Product Info Summary
| SKU: | A03889-2 |
|---|---|
| Size: | 100μl |
| Reactive Species: | Human, Mouse, Rat |
| Host: | Rabbit |
| Application: | ELISA, IF, IHC, WB |
Customers Who Bought This Also Bought
Product info
Product Name
Anti-Cyclin A1 Antibody
SKU/Catalog Number
A03889-2
Size
100μl
Form
Liquid
Description
Boster Bio Anti-Cyclin A1 Antibody catalog # A03889-2. Tested in WB, IHC, IF, ELISA applications. This antibody reacts with Human, Mouse, Rat.
Storage & Handling
Store at -20°C for one year. For short term storage and frequent use, store at 4°C for up to one month. Avoid repeated freeze-thaw cycles.
Cite This Product
Anti-Cyclin A1 Antibody (Boster Biological Technology, Pleasanton CA, USA, Catalog # A03889-2)
Host
Rabbit
Contents
Liquid in PBS containing 50% glycerol, 0.5% stabilizing protein and 0.02% sodium azide.
*This antibody is supplied in a stabilized formulation.
Compatibility with conjugation reactions depends on the chemistry of the conjugation method used.
For conjugation methods that are not compatible with the stabilizing components present in this formulation, a carrier-free antibody format is required.
Clonality
Polyclonal
Isotype
IgG
Immunogen
The antiserum was produced against synthesized peptide derived from human Cyclin A1. AA range:411-460
Reactive Species
A03889-2 is reactive to CCNA1 in Human, Mouse, Rat
Observed Molecular Weight
39 kDa
Calculated molecular weight
52.4 kDa
Antibody Validation
Boster validates all antibodies on WB, IHC, ICC, Immunofluorescence, and ELISA with known positive control and negative samples to ensure specificity and high affinity, including thorough antibody incubations.
Application & Images
Applications
A03889-2 is guaranteed for ELISA, IF, IHC, WB Boster Guarantee
Assay Dilutions Recommendation
The recommendations below provide a starting point for assay optimization. The actual working concentration varies and should be decided by the user.
WB 1:500-1:2000
IHC 1:100-1:300
ELISA 1:40000
IF 1:50-200
Validation Images & Assay Conditions
Click image to see more details
Western Blot analysis of HeLa cells using Cyclin A1 Polyclonal Antibody diluted at 1:2000
Click image to see more details
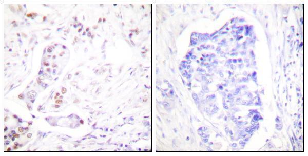
Immunohistochemistry analysis of paraffin-embedded human breast carcinoma tissue, using Cyclin A1 Antibody. The picture on the right is blocked with the synthesized peptide.
Specific Publications For Anti-Cyclin A1 Antibody (A03889-2)
Loading publications
Recommended Resources
Here are featured tools and databases that you might find useful.
- Boster's Pathways Library
- Protein Databases
- Bioscience Research Protocol Resources
- Data Processing & Analysis Software
- Photo Editing Software
- Scientific Literature Resources
- Research Paper Management Tools
- Molecular Biology Software
- Primer Design Tools
- Bioinformatics Tools
- Phylogenetic Tree Analysis
Customer Reviews
Have you used Anti-Cyclin A1 Antibody?
Share your experimental results or join a short interview to earn up to $1,000 in product credits or other rewards.
0 Reviews For Anti-Cyclin A1 Antibody
Customer Q&As
Have a question?
Find answers in Q&As, reviews.
Can't find your answer?
Submit your question
4 Customer Q&As for Anti-Cyclin A1 Antibody
Question
Does anti-Cyclin A1 antibody A03889-2 work for WB with myeloid?
Verified Customer
Verified customer
Asked: 2020-01-23
Answer
According to the expression profile of myeloid, CCNA1 is highly expressed in myeloid. So, it is likely that anti-Cyclin A1 antibody A03889-2 will work for WB with myeloid.
Boster Scientific Support
Answered: 2020-01-23
Question
Is this A03889-2 anti-Cyclin A1 antibody reactive to the isotypes of CCNA1?
C. Carter
Verified customer
Asked: 2019-11-01
Answer
The immunogen of A03889-2 anti-Cyclin A1 antibody is Synthesized peptide derived from the C-terminal region of human Cyclin A1. at AA rangle: 380-460. Could you tell me which isotype you are interested in so I can help see if the immunogen is part of this isotype?
Boster Scientific Support
Answered: 2019-11-01
Question
I appreciate helping with my inquiry over the phone. Here are the WB image, lot number and protocol we used for myeloid using anti-Cyclin A1 antibody A03889-2. Let me know if you need anything else.
Verified Customer
Verified customer
Asked: 2019-10-28
Answer
I appreciate the data. You have provided everything we needed. Our lab team are working to resolve your inquiry as quickly as possible, and we appreciate your patience and understanding! Please let me know if there is anything you need in the meantime.
Boster Scientific Support
Answered: 2019-10-28
Question
Will anti-Cyclin A1 antibody A03889-2 work on monkey WB with testis?
A. Zhang
Verified customer
Asked: 2014-09-18
Answer
Our lab technicians have not validated anti-Cyclin A1 antibody A03889-2 on monkey. You can run a BLAST between monkey and the immunogen sequence of anti-Cyclin A1 antibody A03889-2 to see if they may cross-react. If the sequence homology is close, then you can perform a pilot test. Keep in mind that since we have not validated monkey samples, this use of the antibody is not covered by our guarantee. However we have an innovator award program that if you test this antibody and show it works in monkey testis in WB, you can get your next antibody for free.
Boster Scientific Support
Answered: 2014-09-18

