Product Info Summary
| SKU: | PB9316 |
|---|---|
| Size: | 100 μg/vial |
| Reactive Species: | Human, Monkey, Mouse, Rat |
| Host: | Rabbit |
| Application: | Flow Cytometry, IF, IHC, ICC, WB |
Customers Who Bought This Also Bought
Product info
Product Name
Anti-Pin1 Antibody Picoband®
SKU/Catalog Number
PB9316
PB0353 is an alternative SKU for this antibody, used in previous lots.
Size
100 μg/vial
Form
Lyophilized
Description
Boster Bio Anti-Pin1 Antibody Picoband® catalog # PB9316. Tested in Flow Cytometry, ICC/IF, IHC, WB applications. This antibody reacts with Human, Monkey, Mouse, Rat. The brand Picoband indicates this is a premium antibody that guarantees superior quality, high affinity, and strong signals with minimal background in Western blot applications. Only our best-performing antibodies are designated as Picoband, ensuring unmatched performance.
Storage & Handling
Store at -20˚C for one year from date of receipt. After reconstitution, at 4˚C for one month. It can also be aliquotted and stored frozen at -20˚C for six months. Avoid repeated freeze-thaw cycles.
Cite This Product
Anti-Pin1 Antibody Picoband® (Boster Biological Technology, Pleasanton CA, USA, Catalog # PB9316)
Host
Rabbit
Contents
Each vial contains 4 mg Trehalose, 0.9 mg NaCl and 0.2 mg Na2HPO4.
Clonality
Polyclonal
Isotype
Rabbit IgG
Immunogen
E.coli-derived human Pin1 recombinant protein (Position: M1-E163). Human Pin1 shares 95% amino acid (aa) sequence identity with mouse Pin1.
Cross-reactivity
No cross-reactivity with other proteins
Reactive Species
PB9316 is reactive to PIN1 in Human, Monkey, Mouse, Rat
Observed Molecular Weight
18 kDa
Calculated molecular weight
18.2 kDa
Background of PIN1
Peptidyl-prolyl cis-trans isomerase NIMA-interacting 1, also called DOD, is an enzyme that in humans is encoded by the PIN1 gene. It is mapped to 19p13.2. The enzyme binds to a subset of proteins and thus plays a role as a post phospho PIN1rol in regulating protein function. Studies have shown that the deregulation of PIN1 may play a pivotal role in various diseases. Notably, the up-regulation of PIN1 may be implicated in certain cancers, and the down-regulation of Pin1 may be implicated in Alzheimer's disease. Inhibitors of PIN1 may have therapeutic implications for cancer and immune disorders. PIN1 activity regulates the outcome of proline-directed kinase (e.g. MAPK, CDK or GSK3) signalling and consequently regulates cell proliferation (in part through control of cyclin D1 levels and stability) and cell survival. PIN1 also has an essential role in maintaining cell proliferation and regulating cyclin D1 function.
Antibody Validation
Boster validates all antibodies on WB, IHC, ICC, Immunofluorescence, and ELISA with known positive control and negative samples to ensure specificity and high affinity, including thorough antibody incubations.
Application & Images
Applications
PB9316 is guaranteed for Flow Cytometry, IF, IHC, ICC, WB Boster Guarantee
Assay Dilutions Recommendation
The recommendations below provide a starting point for assay optimization. The actual working concentration varies and should be decided by the user.
Western blot, 0.1-0.5μg/ml, Human, Monkey, Mouse, Rat
Immunohistochemistry (Paraffin-embedded Section), 2-5μg/ml, Human
Immunocytochemistry/Immunofluorescence, 5 μg/ml, Human
Flow Cytometry (Fixed), 1-3 μg/1x106 cells, Human
Positive Control
WB: human Hela whole cell, human 293T whole cell, human MCF-7 whole cell, monkey COS-7 whole cell, rat brain tissue, rat liver tissue, mouse brain tissue, mouse liver tissue
IHC: human colon cancer tissue
ICC/IF: U87 cell
FCM: CACO-2 cell
Validation Images & Assay Conditions
Click image to see more details
Western blot analysis of PIN1 using anti-PIN1 antibody (PB9316).
Electrophoresis was performed on a 5-20% SDS-PAGE gel at 70V (Stacking gel) / 90V (Resolving gel) for 2-3 hours. The sample well of each lane was loaded with 30 ug of sample under reducing conditions.
Lane 1: human Hela whole cell lysates,
Lane 2: human 293T whole cell lysates,
Lane 3: human MCF-7 whole cell lysates,
Lane 4: monkey COS-7 whole cell lysates,
Lane 5: rat brain tissue lysates,
Lane 6: rat liver tissue lysates,
Lane 7: mouse brain tissue lysates,
Lane 8: mouse liver tissue lysates.
After electrophoresis, proteins were transferred to a nitrocellulose membrane at 150 mA for 50-90 minutes. Blocked the membrane with 5% non-fat milk/TBS for 1.5 hour at RT. The membrane was incubated with rabbit anti-PIN1 antigen affinity purified polyclonal antibody (Catalog # PB9316) at 0.5 μg/mL overnight at 4°C, then washed with TBS-0.1%Tween 3 times with 5 minutes each and probed with a goat anti-rabbit IgG-HRP secondary antibody at a dilution of 1:5000 for 1.5 hour at RT. The signal is developed using an Enhanced Chemiluminescent detection (ECL) kit (Catalog # EK1002) with Tanon 5200 system. A specific band was detected for PIN1 at approximately 18 kDa. The expected band size for PIN1 is at 18 kDa.
Click image to see more details
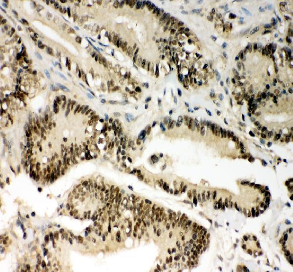
IHC analysis of PIN1 using anti PIN1 antibody (PB9316).
PIN1 was detected in a paraffin-embedded section of human colon cancer tissue. Heat mediated antigen retrieval was performed in EDTA buffer (pH 8.0, epitope retrieval solution). The tissue section was blocked with 10% goat serum. The tissue section was then incubated with 2 μg/ml rabbit anti-PIN1 Antibody (PB9316) overnight at 4°C. Peroxidase Conjugated Goat Anti-rabbit IgG was used as secondary antibody and incubated for 30 minutes at 37°C. The tissue section was developed using HRP Conjugated Rabbit IgG Super Vision Assay Kit (Catalog # SV0002) with DAB as the chromogen.
Click image to see more details
IF analysis of PIN1 using anti-PIN1 antibody (PB9316).
PIN1 was detected in an immunocytochemical section of U87 cells. Enzyme antigen retrieval was performed using IHC enzyme antigen retrieval reagent (AR0022) for 15 mins. The cells were blocked with 10% goat serum. And then incubated with 5 μg/mL rabbit anti-PIN1 Antibody (PB9316) overnight at 4°C. Cy3 Conjugated Goat Anti-Rabbit IgG (BA1032) was used as secondary antibody at 1:500 dilution and incubated for 30 minutes at 37°C. Visualize using a fluorescence microscope and filter sets appropriate for the label used.
Click image to see more details
Flow Cytometry analysis of CACO-2 cells using anti-PIN1 antibody (PB9316).
Overlay histogram showing CACO-2 cells stained with PB9316 (Blue line). To facilitate intracellular staining, cells were fixed with 4% paraformaldehyde and permeabilized with permeabilization buffer. The cells were blocked with 10% normal goat serum. And then incubated with rabbit anti-PIN1 Antibody (PB9316, 1 μg/1x106 cells) for 30 min at 20°C. DyLight®488 conjugated goat anti-rabbit IgG (BA1127, 5-10 μg/1x106 cells) was used as secondary antibody for 30 minutes at 20°C. Isotype control antibody (Green line) was rabbit IgG (1 μg/1x106) used under the same conditions. Unlabelled sample without incubation with primary antibody and secondary antibody (Red line) was used as a blank control.
Specific Publications For Anti-Pin1 Antibody Picoband® (PB9316)
Loading publications
Recommended Resources
Here are featured tools and databases that you might find useful.
- Boster's Pathways Library
- Protein Databases
- Bioscience Research Protocol Resources
- Data Processing & Analysis Software
- Photo Editing Software
- Scientific Literature Resources
- Research Paper Management Tools
- Molecular Biology Software
- Primer Design Tools
- Bioinformatics Tools
- Phylogenetic Tree Analysis
Customer Reviews
Have you used Anti-Pin1 Antibody Picoband®?
Share your experimental results or join a short interview to earn up to $1,000 in product credits or other rewards.
0 Reviews For Anti-Pin1 Antibody Picoband®
Customer Q&As
Have a question?
Find answers in Q&As, reviews.
Can't find your answer?
Submit your question
4 Customer Q&As for Anti-Pin1 Antibody Picoband®
Question
Would anti-Pin1 antibody PB9316 work on bovine WB with embryonic kidney?
J. Johnson
Verified customer
Asked: 2019-08-02
Answer
Our lab technicians have not validated anti-Pin1 antibody PB9316 on bovine. You can run a BLAST between bovine and the immunogen sequence of anti-Pin1 antibody PB9316 to see if they may cross-react. If the sequence homology is close, then you can perform a pilot test. Keep in mind that since we have not validated bovine samples, this use of the antibody is not covered by our guarantee. However we have an innovator award program that if you test this antibody and show it works in bovine embryonic kidney in WB, you can get your next antibody for free.
Boster Scientific Support
Answered: 2019-08-02
Question
I see that the anti-Pin1 antibody PB9316 works with WB, what is the protocol used to produce the result images on the product page?
M. Johnson
Verified customer
Asked: 2017-11-09
Answer
You can find protocols for WB on the "support/technical resources" section of our navigation menu. If you have any further questions, please send an email to support@bosterbio.com
Boster Scientific Support
Answered: 2017-11-09
Question
We are currently using anti-Pin1 antibody PB9316 for human tissue, and we are happy with the WB results. The species of reactivity given in the datasheet says human, mouse, rat. Is it likely that the antibody can work on bovine tissues as well?
Verified Customer
Verified customer
Asked: 2017-06-27
Answer
The anti-Pin1 antibody (PB9316) has not been tested for cross reactivity specifically with bovine tissues, though there is a good chance of cross reactivity. We have an innovator award program that if you test this antibody and show it works in bovine you can get your next antibody for free. Please contact me if I can help you with anything.
Boster Scientific Support
Answered: 2017-06-27
Question
Will anti-Pin1 antibody PB9316 work for WB with embryonic kidney?
P. Krishna
Verified customer
Asked: 2017-03-31
Answer
According to the expression profile of embryonic kidney, PIN1 is highly expressed in embryonic kidney. So, it is likely that anti-Pin1 antibody PB9316 will work for WB with embryonic kidney.
Boster Scientific Support
Answered: 2017-03-31


