Product Info Summary
| SKU: | M05442-1 |
|---|---|
| Size: | 100 μg/vial |
| Reactive Species: | Human, Mouse, Rat |
| Host: | Mouse |
| Application: | Flow Cytometry, IHC, WB |
Customers Who Bought This Also Bought
Product info
Product Name
Anti-COX IV COX4I1 Antibody Picoband® (monoclonal, 4G11)
SKU/Catalog Number
M05442-1
Size
100 μg/vial
Form
Lyophilized
Description
Boster Bio Anti-COX IV COX4I1 Antibody Picoband® (monoclonal, 4G11) catalog # M05442-1. Tested in Flow Cytometry, IHC, WB applications. This antibody reacts with Human, Mouse, Rat. The brand Picoband indicates this is a premium antibody that guarantees superior quality, high affinity, and strong signals with minimal background in Western blot applications. Only our best-performing antibodies are designated as Picoband, ensuring unmatched performance.
Storage & Handling
Store at -20˚C for one year from date of receipt. After reconstitution, at 4˚C for one month. It can also be aliquotted and stored frozen at -20˚C for six months. Avoid repeated freeze-thaw cycles.
Cite This Product
Anti-COX IV COX4I1 Antibody Picoband® (monoclonal, 4G11) (Boster Biological Technology, Pleasanton CA, USA, Catalog # M05442-1)
Host
Mouse
Contents
Each vial contains 4mg Trehalose, 0.9mg NaCl, 0.2mg Na2HPO4, 0.05mg NaN3.
Clonality
Monoclonal
Clone Number
4G11
Isotype
Mouse IgG2b
Immunogen
E. coli-derived human COX IV recombinant protein (Position: Q59-K169).
Cross-reactivity
No cross-reactivity with other proteins.
Reactive Species
M05442-1 is reactive to COX4I1 in Human, Mouse, Rat
Observed Molecular Weight
17 kDa
Calculated molecular weight
19.6 kDa
Background of COX4I1
Cytochrome c oxidase subunit 4 isoform 1, mitochondrial is an enzyme that in humans is encoded by the COX4I1 gene. Cytochrome c oxidase (COX) is the terminal enzyme of the mitochondrial respiratory chain. It is a multi-subunit enzyme complex that couples the transfer of electrons from cytochrome c to molecular oxygen and contributes to a proton electrochemical gradient across the inner mitochondrial membrane. The complex consists of 13 mitochondrial- and nuclear-encoded subunits. The mitochondrially-encoded subunits perform the electron transfer and proton pumping activities. The functions of the nuclear-encoded subunits are unknown but they may play a role in the regulation and assembly of the complex. This gene encodes the nuclear-encoded subunit IV isoform 1 of the human mitochondrial respiratory chain enzyme. It is located at the 3' of the NOC4 (neighbor of COX4) gene in a head-to-head orientation, and shares a promoter with it. Pseudogenes related to this gene are located on chromosomes 13 and 14.
Antibody Validation
Boster validates all antibodies on WB, IHC, ICC, Immunofluorescence, and ELISA with known positive control and negative samples to ensure specificity and high affinity, including thorough antibody incubations.
Application & Images
Applications
M05442-1 is guaranteed for Flow Cytometry, IHC, WB Boster Guarantee
Assay Dilutions Recommendation
The recommendations below provide a starting point for assay optimization. The actual working concentration varies and should be decided by the user.
Western blot, 0.1-0.5μg/ml
Immunohistochemistry (Paraffin-embedded Section), 0.5-1μg/ml
Flow Cytometry (Fixed), 1-3μg/1x106 cells
Positive Control
WB: human HEPG2 whole cell, human A549 whole cell, human HEK293 whole cell, human T47D whole cell, human CACO-2 whole cell, human K562 whole cell, human Hela whole cell, rat brain tissue, mouse brain tissue
IHC: human colon cancer tissue, human lung cancer tissue, human lung cancer tissue
FCM: U937 cell
Validation Images & Assay Conditions
Click image to see more details
Western blot analysis of COX IV using anti-COX IV antibody (M05442-1).
Electrophoresis was performed on a 5-20% SDS-PAGE gel at 70V (Stacking gel) / 90V (Resolving gel) for 2-3 hours. The sample well of each lane was loaded with 50ug of sample under reducing conditions.
Lane 1: human HEPG2 whole cell lysates,
Lane 2: human A549 whole cell lysates,
Lane 3: human HEK293 whole cell lysates,
Lane 4: human T47D whole cell lysates,
Lane 5: human CACO-2 whole cell lysates,
Lane 6: human K562 whole cell lysates,
Lane 7: human Hela whole cell lysates,
Lane 8: rat brain tissue lysates,
Lane 9: mouse brain tissue lysates.
After Electrophoresis, proteins were transferred to a Nitrocellulose membrane at 150mA for 50-90 minutes. Blocked the membrane with 5% Non-fat Milk/ TBS for 1.5 hour at RT. The membrane was incubated with mouse anti-COX IV antigen affinity purified monoclonal antibody (Catalog # M05442-1) at 0.5 μg/mL overnight at 4°C, then washed with TBS-0.1%Tween 3 times with 5 minutes each and probed with a goat anti-mouse IgG-HRP secondary antibody at a dilution of 1:10000 for 1.5 hour at RT. The signal is developed using an Enhanced Chemiluminescent detection (ECL) kit (Catalog # EK1001) with Tanon 5200 system. A specific band was detected for COX IV at approximately 17KD. The expected band size for COX IV is at 17KD.
Click image to see more details
The results of western blot showed that protein expression levels of Cox4I1, Uqcr11, Atp5g1, and Atp5d were significantly lower in the Ctrl group than in the HFHS–POF group. (* p < 0.05 vs. Ctrl group; ** p < 0.01 vs. Ctrl group; t ‐test, n = 3).
Index in PubMed under a CC BY license. PMID: 40979580
Click image to see more details
IHC analysis of COX IV using anti-COX IV antibody (M05442-1).
COX IV was detected in paraffin-embedded section of human colon cancer tissue. Heat mediated antigen retrieval was performed in EDTA buffer (pH8.0, epitope retrieval solution). The tissue section was blocked with 10% goat serum. The tissue section was then incubated with 1μg/ml mouse anti-COX IV Antibody (M05442-1) overnight at 4°C. Biotinylated goat anti-mouse IgG was used as secondary antibody and incubated for 30 minutes at 37°C. The tissue section was developed using Strepavidin-Biotin-Complex (SABC) (Catalog # SA1021) with DAB as the chromogen.
Click image to see more details
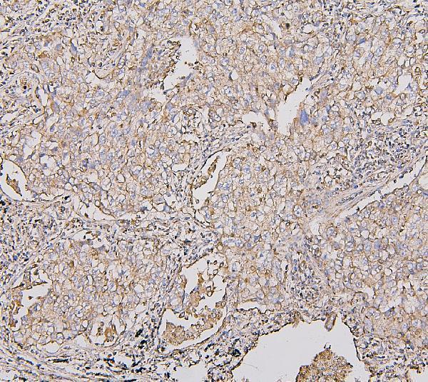
IHC analysis of COX IV using anti-COX IV antibody (M05442-1).
COX IV was detected in paraffin-embedded section of human lung cancer tissue. Heat mediated antigen retrieval was performed in EDTA buffer (pH8.0, epitope retrieval solution). The tissue section was blocked with 10% goat serum. The tissue section was then incubated with 1μg/ml mouse anti-COX IV Antibody (M05442-1) overnight at 4°C. Biotinylated goat anti-mouse IgG was used as secondary antibody and incubated for 30 minutes at 37°C. The tissue section was developed using Strepavidin-Biotin-Complex (SABC) (Catalog # SA1021) with DAB as the chromogen.
Click image to see more details
IHC analysis of COX IV using anti-COX IV antibody (M05442-1).
COX IV was detected in paraffin-embedded section of human lung cancer tissue. Heat mediated antigen retrieval was performed in EDTA buffer (pH8.0, epitope retrieval solution). The tissue section was blocked with 10% goat serum. The tissue section was then incubated with 1μg/ml mouse anti-COX IV Antibody (M05442-1) overnight at 4°C. Biotinylated goat anti-mouse IgG was used as secondary antibody and incubated for 30 minutes at 37°C. The tissue section was developed using Strepavidin-Biotin-Complex (SABC) (Catalog # SA1021) with DAB as the chromogen.
Click image to see more details
Flow Cytometry analysis of U937 cells using anti- COX IV antibody (M05442-1).
Overlay histogram showing U937 cells stained with M05442-1 (Blue line). To facilitate intracellular staining, cells were fixed with 4% paraformaldehyde and permeabilized with permeabilization buffer. The cells were blocked with 10% normal goat serum. And then incubated with mouse anti-COX IV Antibody (M05442-1, 1μg/1x106 cells) for 30 min at 20°C. DyLight®488 conjugated goat anti-mouse IgG (BA1126, 5-10μg/1x106 cells) was used as secondary antibody for 30 minutes at 20°C. Isotype control antibody (Green line) was mouse IgG (1μg/1x106) used under the same conditions. Unlabelled sample without incubation with primary antibody and secondary antibody (Red line) was used as a blank control.
Specific Publications For Anti-COX IV COX4I1 Antibody Picoband® (monoclonal, 4G11) (M05442-1)
Loading publications
Recommended Resources
Here are featured tools and databases that you might find useful.
- Boster's Pathways Library
- Protein Databases
- Bioscience Research Protocol Resources
- Data Processing & Analysis Software
- Photo Editing Software
- Scientific Literature Resources
- Research Paper Management Tools
- Molecular Biology Software
- Primer Design Tools
- Bioinformatics Tools
- Phylogenetic Tree Analysis
Customer Reviews
Have you used Anti-COX IV COX4I1 Antibody Picoband® (monoclonal, 4G11)?
Share your experimental results or join a short interview to earn up to $1,000 in product credits or other rewards.
0 Reviews For Anti-COX IV COX4I1 Antibody Picoband® (monoclonal, 4G11)
Customer Q&As
Have a question?
Find answers in Q&As, reviews.
Can't find your answer?
Submit your question


