Product Info Summary
| SKU: | M01702 |
|---|---|
| Size: | 100 µl |
| Reactive Species: | Human |
| Host: | Mouse |
| Application: | IHC, WB |
Customers Who Bought This Also Bought
Product info
Product Name
Anti-MGP Mouse Monoclonal Antibody [Clone ID: OTI11G6]
SKU/Catalog Number
M01702
Size
100 µl
Description
Boster Bio MGP mouse monoclonal antibody, clone OTI11G6 (formerly 11G6). Catalog# M01702. Tested in IHC, WB. This antibody reacts with Human.
Storage & Handling
Store at -20°C as received.
Cite This Product
Anti-MGP Mouse Monoclonal Antibody [Clone ID: OTI11G6] (Boster Biological Technology, Pleasanton CA, USA, Catalog # M01702)
Host
Mouse
Contents
PBS (pH 7.3) containing 1% stabilizing protein, 50% glycerol and 0.02% sodium azide.
This antibody is supplied in a stabilized formulation.
Compatibility with conjugation reactions depends on the chemistry of the conjugation method used.
For conjugation methods that are not compatible with the stabilizing components present in this formulation, a carrier-free antibody format is required.
Clonality
Monoclonal
Clone Number
OTI11G6
Isotype
IgG2a
Immunogen
Full length human recombinant protein of human MGP (NP_000891) produced in E.coli.
Reactive Species
M01702 is reactive to MGP in Human
Calculated molecular weight
12.4 kDa
Antibody Validation
Boster validates all antibodies on WB, IHC, ICC, Immunofluorescence, and ELISA with known positive control and negative samples to ensure specificity and high affinity, including thorough antibody incubations.
Application & Images
Applications
M01702 is guaranteed for IHC, WB Boster Guarantee
Assay Dilutions Recommendation
The recommendations below provide a starting point for assay optimization. The actual working concentration varies and should be decided by the user.
WB 1:2000
Validation Images & Assay Conditions
Click image to see more details
HEK293T cells were transfected with the pCMV6-ENTRY control (Left lane) or pCMV6-ENTRY MGP (Right lane) cDNA for 48 hrs and lysed. Equivalent amounts of cell lysates (5 ug per lane) were separated by SDS-PAGE and immunoblotted with anti-MGP.
Click image to see more details
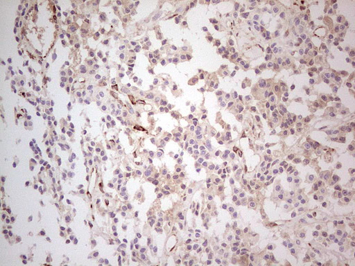
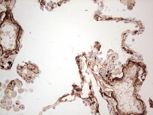
Immunohistochemical staining of paraffin-embedded Carcinoma of Human lung tissue using anti-MGP mouse monoclonal antibody. (Heat-induced epitope retrieval by Tris-EDTA
Click image to see more details
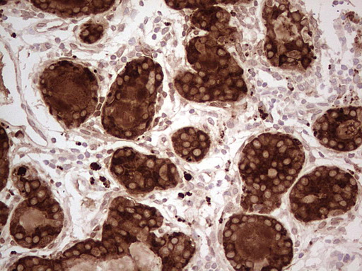
Immunohistochemical staining of paraffin-embedded Human endometrium tissue within the normal limits using anti-MGP mouse monoclonal antibody. (Heat-induced epitope retrieval by Tris-EDTA
Click image to see more details
Immunohistochemical staining of paraffin-embedded Human tonsil within the normal limits using anti-MGP mouse monoclonal antibody. (Heat-induced epitope retrieval by Tris-EDTA
Click image to see more details
Immunohistochemical staining of paraffin-embedded Adenocarcinoma of Human breast tissue using anti-MGP mouse monoclonal antibody. (Heat-induced epitope retrieval by Tris-EDTA
Click image to see more details
Immunohistochemical staining of paraffin-embedded Human lung tissue within the normal limits using anti-MGP mouse monoclonal antibody. (Heat-induced epitope retrieval by Tris-EDTA
Specific Publications For Anti-MGP Mouse Monoclonal Antibody [Clone ID: OTI11G6] (M01702)
Loading publications
Recommended Resources
Here are featured tools and databases that you might find useful.
- Boster's Pathways Library
- Protein Databases
- Bioscience Research Protocol Resources
- Data Processing & Analysis Software
- Photo Editing Software
- Scientific Literature Resources
- Research Paper Management Tools
- Molecular Biology Software
- Primer Design Tools
- Bioinformatics Tools
- Phylogenetic Tree Analysis
Customer Reviews
Have you used Anti-MGP Mouse Monoclonal Antibody [Clone ID: OTI11G6]?
Share your experimental results or join a short interview to earn up to $1,000 in product credits or other rewards.
0 Reviews For Anti-MGP Mouse Monoclonal Antibody [Clone ID: OTI11G6]
Customer Q&As
Have a question?
Find answers in Q&As, reviews.
Can't find your answer?
Submit your question

