Product Info Summary
| SKU: | M03714 |
|---|---|
| Size: | 100 µl |
| Reactive Species: | Human |
| Host: | Mouse |
| Application: | IHC, WB |
Customers Who Bought This Also Bought
Product info
Product Name
Anti-ELF4 Mouse Monoclonal Antibody [Clone ID: OTI2D8]
SKU/Catalog Number
M03714
Size
100 µl
Description
Boster Bio ELF4 mouse monoclonal antibody,clone OTI2D8. Catalog# M03714. Tested in IHC, WB. This antibody reacts with Human.
Storage & Handling
Store at -20°C as received.
Cite This Product
Anti-ELF4 Mouse Monoclonal Antibody [Clone ID: OTI2D8] (Boster Biological Technology, Pleasanton CA, USA, Catalog # M03714)
Host
Mouse
Contents
PBS (pH 7.3) containing 1% stabilizing protein, 50% glycerol and 0.02% sodium azide.
This antibody is supplied in a stabilized formulation.
Compatibility with conjugation reactions depends on the chemistry of the conjugation method used.
For conjugation methods that are not compatible with the stabilizing components present in this formulation, a carrier-free antibody format is required.
Clonality
Monoclonal
Clone Number
OTI2D8
Isotype
IgG2a
Immunogen
Human recombinant protein fragment corresponding to amino acids 83-345 of human ELF4 (NP_001412) produced in E.coli.
Reactive Species
M03714 is reactive to ELF4 in Human
Observed Molecular Weight
70.5 kDa
Calculated molecular weight
70.7 kDa
Antibody Validation
Boster validates all antibodies on WB, IHC, ICC, Immunofluorescence, and ELISA with known positive control and negative samples to ensure specificity and high affinity, including thorough antibody incubations.
Application & Images
Applications
M03714 is guaranteed for IHC, WB Boster Guarantee
Assay Dilutions Recommendation
The recommendations below provide a starting point for assay optimization. The actual working concentration varies and should be decided by the user.
WB: 1:500~2000
IHC: 1:500
Validation Images & Assay Conditions
Click image to see more details
HEK293T cells were transfected with the pCMV6-ENTRY control (Left lane) or pCMV6-ENTRY ELF4 (Right lane) cDNA for 48 hrs and lysed. Equivalent amounts of cell lysates (5 ug per lane) were separated by SDS-PAGE and immunoblotted with anti-ELF4 (1:2000).
Click image to see more details
Western blot analysis of extracts (35ug) from 3 different cell lines and mouse spleen tissue lysate by using anti-ELF4 monoclonal antibody (1:500).
Click image to see more details
IHC analysis of ELF4 using anti-ELF4 antibody (M03714).
ELF4 was detected in a paraffin-embedded section of human spleen tissue. Heat mediated antigen retrieval was performed in EDTA buffer (pH 8.0, epitope retrieval solution). The tissue section was blocked with 10% goat serum. The tissue section was then incubated with 1:500 mouse anti-ELF4 Antibody (M03714) overnight at 4°C. Peroxidase Conjugated Goat Anti-mouse IgG was used as secondary antibody and incubated for 30 minutes at 37°C. The tissue section was developed using HRP Conjugated Mouse IgG Super Vision Assay Kit (Catalog # SV0001) with DAB as the chromogen.
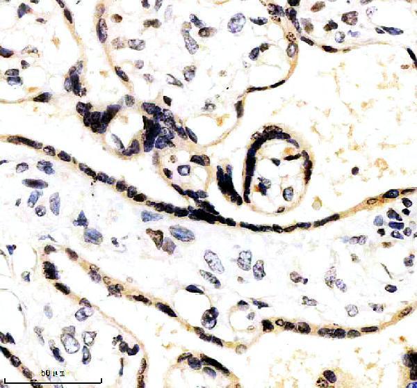
Click image to see more details
IHC analysis of ELF4 using anti-ELF4 antibody (M03714).
ELF4 was detected in a paraffin-embedded section of human placenta tissue. Heat mediated antigen retrieval was performed in EDTA buffer (pH 8.0, epitope retrieval solution). The tissue section was blocked with 10% goat serum. The tissue section was then incubated with 1:500 mouse anti-ELF4 Antibody (M03714) overnight at 4°C. Peroxidase Conjugated Goat Anti-mouse IgG was used as secondary antibody and incubated for 30 minutes at 37°C. The tissue section was developed using HRP Conjugated Mouse IgG Super Vision Assay Kit (Catalog # SV0001) with DAB as the chromogen.
Specific Publications For Anti-ELF4 Mouse Monoclonal Antibody [Clone ID: OTI2D8] (M03714)
Loading publications
Recommended Resources
Here are featured tools and databases that you might find useful.
- Boster's Pathways Library
- Protein Databases
- Bioscience Research Protocol Resources
- Data Processing & Analysis Software
- Photo Editing Software
- Scientific Literature Resources
- Research Paper Management Tools
- Molecular Biology Software
- Primer Design Tools
- Bioinformatics Tools
- Phylogenetic Tree Analysis
Customer Reviews
Have you used Anti-ELF4 Mouse Monoclonal Antibody [Clone ID: OTI2D8]?
Share your experimental results or join a short interview to earn up to $1,000 in product credits or other rewards.
0 Reviews For Anti-ELF4 Mouse Monoclonal Antibody [Clone ID: OTI2D8]
Customer Q&As
Have a question?
Find answers in Q&As, reviews.
Can't find your answer?
Submit your question

