Product Info Summary
| SKU: | A32388S29 |
|---|---|
| Size: | 100ul |
| Reactive Species: | Human, Mouse, Rat |
| Host: | Rabbit |
| Application: | ELISA, IF, IHC, WB |
Customers Who Bought This Also Bought
Product info
Product Name
Anti-Phospho-GRK 2 (S29) Antibody
SKU/Catalog Number
A32388S29
Size
100ul
Form
Liquid
Description
Boster Bio Anti-Phospho-GRK 2 (S29) Antibody catalog # A32388S29. Tested in WB, IHC, IF, ELISA applications. This antibody reacts with Human, Mouse, Rat.
Storage & Handling
Store at -20°C for one year. For short term storage and frequent use, store at 4°C for up to one month. Avoid repeated freeze-thaw cycles.
Cite This Product
Anti-Phospho-GRK 2 (S29) Antibody (Boster Biological Technology, Pleasanton CA, USA, Catalog # A32388S29)
Host
Rabbit
Contents
Liquid in PBS containing 50% glycerol, 0.5% stabilizing protein and 0.02% sodium azide.
This antibody is supplied in a stabilized formulation.
Compatibility with conjugation reactions depends on the chemistry of the conjugation method used.
For conjugation methods that are not compatible with the stabilizing components present in this formulation, a carrier-free antibody format is required.
Clonality
Polyclonal
Isotype
IgG
Immunogen
The antiserum was produced against synthesized peptide derived from human GRK2 around the phosphorylation site of Ser29. AA range:14-63
Reactive Species
A32388S29 is reactive to GRK2 in Human, Mouse, Rat
Calculated molecular weight
79.6 kDa
Antibody Validation
Boster validates all antibodies on WB, IHC, ICC, Immunofluorescence, and ELISA with known positive control and negative samples to ensure specificity and high affinity, including thorough antibody incubations.
Application & Images
Applications
A32388S29 is guaranteed for ELISA, IF, IHC, WB Boster Guarantee
Assay Dilutions Recommendation
The recommendations below provide a starting point for assay optimization. The actual working concentration varies and should be decided by the user.
WB 1:500-1:2000
IHC 1:100-1:300
ELISA 1:10000
IF 1:50-200
Validation Images & Assay Conditions
Click image to see more details
Western blot analysis of lysates from Jurkat cells treated with EGF 200ng/ml 30', using GRK2 (Phospho-Ser29) Antibody. The lane on the right is blocked with the phospho peptide.
Click image to see more details
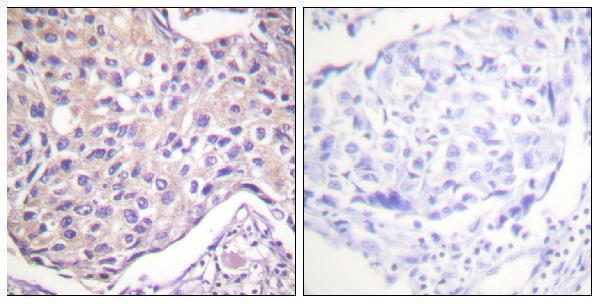
Immunohistochemistry analysis of paraffin-embedded human breast carcinoma, using GRK2 (Phospho-Ser29) Antibody. The picture on the right is blocked with the phospho peptide.
Click image to see more details
Enzyme-Linked Immunosorbent Assay (Phospho-ELISA) for Immunogen Phosphopeptide (Phospho-left) and Non-Phosphopeptide (Phospho-right), using GRK2 (Phospho-Ser29) Antibody
Specific Publications For Anti-Phospho-GRK 2 (S29) Antibody (A32388S29)
Loading publications
Recommended Resources
Here are featured tools and databases that you might find useful.
- Boster's Pathways Library
- Protein Databases
- Bioscience Research Protocol Resources
- Data Processing & Analysis Software
- Photo Editing Software
- Scientific Literature Resources
- Research Paper Management Tools
- Molecular Biology Software
- Primer Design Tools
- Bioinformatics Tools
- Phylogenetic Tree Analysis
Customer Reviews
Have you used Anti-Phospho-GRK 2 (S29) Antibody?
Share your experimental results or join a short interview to earn up to $1,000 in product credits or other rewards.
0 Reviews For Anti-Phospho-GRK 2 (S29) Antibody
Customer Q&As
Have a question?
Find answers in Q&As, reviews.
Can't find your answer?
Submit your question

