Product Info Summary
| SKU: | M00527-1 |
|---|---|
| Size: | 100 µl |
| Reactive Species: | Human, Mouse, Rat |
| Host: | Mouse |
| Application: | IHC, WB |
Customers Who Bought This Also Bought
Product info
Product Name
Anti-GLI1 Mouse Monoclonal Antibody [Clone ID: OTI4E2]
SKU/Catalog Number
M00527-1
Size
100 µl
Description
Boster Bio GLI1 mouse monoclonal antibody, clone OTI4E2 (formerly 4E2). Catalog# M00527-1. Tested in IHC, WB. This antibody reacts with Human, Mouse, Rat.
Storage & Handling
Store at -20°C for one year. For short term storage and frequent use, store at 4°C for up to one month. Avoid repeated freeze-thaw cycles.
Cite This Product
Anti-GLI1 Mouse Monoclonal Antibody [Clone ID: OTI4E2] (Boster Biological Technology, Pleasanton CA, USA, Catalog # M00527-1)
Host
Mouse
Contents
PBS (pH 7.3) containing 1% stabilizing protein, 50% glycerol and 0.02% sodium azide.
This antibody is supplied in a stabilized formulation.
Compatibility with conjugation reactions depends on the chemistry of the conjugation method used.
For conjugation methods that are not compatible with the stabilizing components present in this formulation, a carrier-free antibody format is required.
Clonality
Monoclonal
Clone Number
OTI4E2
Isotype
IgG1
Immunogen
Human recombinant protein fragment corresponding to amino acids 755-1106 of human GLI1 (NP_005260) produced in E.coli.
Reactive Species
M00527-1 is reactive to GLI1 in Human, Mouse, Rat
Calculated molecular weight
117.9 kDa
Antibody Validation
Boster validates all antibodies on WB, IHC, ICC, Immunofluorescence, and ELISA with known positive control and negative samples to ensure specificity and high affinity, including thorough antibody incubations.
Application & Images
Applications
M00527-1 is guaranteed for IHC, WB Boster Guarantee
Assay Dilutions Recommendation
The recommendations below provide a starting point for assay optimization. The actual working concentration varies and should be decided by the user.
WB 1:2000
IHC 1:150
Validation Images & Assay Conditions
Click image to see more details
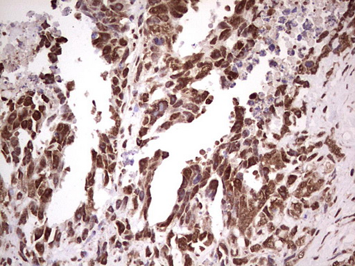
Immunohistochemical staining of paraffin-embedded Human testicular cancer tissue using anti-GLI1 mouse monoclonal antibody. (Heat-induced epitope retrieval by 1 mM EDTA in 10mM Tris
Click image to see more details
Immunohistochemical staining of paraffin-embedded Human placenta tissue using anti-GLI1 mouse monoclonal antibody. (Heat-induced epitope retrieval by 1 mM EDTA in 10mM Tris
Click image to see more details
Immunohistochemical staining of paraffin-embedded Human skin tissue using anti-GLI1 mouse monoclonal antibody. (Heat-induced epitope retrieval by 1 mM EDTA in 10mM Tris
Click image to see more details
Immunohistochemical staining of paraffin-embedded Human adult heart tissue using anti-GLI1 mouse monoclonal antibody. (Heat-induced epitope retrieval by 1 mM EDTA in 10mM Tris
Click image to see more details
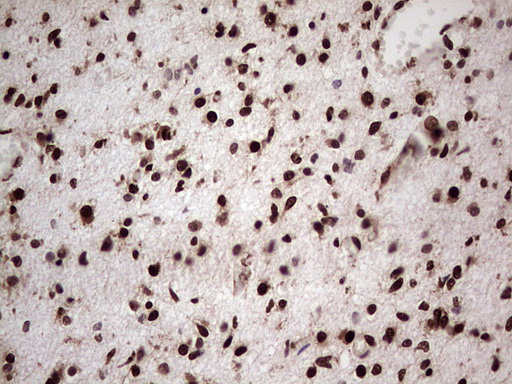
Immunohistochemical staining of paraffin-embedded Human adult brain tissue using anti-GLI1 mouse monoclonal antibody. (Heat-induced epitope retrieval by 1 mM EDTA in 10mM Tris
Click image to see more details
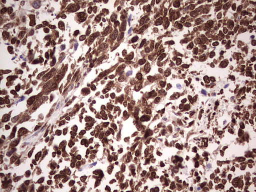
Immunohistochemical staining of paraffin-embedded Human melanoma tissue using anti-GLI1 mouse monoclonal antibody. (Heat-induced epitope retrieval by 1 mM EDTA in 10mM Tris
Click image to see more details
Immunohistochemical staining of paraffin-embedded Human embryonic liver tissue using anti-GLI1 mouse monoclonal antibody. (Heat-induced epitope retrieval by 1 mM EDTA in 10mM Tris
Click image to see more details
Immunohistochemical staining of paraffin-embedded Human muscle tissue using anti-GLI1 mouse monoclonal antibody. (Heat-induced epitope retrieval by 1 mM EDTA in 10mM Tris
Click image to see more details
Immunohistochemical staining of paraffin-embedded Human embryonic brain cortex tissue using anti-GLI1 mouse monoclonal antibody. (Heat-induced epitope retrieval by 1 mM EDTA in 10mM Tris
Click image to see more details
Immunohistochemical staining of paraffin-embedded Human embryonic cerebellum using anti-GLI1 mouse monoclonal antibody. (Heat-induced epitope retrieval by 1 mM EDTA in 10mM Tris
Click image to see more details
HEK293T cells were transfected with the pCMV6-ENTRY control (Left lane) or pCMV6-ENTRY GLI1 (Right lane) cDNA for 48 hrs and lysed. Equivalent amounts of cell lysates (5 ug per lane) were separated by SDS-PAGE and immunoblotted with anti-GLI1.
Specific Publications For Anti-GLI1 Mouse Monoclonal Antibody [Clone ID: OTI4E2] (M00527-1)
Loading publications
Recommended Resources
Here are featured tools and databases that you might find useful.
- Boster's Pathways Library
- Protein Databases
- Bioscience Research Protocol Resources
- Data Processing & Analysis Software
- Photo Editing Software
- Scientific Literature Resources
- Research Paper Management Tools
- Molecular Biology Software
- Primer Design Tools
- Bioinformatics Tools
- Phylogenetic Tree Analysis
Customer Reviews
Have you used Anti-GLI1 Mouse Monoclonal Antibody [Clone ID: OTI4E2]?
Share your experimental results or join a short interview to earn up to $1,000 in product credits or other rewards.
0 Reviews For Anti-GLI1 Mouse Monoclonal Antibody [Clone ID: OTI4E2]
Customer Q&As
Have a question?
Find answers in Q&As, reviews.
Can't find your answer?
Submit your question

