This website uses cookies to ensure you get the best experience on our website.
- Table of Contents
3 Citations
Facts about Histone deacetylase 2.
Histone deacetylases act via the formation of large multiprotein complexes. Types transcriptional repressor complexes by associating with MAD, SIN3, YY1 and N-COR.
| Human | |
|---|---|
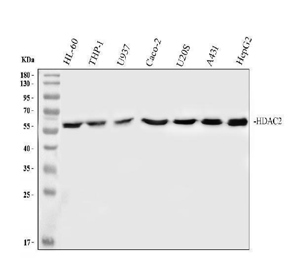
| Gene Name: | HDAC2 |
| Uniprot: | Q92769 |
| Entrez: | 3066 |

| Belongs to: |
|---|
| histone deacetylase family |

EC 3.5.1.98; HD2; HDAC2; Histone Deacetylase 2; RPD3; transcriptional regulator homolog RPD3; YAF1; YY1-associated factor 1
Mass (kDA):
55.364 kDA

| Human | |
|---|---|
| Location: | 6q21 |
| Sequence: | 6; NC_000006.12 (113933028..113971148, complement) |
Widely expressed; lower levels in brain and lung.
Nucleus. Cytoplasm.






PMID: 8917507 by Yang W.-M., et al. Transcriptional repression by YY1 is mediated by interaction with a mammalian homolog of the yeast global regulator RPD3.
PMID: 10545197 by Schmidt D.R., et al. Molecular association between ATR and two components of the nucleosome remodeling and deacetylating complex, HDAC2 and CHD4.
*More publications can be found for each product on its corresponding product page