Product Info Summary
| SKU: | A00624-1 |
|---|---|
| Size: | 100μl |
| Reactive Species: | Human, Mouse, Rat |
| Host: | Rabbit |
| Application: | ELISA, IF, IHC, WB |
Customers Who Bought This Also Bought
Product info
Product Name
Anti-Collagen alpha-2(I) chain COL1A2 Antibody
SKU/Catalog Number
A00624-1
Size
100μl
Form
Liquid
Description
Boster Bio Anti-Collagen alpha-2 (I) chain COL1A2 Antibody catalog # A00624-1. Tested in WB, IHC, IF, ELISA applications. This antibody reacts with Human, Mouse, Rat.
Storage & Handling
Store at -20°C for one year. For short term storage and frequent use, store at 4°C for up to one month. Avoid repeated freeze-thaw cycles.
Cite This Product
Anti-Collagen alpha-2(I) chain COL1A2 Antibody (Boster Biological Technology, Pleasanton CA, USA, Catalog # A00624-1)
Host
Rabbit
Contents
Liquid in PBS containing 50% glycerol, 0.5% stabilizing protein and 0.02% sodium azide.
*This antibody is supplied in a stabilized formulation.
Compatibility with conjugation reactions depends on the chemistry of the conjugation method used.
For conjugation methods that are not compatible with the stabilizing components present in this formulation, a carrier-free antibody format is required.
Clonality
Polyclonal
Isotype
IgG
Immunogen
The antiserum was produced against synthesized peptide derived from human Collagen I. AA range:1-50
Cross-reactivity
No cross reactivity with other proteins.
Reactive Species
A00624-1 is reactive to COL1A2 in Human, Mouse, Rat
Observed Molecular Weight
39 kDa
Calculated molecular weight
129.3 kDa
Antibody Validation
Boster validates all antibodies on WB, IHC, ICC, Immunofluorescence, and ELISA with known positive control and negative samples to ensure specificity and high affinity, including thorough antibody incubations.
Application & Images
Applications
A00624-1 is guaranteed for ELISA, IF, IHC, WB Boster Guarantee
Assay Dilutions Recommendation
The recommendations below provide a starting point for assay optimization. The actual working concentration varies and should be decided by the user.
WB 1:500-2000
IHC 1:100-1:300
IF 1:200-1:1000
ELISA 1:10000
Validation Images & Assay Conditions
Click image to see more details
Western Blot analysis of various cells using COL1A2 Polyclonal Antibody diluted at 1:500
Click image to see more details
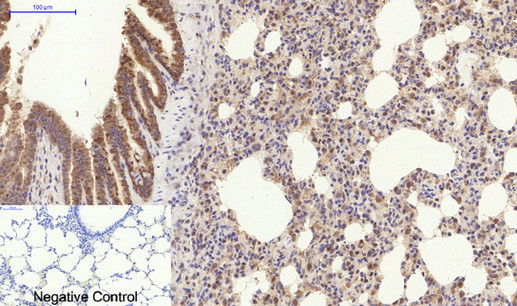
Immunohistochemical analysis of paraffin-embedded Rat-lung tissue. 1, COL1A2 Polyclonal Antibody was diluted at 1:200 (4°C, overnight). 2, Sodium citrate pH 6.0 was used for antibody retrieval (>98°C, 20min). 3, Secondary antibody was diluted at 1:200 (room tempeRature, 30min). Negative control was used by secondary antibody only.
Click image to see more details
Immunohistochemical analysis of paraffin-embedded Mouse-liver tissue. 1, COL1A2 Polyclonal Antibody was diluted at 1:200 (4°C, overnight). 2, Sodium citrate pH 6.0 was used for antibody retrieval (>98°C, 20min). 3, Secondary antibody was diluted at 1:200 (room tempeRature, 30min). Negative control was used by secondary antibody only.
Click image to see more details
Immunofluorescence analysis of rat-lung tissue. 1, COL1A2 Polyclonal Antibody (red) was diluted at 1:200 (4°C, overnight). 2, Cy3 labled Secondary antibody was diluted at 1:300 (room temperature, 50min).3, Picture B: DAPI (blue) 10min. Picture A:Target. Picture B: DAPI. Picture C: merge of A+B
Click image to see more details
Immunofluorescence analysis of NIH/3T3 cells, using Collagen I Antibody. The picture on the right is blocked with the synthesized peptide.
Specific Publications For Anti-Collagen alpha-2(I) chain COL1A2 Antibody (A00624-1)
Loading publications
Recommended Resources
Here are featured tools and databases that you might find useful.
- Boster's Pathways Library
- Protein Databases
- Bioscience Research Protocol Resources
- Data Processing & Analysis Software
- Photo Editing Software
- Scientific Literature Resources
- Research Paper Management Tools
- Molecular Biology Software
- Primer Design Tools
- Bioinformatics Tools
- Phylogenetic Tree Analysis
Customer Reviews
Have you used Anti-Collagen alpha-2(I) chain COL1A2 Antibody?
Share your experimental results or join a short interview to earn up to $1,000 in product credits or other rewards.
0 Reviews For Anti-Collagen alpha-2(I) chain COL1A2 Antibody
Customer Q&As
Have a question?
Find answers in Q&As, reviews.
Can't find your answer?
Submit your question

