Product Info Summary
| SKU: | A01007 |
|---|---|
| Size: | 100μl |
| Reactive Species: | Human, Mouse, Rat |
| Host: | Rabbit |
| Application: | ELISA, IF, IHC, WB |
Customers Who Bought This Also Bought
Product info
Product Name
Anti-PEBP2 beta CBFB Antibody
SKU/Catalog Number
A01007
Size
100μl
Form
Liquid
Description
Boster Bio Anti-PEBP2 beta CBFB Antibody catalog # A01007. Tested in WB, IHC, IF, ELISA applications. This antibody reacts with Human, Mouse, Rat.
Storage & Handling
Store at -20°C for one year. For short term storage and frequent use, store at 4°C for up to one month. Avoid repeated freeze-thaw cycles.
Cite This Product
Anti-PEBP2 beta CBFB Antibody (Boster Biological Technology, Pleasanton CA, USA, Catalog # A01007)
Host
Rabbit
Contents
Liquid in PBS containing 50% glycerol, 0.5% stabilizing protein and 0.02% sodium azide.
*This antibody is supplied in a stabilized formulation.
Compatibility with conjugation reactions depends on the chemistry of the conjugation method used.
For conjugation methods that are not compatible with the stabilizing components present in this formulation, a carrier-free antibody format is required.
Clonality
Polyclonal
Isotype
IgG
Immunogen
The antiserum was produced against synthesized peptide derived from human CBF beta. AA range:11-60
Reactive Species
A01007 is reactive to CBFB in Human, Mouse, Rat
Observed Molecular Weight
39 kDa
Calculated molecular weight
21.5 kDa
Antibody Validation
Boster validates all antibodies on WB, IHC, ICC, Immunofluorescence, and ELISA with known positive control and negative samples to ensure specificity and high affinity, including thorough antibody incubations.
Application & Images
Applications
A01007 is guaranteed for ELISA, IF, IHC, WB Boster Guarantee
Assay Dilutions Recommendation
The recommendations below provide a starting point for assay optimization. The actual working concentration varies and should be decided by the user.
WB 1:500-1:2000
IHC 1:100-1:300
IF 1:200-1:1000
ELISA 1:20000
Validation Images & Assay Conditions
Click image to see more details
Western Blot analysis of various cells using PEBP2β Polyclonal Antibody cells nucleus extracted by Minute TM Cytoplasmic and Nuclear Fractionation kit .
Click image to see more details
Western blot analysis of lysates from HUVEC and HeLa cells, using CBF beta Antibody. The lane on the right is blocked with the synthesized peptide.
Click image to see more details
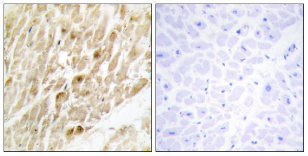
Immunohistochemistry analysis of paraffin-embedded human heart tissue, using CBF beta Antibody. The picture on the right is blocked with the synthesized peptide.
Specific Publications For Anti-PEBP2 beta CBFB Antibody (A01007)
Loading publications
Recommended Resources
Here are featured tools and databases that you might find useful.
- Boster's Pathways Library
- Protein Databases
- Bioscience Research Protocol Resources
- Data Processing & Analysis Software
- Photo Editing Software
- Scientific Literature Resources
- Research Paper Management Tools
- Molecular Biology Software
- Primer Design Tools
- Bioinformatics Tools
- Phylogenetic Tree Analysis
Customer Reviews
Have you used Anti-PEBP2 beta CBFB Antibody?
Share your experimental results or join a short interview to earn up to $1,000 in product credits or other rewards.
0 Reviews For Anti-PEBP2 beta CBFB Antibody
Customer Q&As
Have a question?
Find answers in Q&As, reviews.
Can't find your answer?
Submit your question
4 Customer Q&As for Anti-PEBP2 beta CBFB Antibody
Question
Is a blocking peptide available for product anti-PEBP2 beta antibody (A01007)?
Verified Customer
Verified customer
Asked: 2019-12-16
Answer
We do provide the blocking peptide for product anti-PEBP2 beta antibody (A01007). If you would like to place an order for it please contact support@bosterbio.com and make a special request.
Boster Scientific Support
Answered: 2019-12-16
Question
My question regarding product A01007, anti-PEBP2 beta antibody. I was wondering if it would be possible to conjugate this antibody with biotin. I would need it to be without BSA or sodium azide. I am planning on using a buffer exchange of sodium azide with PBS only. Would there be problems for me to conjugate the antibody and store it in -20 degrees in small aliquots?
Verified Customer
Verified customer
Asked: 2019-07-30
Answer
We suggest not storing this antibody with PBS buffer only in -20 degrees. If you want to store it in -20 degrees it is best to add some cryoprotectant like glycerol. If you want carrier free A01007 anti-PEBP2 beta antibody, we can provide it to you in a special formula with trehalose and/or glycerol. These molecules will not interfere with conjugation chemistry and provide a good level of protection for the antibody from degradation. Please be sure to specify this in your purchase order.
Boster Scientific Support
Answered: 2019-07-30
Question
We want to test anti-PEBP2 beta antibody A01007 on human brain for research purposes, then I may be interested in using anti-PEBP2 beta antibody A01007 for diagnostic purposes as well. Is the antibody suitable for diagnostic purposes?
Verified Customer
Verified customer
Asked: 2017-10-18
Answer
The products we sell, including anti-PEBP2 beta antibody A01007, are only intended for research use. They would not be suitable for use in diagnostic work. If you have the means to develop a product into diagnostic use, and are interested in collaborating with us and develop our product into an IVD product, please contact us for more discussions.
Boster Scientific Support
Answered: 2017-10-18
Question
Thank you for helping with my inquiry over the phone. Here are the WB image, lot number and protocol we used for brain using anti-PEBP2 beta antibody A01007. Let me know if you need anything else.
W. Singh
Verified customer
Asked: 2015-09-16
Answer
Thanks for the data. You have provided everything we needed. Our lab team are working to resolve your inquiry as quickly as possible, and we appreciate your patience and understanding! Please let me know if there is anything you need in the meantime.
Boster Scientific Support
Answered: 2015-09-16

