti-CD3 epsilon Rabbit Monoclonal Antibody (Boster Biological Technology, Pleasanton CA, USA, Catalog # M02675-2)
Host
Rabbit
Contents
Rabbit IgG in stabilizing components, phosphate buffered saline, pH 7.4, 150mM NaCl, 0.02% sodium azide and 50% glycerol.
*This antibody is supplied in a stabilized formulation.
Compatibility with conjugation reactions depends on the chemistry of the conjugation method used.
For conjugation methods that are not compatible with the stabilizing components present in this formulation, a carrier-free antibody format is required.
Clonality
Monoclonal
Clone Number
EED-3
Isotype
Rabbit IgG
Immunogen
A synthesized peptide derived from human CD3 epsilon
Reactive Species
M02675-2 is reactive to CD3E in Human
Observed Molecular Weight
23 kDa
Calculated molecular weight
23.1 kDa
Antibody Validation
Boster validates all antibodies on WB, IHC, ICC, Immunofluorescence, and ELISA with known positive control and negative samples to ensure specificity and high affinity, including thorough antibody incubations.
Application & Images
Applications
M02675-2 is guaranteed for Flow Cytometry, IP, IHC, WB Boster Guarantee
Assay Dilutions Recommendation
The recommendations below provide a starting point for assay optimization. The actual working concentration varies and should be decided by the user.
WB 1:500-2000
IHC 1:50-200
IP 1:20
FC 1:20
Positive Control
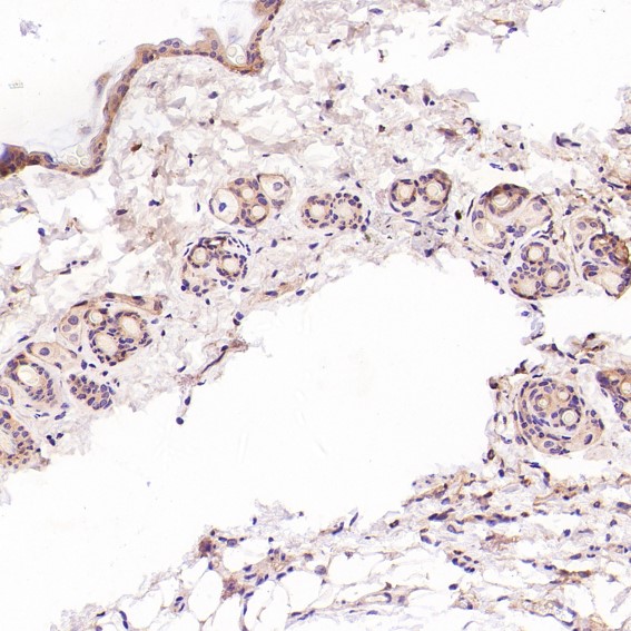
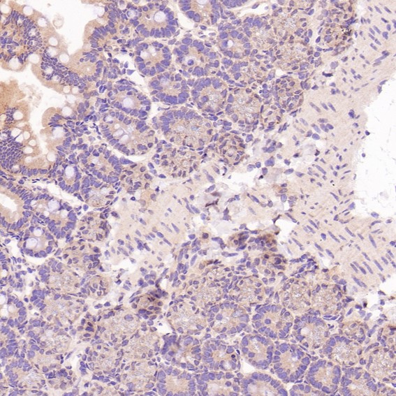
IHC: Mouse intestine tissue, Mouse skin tissue, Rat stomach tissue, human colon cancer tissue
Validation Images & Assay Conditions
Click image to see more details
All lanes use the Antibody at 1:1K dilution for 1 hour at room temperature.
Click image to see more details
All lanes use the Antibody at 1:1K dilution for 1 hour at room temperature.
Click image to see more details
Western blot analysis of CD3 epsilon expression in Jurkat cell lysate.
Click image to see more details
Immunohistochemical analysis of paraffin-embedded Mouse intestine, using the Antibody at 1:100 dilution.
Click image to see more details
Immunohistochemical analysis of paraffin-embedded Mouse skin, using the Antibody at 1:100 dilution.
Click image to see more details
Immunohistochemical analysis of paraffin-embedded Rat stomach, using the Antibody at 1:100 dilution.
Click image to see more details
Immunohistochemical analysis of paraffin-embedded human colon cancer, using CD3 epsilon Antibody.
Specific Publications For Anti-CD3 epsilon Rabbit Monoclonal Antibody (M02675-2)
Loading publications
Recommended Resources
Here are featured tools and databases that you might find useful.
- Boster's Pathways Library
- Protein Databases
- Bioscience Research Protocol Resources
- Data Processing & Analysis Software
- Photo Editing Software
- Scientific Literature Resources
- Research Paper Management Tools
- Molecular Biology Software
- Primer Design Tools
- Bioinformatics Tools
- Phylogenetic Tree Analysis
Customer Reviews
Have you used Anti-CD3 epsilon Rabbit Monoclonal Antibody?
Share your experimental results or join a short interview to earn up to $1,000 in product credits or other rewards.
0 Reviews For Anti-CD3 epsilon Rabbit Monoclonal Antibody
Customer Q&As
Have a question?
Find answers in Q&As, reviews.
Can't find your answer?
Submit your question
16 Customer Q&As for Anti-CD3 epsilon Rabbit Monoclonal Antibody
Question
We have seen staining in human thymus. Do you have any suggestions? Is anti-CD3 epsilon Rabbit Monoclonal antibody supposed to stain thymus positively?
Verified Customer
Verified customer
Asked: 2020-01-30
Answer
From what I have seen in literature thymus does express CD3E. From what I have seen in Uniprot.org, CD3E is expressed in leukocyte, blood, thymus, leukemic t-cell, among other tissues. Regarding which tissues have CD3E expression, here are a few articles citing expression in various tissues:
Blood, Pubmed ID: 3267235, 15489334
Leukemic T-cell, Pubmed ID: 15144186, 19690332
Thymus, Pubmed ID: 14702039
Boster Scientific Support
Answered: 2020-01-30
Question
We need to test anti-CD3 epsilon Rabbit Monoclonal antibody M02675-2 on human blood for research purposes, then I may be interested in using anti-CD3 epsilon Rabbit Monoclonal antibody M02675-2 for diagnostic purposes as well. Is the antibody suitable for diagnostic purposes?
Verified Customer
Verified customer
Asked: 2019-09-06
Answer
The products we sell, including anti-CD3 epsilon Rabbit Monoclonal antibody M02675-2, are only intended for research use. They would not be suitable for use in diagnostic work. If you have the means to develop a product into diagnostic use, and are interested in collaborating with us and develop our product into an IVD product, please contact us for more discussions.
Boster Scientific Support
Answered: 2019-09-06
Question
Our lab want to know about using your anti-CD3 epsilon Rabbit Monoclonal antibody for positive regulation of interferon-gamma production studies. Has this antibody been tested with western blotting on jurkat cell lysate? We would like to see some validation images before ordering.
Verified Customer
Verified customer
Asked: 2019-08-23
Answer
We appreciate your inquiry. This M02675-2 anti-CD3 epsilon Rabbit Monoclonal antibody is validated on jurkat cell lysate. It is guaranteed to work for Flow Cytometry, IP, IHC, WB in human. Our Boster guarantee will cover your intended experiment even if the sample type has not been be directly tested.
Boster Scientific Support
Answered: 2019-08-23
Question
We were content with the WB result of your anti-CD3 epsilon Rabbit Monoclonal antibody. However we have been able to see positive staining in blood cell membrane using this antibody. Is that expected? Could you tell me where is CD3E supposed to be expressed?
Verified Customer
Verified customer
Asked: 2019-07-29
Answer
Based on literature, blood does express CD3E. Generally CD3E expresses in cell membrane. Regarding which tissues have CD3E expression, here are a few articles citing expression in various tissues:
Blood, Pubmed ID: 3267235, 15489334
Leukemic T-cell, Pubmed ID: 15144186, 19690332
Thymus, Pubmed ID: 14702039
Boster Scientific Support
Answered: 2019-07-29
Question
We are currently using anti-CD3 epsilon Rabbit Monoclonal antibody M02675-2 for human tissue, and we are happy with the IHC results. The species of reactivity given in the datasheet says human. Is it likely that the antibody can work on pig tissues as well?
Verified Customer
Verified customer
Asked: 2019-06-28
Answer
The anti-CD3 epsilon Rabbit Monoclonal antibody (M02675-2) has not been validated for cross reactivity specifically with pig tissues, but there is a good chance of cross reactivity. We have an innovator award program that if you test this antibody and show it works in pig you can get your next antibody for free. Please contact me if I can help you with anything.
Boster Scientific Support
Answered: 2019-06-28
Question
Thanks for helping with my inquiry over the phone. Here are the WB image, lot number and protocol we used for blood using anti-CD3 epsilon Rabbit Monoclonal antibody M02675-2. Let me know if you need anything else.
Verified Customer
Verified customer
Asked: 2019-05-30
Answer
Thanks for the data. You have provided everything we needed. Our lab team are working to resolve your inquiry as quickly as possible, and we appreciate your patience and understanding! Please let me know if there is anything you need in the meantime.
Boster Scientific Support
Answered: 2019-05-30
Question
Will M02675-2 anti-CD3 epsilon Rabbit Monoclonal antibody work on parafin embedded sections? If so, which fixation method do you recommend we use (PFA, paraformaldehyde, other)?
Verified Customer
Verified customer
Asked: 2018-11-07
Answer
It shows on the product datasheet, M02675-2 anti-CD3 epsilon Rabbit Monoclonal antibody as been validated on WB. It is best to use PFA for fixation because it has better tissue penetration ability. PFA needs to be prepared fresh before use. Long term stored PFA turns into formalin, as the PFA molecules congregate and become formalin.
Boster Scientific Support
Answered: 2018-11-07
Question
Is a blocking peptide available for product anti-CD3 epsilon Rabbit Monoclonal antibody (M02675-2)?
D. Rodriguez
Verified customer
Asked: 2018-06-06
Answer
We do provide the blocking peptide for product anti-CD3 epsilon Rabbit Monoclonal antibody (M02675-2). If you would like to place an order for it please contact support@bosterbio.com and make a special request.
Boster Scientific Support
Answered: 2018-06-06
Question
Is this M02675-2 anti-CD3 epsilon Rabbit Monoclonal antibody reactive to the isotypes of CD3E?
Verified Customer
Verified customer
Asked: 2018-01-22
Answer
The immunogen of M02675-2 anti-CD3 epsilon Rabbit Monoclonal antibody is A synthesized peptide derived from human CD3 epsilon. Could you tell me which isotype you are interested in so I can help see if the immunogen is part of this isotype?
Boster Scientific Support
Answered: 2018-01-22
Question
Does anti-CD3 epsilon Rabbit Monoclonal antibody M02675-2 work for WB with blood?
Verified Customer
Verified customer
Asked: 2017-09-19
Answer
According to the expression profile of blood, CD3E is highly expressed in blood. So, it is likely that anti-CD3 epsilon Rabbit Monoclonal antibody M02675-2 will work for WB with blood.
Boster Scientific Support
Answered: 2017-09-19
Question
Is there a BSA free version of anti-CD3 epsilon Rabbit Monoclonal antibody M02675-2 available?
E. Rodriguez
Verified customer
Asked: 2017-07-11
Answer
We appreciate your recent telephone inquiry. I can confirm that some lots of this anti-CD3 epsilon Rabbit Monoclonal antibody M02675-2 are BSA free. For now, these lots are available and we can make a BSA free formula for you free of charge. It will take 3 extra days to prepare. If you require this antibody BSA free again in future, please do not hesitate to contact me and I will be pleased to check which lots we have in stock that are BSA free.
Boster Scientific Support
Answered: 2017-07-11
Question
We ordered your anti-CD3 epsilon Rabbit Monoclonal antibody for IHC on blood last year. I am using human, and We want to use the antibody for IP next. I am looking for examining blood as well as thymus in our next experiment. Could give a recommendation on which antibody would work the best for IP?
Verified Customer
Verified customer
Asked: 2017-06-06
Answer
I took a look at the website and datasheets of our anti-CD3 epsilon Rabbit Monoclonal antibody and I see that M02675-2 has been validated on human in both IHC and IP. Thus M02675-2 should work for your application. Our Boster satisfaction guarantee will cover this product for IP in human even if the specific tissue type has not been validated. We do have a comprehensive range of products for IP detection and you can check out our website bosterbio.com to find out more information about them.
Boster Scientific Support
Answered: 2017-06-06
Question
I have a question about product M02675-2, anti-CD3 epsilon Rabbit Monoclonal antibody. I was wondering if it would be possible to conjugate this antibody with biotin. I would need it to be without BSA or sodium azide. I am planning on using a buffer exchange of sodium azide with PBS only. Would there be problems for me to conjugate the antibody and store it in -20 degrees in small aliquots?
H. Gonzalez
Verified customer
Asked: 2017-05-25
Answer
We do not advise storing this antibody with PBS buffer only in -20 degrees. If you want to store it in -20 degrees it is best to add some cryoprotectant like glycerol. If you want carrier free M02675-2 anti-CD3 epsilon Rabbit Monoclonal antibody, we can provide it to you in a special formula with trehalose and/or glycerol. These molecules will not interfere with conjugation chemistry and provide a good level of protection for the antibody from degradation. Please be sure to specify this in your purchase order.
Boster Scientific Support
Answered: 2017-05-25
Question
I see that the anti-CD3 epsilon Rabbit Monoclonal antibody M02675-2 works with WB, what is the protocol used to produce the result images on the product page?
D. Taylor
Verified customer
Asked: 2016-12-27
Answer
You can find protocols for WB on the "support/technical resources" section of our navigation menu. If you have any further questions, please send an email to support@bosterbio.com
Boster Scientific Support
Answered: 2016-12-27
Question
Please see the WB image, lot number and protocol we used for blood using anti-CD3 epsilon Rabbit Monoclonal antibody M02675-2. Please let me know if you require anything else.
R. Johnson
Verified customer
Asked: 2015-02-20
Answer
Thank you very much for the data. Our lab team are working to resolve this as quickly as possible, and we appreciate your patience and understanding! You have provided everything we needed. Please let me know if there is anything you need in the meantime.
Boster Scientific Support
Answered: 2015-02-20
Question
I was wanting to use your anti-CD3 epsilon Rabbit Monoclonal antibody for WB for human blood on frozen tissues, but I want to know if it has been validated for this particular application. Has this antibody been validated and is this antibody a good choice for human blood identification?
T. Krishna
Verified customer
Asked: 2013-11-12
Answer
It shows on the product datasheet, M02675-2 anti-CD3 epsilon Rabbit Monoclonal antibody has been tested for Flow Cytometry, IP, IHC, WB on human tissues. We have an innovator award program that if you test this antibody and show it works in human blood in IHC-frozen, you can get your next antibody for free.
Boster Scientific Support
Answered: 2013-11-12


