Product Info Summary
| SKU: | A00033-4 |
|---|---|
| Size: | 100ul |
| Reactive Species: | Human, Mouse, Rat |
| Host: | Rabbit |
| Application: | IHC |
Customers Who Bought This Also Bought
Product info
Product Name
Anti-Cleaved-Notch 1 (V1754) Antibody
SKU/Catalog Number
A00033-4
Size
100ul
Form
Liquid
Description
Boster Bio Anti-Cleaved-Notch 1 (V1754) Antibody catalog # A00033-4. Tested in IHC applications. This antibody reacts with Human,Mouse,Rat.
Storage & Handling
Store at -20°C for one year. For short term storage and frequent use, store at 4°C for up to one month. Avoid repeated freeze-thaw cycles.
Cite This Product
Anti-Cleaved-Notch 1 (V1754) Antibody (Boster Biological Technology, Pleasanton CA, USA, Catalog # A00033-4)
Host
Rabbit
Contents
Rabbit IgG, 1mg/ml in PBS with 0.02% sodium azide, 50% glycerol, pH7.2
Clonality
Polyclonal
Isotype
IgG
Immunogen
Synthetic peptide, corresponding to amino acids 1700-1800 of Human Notch 1.
Reactive Species
A00033-4 is reactive to NOTCH1 in Human, Mouse, Rat
Calculated molecular weight
272.5 kDa
Antibody Validation
Boster validates all antibodies on WB, IHC, ICC, Immunofluorescence, and ELISA with known positive control and negative samples to ensure specificity and high affinity, including thorough antibody incubations.
Application & Images
Applications
A00033-4 is guaranteed for IHC Boster Guarantee
Assay Dilutions Recommendation
The recommendations below provide a starting point for assay optimization. The actual working concentration varies and should be decided by the user.
IHC: 1:50-1:200
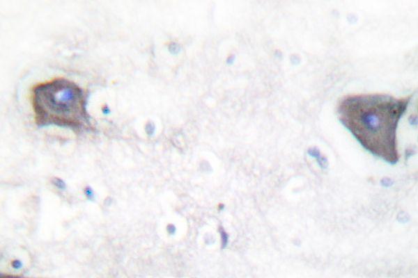
Validation Images & Assay Conditions
Click image to see more details
Immunohistochemistry (IHC) analyzes of Cleaved-Notch 1 (V1754) pAb in paraffin-embedded human brain tissue.
Specific Publications For Anti-Cleaved-Notch 1 (V1754) Antibody (A00033-4)
Loading publications
Recommended Resources
Here are featured tools and databases that you might find useful.
- Boster's Pathways Library
- Protein Databases
- Bioscience Research Protocol Resources
- Data Processing & Analysis Software
- Photo Editing Software
- Scientific Literature Resources
- Research Paper Management Tools
- Molecular Biology Software
- Primer Design Tools
- Bioinformatics Tools
- Phylogenetic Tree Analysis
Customer Reviews
Have you used Anti-Cleaved-Notch 1 (V1754) Antibody?
Share your experimental results or join a short interview to earn up to $1,000 in product credits or other rewards.
0 Reviews For Anti-Cleaved-Notch 1 (V1754) Antibody
Customer Q&As
Have a question?
Find answers in Q&As, reviews.
Can't find your answer?
Submit your question

