Product Info Summary
| SKU: | M00441 |
|---|---|
| Size: | 100 µl |
| Reactive Species: | Human, Mouse, Rat |
| Host: | Mouse |
| Application: | IF, IHC, WB |
Customers Who Bought This Also Bought
Product info
Product Name
Anti-PTCH1 Mouse Monoclonal Antibody [Clone ID: OTI5C7]
SKU/Catalog Number
M00441
Size
100 µl
Description
Boster Bio Patched1 (Patched) mouse monoclonal antibody, clone OTI5C7 (formerly 5C7). Catalog# M00441. Tested in IF, IHC, WB. This antibody reacts with Human, Mouse, Rat.
Storage & Handling
Store at -20°C as received.
Cite This Product
Anti-PTCH1 Mouse Monoclonal Antibody [Clone ID: OTI5C7] (Boster Biological Technology, Pleasanton CA, USA, Catalog # M00441)
Host
Mouse
Contents
PBS (pH 7.3) containing 1% stabilizing protein, 50% glycerol and 0.02% sodium azide.
This antibody is supplied in a stabilized formulation.
Compatibility with conjugation reactions depends on the chemistry of the conjugation method used.
For conjugation methods that are not compatible with the stabilizing components present in this formulation, a carrier-free antibody format is required.
Clonality
Monoclonal
Clone Number
OTI5C7
Isotype
IgG2b
Immunogen
Human recombinant protein fragment corresponding to amino acids 122-436 of human PTCH1 (NP_000255) produced in E.coli.
Reactive Species
M00441 is reactive to PTCH1 in Human, Mouse, Rat
Calculated molecular weight
160.5 kDa
Antibody Validation
Boster validates all antibodies on WB, IHC, ICC, Immunofluorescence, and ELISA with known positive control and negative samples to ensure specificity and high affinity, including thorough antibody incubations.
Application & Images
Applications
M00441 is guaranteed for IF, IHC, WB Boster Guarantee
Assay Dilutions Recommendation
The recommendations below provide a starting point for assay optimization. The actual working concentration varies and should be decided by the user.
WB 1:500
IHC 1:50
IF 1:100
Validation Images & Assay Conditions
Click image to see more details
HEK293T cells were transfected with the pCMV6-ENTRY control (Left lane) or pCMV6-ENTRY PTCH1 (Right lane) cDNA for 48 hrs and lysed. Equivalent amounts of cell lysates (5 ug per lane) were separated by SDS-PAGE and immunoblotted with anti-PTCH1.
Click image to see more details
Immunohistochemical staining of paraffin-embedded Carcinoma of Human lung tissue using anti-PTCH1 mouse monoclonal antibody. (Heat-induced epitope retrieval by 10mM citric buffer
Click image to see more details
Immunohistochemical staining of paraffin-embedded Adenocarcinoma of Human ovary tissue using anti-PTCH1 mouse monoclonal antibody. (Heat-induced epitope retrieval by 10mM citric buffer
Click image to see more details
Immunohistochemical staining of paraffin-embedded Human pancreas tissue within the normal limits using anti-PTCH1 mouse monoclonal antibody. (Heat-induced epitope retrieval by 10mM citric buffer
Click image to see more details
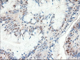
Immunohistochemical staining of paraffin-embedded Carcinoma of Human pancreas tissue using anti-PTCH1 mouse monoclonal antibody. (Heat-induced epitope retrieval by 10mM citric buffer
Click image to see more details
Immunohistochemical staining of paraffin-embedded Carcinoma of Human thyroid tissue using anti-PTCH1 mouse monoclonal antibody. (Heat-induced epitope retrieval by 10mM citric buffer
Click image to see more details
Immunohistochemical staining of paraffin-embedded Human endometrium tissue within the normal limits using anti-PTCH1 mouse monoclonal antibody. (Heat-induced epitope retrieval by 10mM citric buffer
Click image to see more details
Immunohistochemical staining of paraffin-embedded Adenocarcinoma of Human endometrium tissue using anti-PTCH1 mouse monoclonal antibody. (Heat-induced epitope retrieval by 10mM citric buffer
Click image to see more details
Immunohistochemical staining of paraffin-embedded Adenocarcinoma of Human colon tissue using anti-PTCH1 mouse monoclonal antibody. (Heat-induced epitope retrieval by 10mM citric buffer
Click image to see more details
Immunohistochemical staining of paraffin-embedded Human Kidney tissue within the normal limits using anti-PTCH1 mouse monoclonal antibody. (Heat-induced epitope retrieval by 10mM citric buffer
Click image to see more details
Immunohistochemical staining of paraffin-embedded Carcinoma of Human liver tissue using anti-PTCH1 mouse monoclonal antibody. (Heat-induced epitope retrieval by 10mM citric buffer
Click image to see more details
Anti-PTCH1 mouse monoclonal antibody (M00441) immunofluorescent staining of COS7 cells transiently transfected by pCMV6-ENTRY PTCH1.
Specific Publications For Anti-PTCH1 Mouse Monoclonal Antibody [Clone ID: OTI5C7] (M00441)
Loading publications
Recommended Resources
Here are featured tools and databases that you might find useful.
- Boster's Pathways Library
- Protein Databases
- Bioscience Research Protocol Resources
- Data Processing & Analysis Software
- Photo Editing Software
- Scientific Literature Resources
- Research Paper Management Tools
- Molecular Biology Software
- Primer Design Tools
- Bioinformatics Tools
- Phylogenetic Tree Analysis
Customer Reviews
Have you used Anti-PTCH1 Mouse Monoclonal Antibody [Clone ID: OTI5C7]?
Share your experimental results or join a short interview to earn up to $1,000 in product credits or other rewards.
0 Reviews For Anti-PTCH1 Mouse Monoclonal Antibody [Clone ID: OTI5C7]
Customer Q&As
Have a question?
Find answers in Q&As, reviews.
Can't find your answer?
Submit your question

