This website uses cookies to ensure you get the best experience on our website.
- Table of Contents
200 Citations 17 Q&As
14 Citations 16 Q&As
39 Citations 5 Q&As
51 Citations
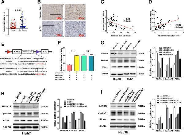
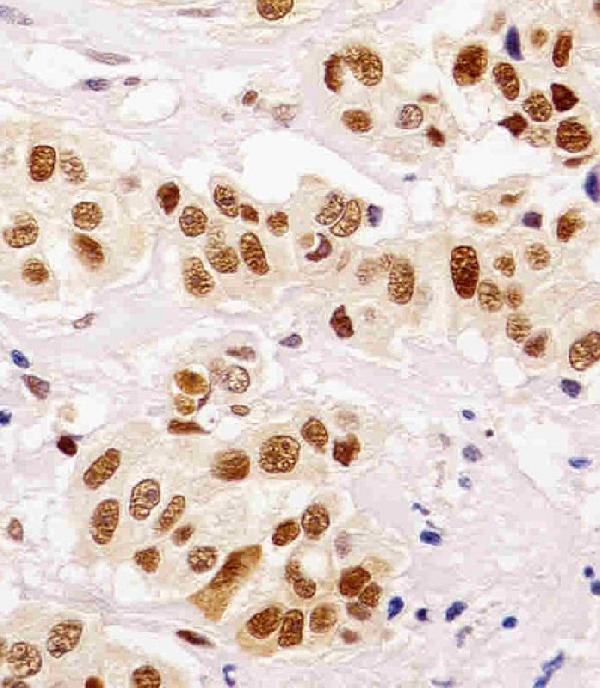
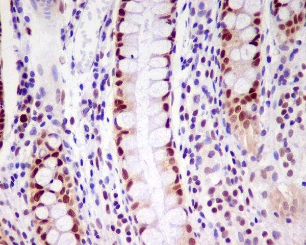
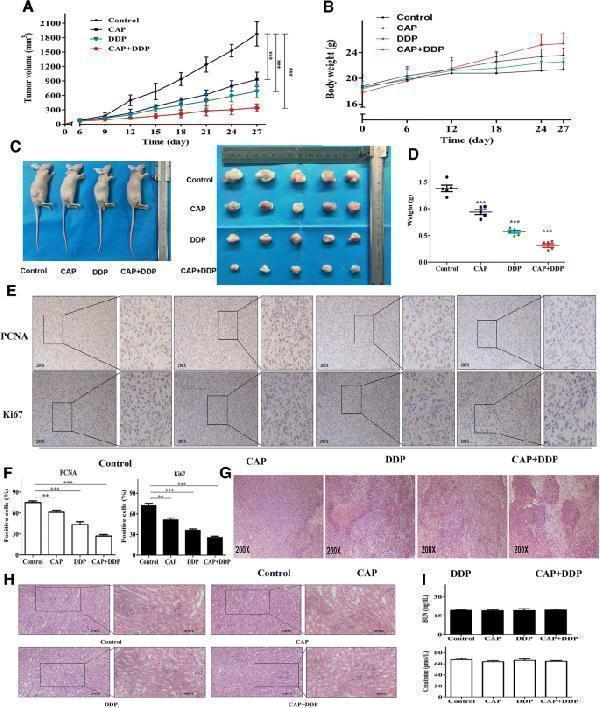
Facts about Proliferating cell nuclear antigen.
Must be loaded onto DNA in order to be able to stimulate APEX2. Plays a vital role in DNA damage response (DDR) by being conveniently positioned in the replication fork to coordinate DNA replication with DNA repair and DNA damage tolerance pathways (PubMed:24939902).
| Human | |
|---|---|
| Gene Name: | PCNA |
| Uniprot: | P12004 |
| Entrez: | 5111 |

| Belongs to: |
|---|
| PCNA family |

cyclin; DNA polymerase delta auxiliary protein; MGC8367; proliferating cell nuclear antigen
Mass (kDA):
28.769 kDA

| Human | |
|---|---|
| Location: | 20p12.3 |
| Sequence: | 20; NC_000020.11 (5114953..5126622, complement) |
Nucleus. Colocalizes with CREBBP, EP300 and POLD1 to sites of DNA damage (PubMed:24939902). Forms nuclear foci representing sites of ongoing DNA replication and vary in morphology and number during S phase. Together with APEX2, is redistributed in discrete nuclear foci in presence of oxidative DNA damaging agents.






PMID: 2882507 by Almendral J.M., et al. Cloning and sequence of the human nuclear protein cyclin: homology with DNA-binding proteins.
PMID: 2565339 by Travali S., et al. Structure of the human gene for the proliferating cell nuclear antigen.
*Showing only the more recent 20. More publications can be found for each product on its corresponding product page