Product Info Summary
| SKU: | M03393-1 |
|---|---|
| Size: | 100ul |
| Reactive Species: | Human, Mouse, Rat |
| Host: | Mouse |
| Application: | IF, IHC |
Customers Who Bought This Also Bought
Product info
Product Name
Anti-CK16 KRT16 Monoclonal Antibody
SKU/Catalog Number
M03393-1
Size
100ul
Form
Liquid
Description
Boster Bio Anti-CK16 KRT16 Monoclonal Antibody catalog # M03393-1. Tested in IHC applications. This antibody reacts with Human, Mouse, Rat.
Storage & Handling
Store at -20°C for one year. For short term storage and frequent use, store at 4°C for up to one month. Avoid repeated freeze-thaw cycles.
Cite This Product
Anti-CK16 KRT16 Monoclonal Antibody (Boster Biological Technology, Pleasanton CA, USA, Catalog # M03393-1)
Host
Mouse
Contents
Liquid in PBS containing 50% glycerol, 0.5% stabilizing protein and 0.02% sodium azide.
This antibody is supplied in a stabilized formulation.
Compatibility with conjugation reactions depends on the chemistry of the conjugation method used.
For conjugation methods that are not compatible with the stabilizing components present in this formulation, a carrier-free antibody format is required.
Clonality
Monoclonal
Clone Number
6F6
Isotype
IgG
Immunogen
Synthetic Peptide of CK16
Cross-reactivity
No cross reactivity with other proteins.
Reactive Species
M03393-1 is reactive to KRT16 in Human, Mouse, Rat
Calculated molecular weight
51.3 kDa
Antibody Validation
Boster validates all antibodies on WB, IHC, ICC, Immunofluorescence, and ELISA with known positive control and negative samples to ensure specificity and high affinity, including thorough antibody incubations.
Application & Images
Applications
M03393-1 is guaranteed for IF, IHC Boster Guarantee
Assay Dilutions Recommendation
The recommendations below provide a starting point for assay optimization. The actual working concentration varies and should be decided by the user.
IHC 1:50-200
IF 1:50-200
Validation Images & Assay Conditions
Click image to see more details
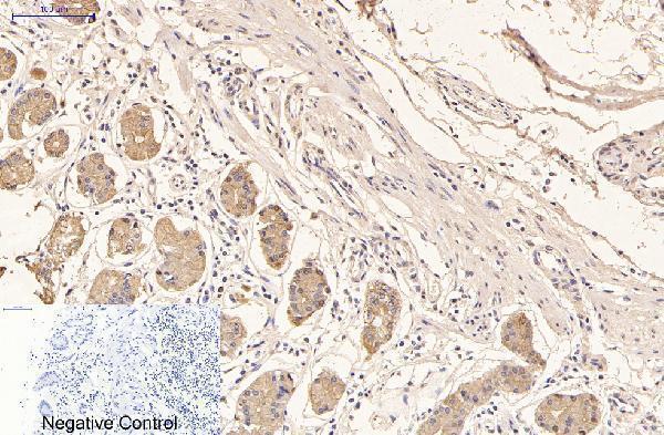
Immunohistochemistry validation of KRT16 using Anti-CK16 KRT16 Monoclonal Antibody (M03393-1).
Immunohistochemistry (IHC) staining of human gullet cancer tissue
Click image to see more details
Immunohistochemistry validation of KRT16 using Anti-CK16 KRT16 Monoclonal Antibody (M03393-1).
Immunohistochemical analysis of human-colon tissue. Anti-CK16 at 1:200 (4°C
Click image to see more details
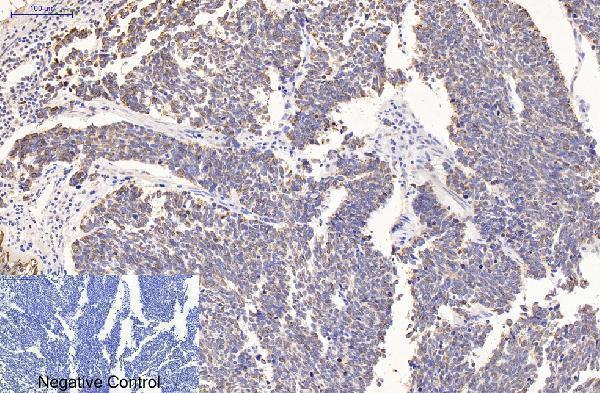
Immunohistochemistry validation of KRT16 using Anti-CK16 KRT16 Monoclonal Antibody (M03393-1).
Immunohistochemical analysis of human liver cancer tissue. Anti-CK16 at 1:200 (4°C
Click image to see more details
Immunohistochemistry validation of KRT16 using Anti-CK16 KRT16 Monoclonal Antibody (M03393-1).
Immunohistochemical analysis of human liver tissue. Anti-CK16 at 1:200 (4°C
Click image to see more details
Immunohistochemistry validation of KRT16 using Anti-CK16 KRT16 Monoclonal Antibody (M03393-1).
Immunohistochemical analysis of human lung cancer tissue. Anti-CK16 at 1:200 (4°C
Click image to see more details
Immunohistochemistry validation of KRT16 using Anti-CK16 KRT16 Monoclonal Antibody (M03393-1).
Immunohistochemical analysis of human lung tissue. Anti-CK16 at 1:200 (4°C
Click image to see more details
Immunohistochemistry validation of KRT16 using Anti-CK16 KRT16 Monoclonal Antibody (M03393-1).
Immunohistochemical analysis of human stomach cancer tissue. Anti-CK16 at 1:200 (4°C
Click image to see more details
Immunohistochemistry validation of KRT16 using Anti-CK16 KRT16 Monoclonal Antibody (M03393-1).
Immunohistochemical analysis of human stomach tissue. M03393-1 was diluted at 1:200 (4°C
Click image to see more details
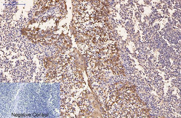
Immunohistochemistry validation of KRT16 using Anti-CK16 KRT16 Monoclonal Antibody (M03393-1).
Immunohistochemical analysis of human tonsil tissue. M03393-1 was diluted at 1:200 (4°C
Click image to see more details
Immunohistochemistry validation of KRT16 using Anti-CK16 KRT16 Monoclonal Antibody (M03393-1).
Immunohistochemical analysis of rat kidney tissue. M03393-1 was diluted at 1:200 (4°C
Click image to see more details
Immunohistochemistry validation of KRT16 using Anti-CK16 KRT16 Monoclonal Antibody (M03393-1).
Immunohistochemical analysis of rat lung tissue. M03393-1 was diluted at 1:200 (4°CSpecific Publications For Anti-CK16 KRT16 Monoclonal Antibody (M03393-1)
Loading publications
Recommended Resources
Here are featured tools and databases that you might find useful.
- Boster's Pathways Library
- Protein Databases
- Bioscience Research Protocol Resources
- Data Processing & Analysis Software
- Photo Editing Software
- Scientific Literature Resources
- Research Paper Management Tools
- Molecular Biology Software
- Primer Design Tools
- Bioinformatics Tools
- Phylogenetic Tree Analysis
Customer Reviews
Have you used Anti-CK16 KRT16 Monoclonal Antibody?
Share your experimental results or join a short interview to earn up to $1,000 in product credits or other rewards.
0 Reviews For Anti-CK16 KRT16 Monoclonal Antibody
Customer Q&As
Have a question?
Find answers in Q&As, reviews.
Can't find your answer?
Submit your question

