This website uses cookies to ensure you get the best experience on our website.
- Table of Contents
8 Citations 16 Q&As
3 Citations 16 Q&As
5 Citations
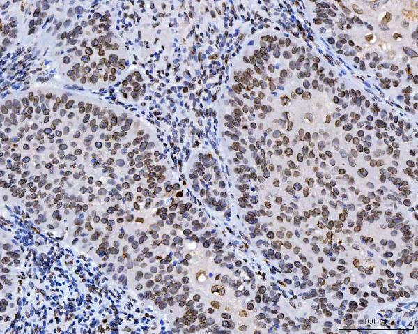
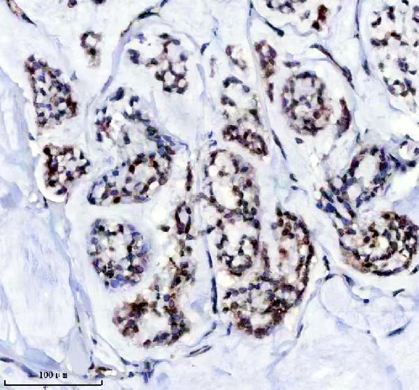
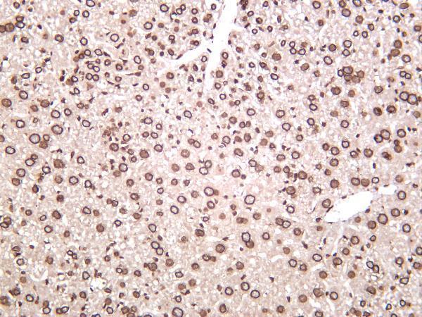
Facts about Prelamin-A/C.
Plays an important role in nuclear assembly, chromatin organization, nuclear membrane and telomere dynamics. Required for normal maturation of peripheral nervous system and skeletal muscle and also for muscle satellite cell proliferation (PubMed:10080180, PubMed:22431096, PubMed:10814726, PubMed:11799477, PubMed:18551513).
| Human | |
|---|---|
| Gene Name: | LMNA |
| Uniprot: | P02545 |
| Entrez: | 4000 |

| Belongs to: |
|---|
| intermediate filament family |

CDCD1; CDDC; CMD1A; CMT2B1; dilated 1A (autosomal dominant); EMD2; FPLD; HGPSFPL; lamin A/C; lamin A/C-like 1; lamin-A/C; LDP1; LFP; LGMD1B; limb girdle muscular dystrophy 1B (autosomal dominant); LMN1IDC; LMNC; LMNL1; prelamin-A/C; PRO1,70 kDa lamin; progeria 1 (Hutchinson-Gilford type); renal carcinoma antigen NY-REN-32
Mass (kDA):
74.139 kDA

| Human | |
|---|---|
| Location: | 1q22 |
| Sequence: | 1; NC_000001.11 (156082546..156140089) |
In the arteries, prelamin-A/C accumulation is not observed in young healthy vessels but is prevalent in medial vascular smooth muscle cells (VSMCs) from aged individuals and in atherosclerotic lesions, where it often colocalizes with senescent and degenerate VSMCs. Prelamin-A/C expression increases with age and disease. In normal aging, the accumulation of prelamin-A/C is caused in part by the down-regulation of ZMPSTE24/FACE1 in response to oxidative stress.
Nucleus. Nucleus envelope. Nucleus lamina. Nucleus, nucleoplasm. Farnesylation of prelamin-A/C facilitates nuclear envelope targeting and subsequent cleavage by ZMPSTE24/FACE1 to remove the farnesyl group produces mature lamin-A/C, which can then be inserted into the nuclear lamina. EMD is required for proper localization of non-farnesylated prelamin-A/C.; [Isoform C]: Nucleus speckle.





PMID: 3453101 by McKeon F.D., et al. Homologies in both primary and secondary structure between nuclear envelope and intermediate filament proteins.
PMID: 3462705 by Fisher D.Z., et al. cDNA sequencing of nuclear lamins A and C reveals primary and secondary structural homology to intermediate filament proteins.
*More publications can be found for each product on its corresponding product page