Product Info Summary
| SKU: | A00217S334 |
|---|---|
| Size: | 100ul |
| Reactive Species: | Human, Mouse |
| Host: | Rabbit |
| Application: | ELISA, IF, IHC |
Customers Who Bought This Also Bought
Product info
Product Name
Anti-Phospho-LKB1 (S334) STK11 Antibody
SKU/Catalog Number
A00217S334
Size
100ul
Form
Liquid
Description
Boster Bio Anti-Phospho-LKB1 (S334) STK11 Antibody catalog # A00217S334. Tested in IHC, IF, ELISA applications. This antibody reacts with Human, Mouse.
Storage & Handling
Store at -20°C for one year. For short term storage and frequent use, store at 4°C for up to one month. Avoid repeated freeze-thaw cycles.
Cite This Product
Anti-Phospho-LKB1 (S334) STK11 Antibody (Boster Biological Technology, Pleasanton CA, USA, Catalog # A00217S334)
Host
Rabbit
Contents
Liquid in PBS containing 50% glycerol, 0.5% stabilizing protein and 0.02% sodium azide.
*This antibody is supplied in a stabilized formulation.
Compatibility with conjugation reactions depends on the chemistry of the conjugation method used.
For conjugation methods that are not compatible with the stabilizing components present in this formulation, a carrier-free antibody format is required.
Clonality
Polyclonal
Isotype
IgG
Immunogen
The antiserum was produced against synthesized peptide derived from human LKB1 around the phosphorylation site of Ser334. AA range:300-349
Cross-reactivity
No cross reactivity with other proteins.
Reactive Species
A00217S334 is reactive to STK11 in Human, Mouse
Calculated molecular weight
48.6 kDa
Antibody Validation
Boster validates all antibodies on WB, IHC, ICC, Immunofluorescence, and ELISA with known positive control and negative samples to ensure specificity and high affinity, including thorough antibody incubations.
Application & Images
Applications
A00217S334 is guaranteed for ELISA, IF, IHC Boster Guarantee
Assay Dilutions Recommendation
The recommendations below provide a starting point for assay optimization. The actual working concentration varies and should be decided by the user.
IHC 1:100-1:300
ELISA 1:10000
IF 1:50-200
Validation Images & Assay Conditions
Click image to see more details
Western Blot analysis of COS cell lysis treated by UV. Primary Antibody was diluted at 1:1000. Secondary antibody was diluted at 1:10000
Click image to see more details
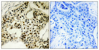
Immunohistochemical analysis of paraffin-embedded Human breast cancer. Antibody was diluted at 1:100 (4° overnight). High-pressure and temperature Tris-EDTA, pH8.0 was used for antigen retrieval. Negetive contrl (right) obtaned from antibody was pre-absorbed by immunogen peptide.
Click image to see more details
Enzyme-Linked Immunosorbent Assay (Phospho-ELISA) for Immunogen Phosphopeptide (Phospho-left) and Non-Phosphopeptide (Phospho-right), using LKB1 (Phospho-Ser334) Antibody
Specific Publications For Anti-Phospho-LKB1 (S334) STK11 Antibody (A00217S334)
Loading publications
Recommended Resources
Here are featured tools and databases that you might find useful.
- Boster's Pathways Library
- Protein Databases
- Bioscience Research Protocol Resources
- Data Processing & Analysis Software
- Photo Editing Software
- Scientific Literature Resources
- Research Paper Management Tools
- Molecular Biology Software
- Primer Design Tools
- Bioinformatics Tools
- Phylogenetic Tree Analysis
Customer Reviews
Have you used Anti-Phospho-LKB1 (S334) STK11 Antibody?
Share your experimental results or join a short interview to earn up to $1,000 in product credits or other rewards.
0 Reviews For Anti-Phospho-LKB1 (S334) STK11 Antibody
Customer Q&As
Have a question?
Find answers in Q&As, reviews.
Can't find your answer?
Submit your question

