Product Info Summary
| SKU: | A01384-1 |
|---|---|
| Size: | 0.1 mg |
| Reactive Species: | Human, Mouse, Rat |
| Host: | Rabbit |
| Application: | ELISA, IF, IHC-P, WB |
Customers Who Bought This Also Bought
Product info
Product Name
Anti-PKR EIF2AK2 Antibody
SKU/Catalog Number
A01384-1
Size
0.1 mg
Form
Liquid
Description
Boster Bio Anti-PKR EIF2AK2 Antibody (Catalog # A01384-1). Tested in ELISA, WB, IHC-P, IF applications. This antibody reacts with Human, Mouse, Rat.
Storage & Handling
PKR antibody can be stored at 4°C for three months and -20°C, stable for up to one year. Avoid repeated freeze-thaw cycles. Antibodies should not be exposed to prolonged high temperatures.
Cite This Product
Anti-PKR EIF2AK2 Antibody (Boster Biological Technology, Pleasanton CA, USA, Catalog # A01384-1)
Host
Rabbit
Contents
PKR Antibody is supplied in PBS containing 0.02% sodium azide.
Clonality
Polyclonal
Isotype
IgG
Immunogen
Anti-PKR antibody was raised against a 14 amino acid synthetic peptide near the carboxy terminus of human PKR. The immunogen is located within the last 50 amino acids of PKR.
Cross-reactivity
At least two different isoforms of PKR are known to exist; this antibody will detect both isoforms.
Reactive Species
A01384-1 is reactive to EIF2AK2 in Human, Mouse, Rat
Observed Molecular Weight
68 kDa
Calculated molecular weight
62.1 kDa
Background of EIF2AK2
The interferon-inducible, double-stranded RNA (dsRNA)-dependent protein kinase PKR is a member of the eukaryotic initiation factor-2 alpha (eIF2-alpha) kinase family, possessing serine-threonine kinase activity and two dsRNA-binding motifs that acts as part of the innate immune system. Upon binding dsRNA, PKR undergoes a conformational change leading to its activation and its phosphorylation of the translation factor eIF2, resulting in a general shutdown of protein synthesis and induction of apoptosis through upregulation of caspase-8 and capsase-9 activity in order to prevent the production of more viruses. To evade the antiviral effects of PKR, viruses have evolved multiple mechanisms, such as the inhibition of PKR by the non-structural protein (NS1) of the influenza virus. More recently, PKR has been implicated in several neurodegenerative diseases including Alzheimer, Huntington, and amyotrophic lateral sclerosis.
Antibody Validation
Boster validates all antibodies on WB, IHC, ICC, Immunofluorescence, and ELISA with known positive control and negative samples to ensure specificity and high affinity, including thorough antibody incubations.
Application & Images
Applications
A01384-1 is guaranteed for ELISA, IF, IHC-P, WB Boster Guarantee
Assay Dilutions Recommendation
The recommendations below provide a starting point for assay optimization. The actual working concentration varies and should be decided by the user.
WB: 1 μg/mL; IF: 20 μg/mL; IHC-P: 2.5-5 μg/mL.
Antibody validated: Western Blot in human and mouse samples; Immunohistochemistry in mouse and rat samples and Immunofluorescence in mouse samples. All other applications and species not yet tested. Optimal dilutions for each application should be determined by the researcher.
Validation Images & Assay Conditions
Click image to see more details
Western Blot Validation of PKR in Human Cell Lines
Loading: 15 μg of lysates per lane.
Antibodies: PKR A01384-1 (1 μg/mL), 1h incubation at RT in 5% NFDM/TBST.
Secondary: Goat anti-rabbit IgG HRP conjugate at 1:10000 dilution.
Click image to see more details
Independent Antibody Validation (IAV) via Protein Expression Profile in Cell Lines
Loading: 15 μg of lysates per lane.
Antibodies: PKR A01384-1 (1 μg/mL), PKR 3949 (1 μg/mL, and beta-actin (1 μg/mL), 1h incubation at RT in 5% NFDM/TBST.
Secondary: Goat anti-rabbit IgG HRP conjugate at 1:10000 dilution.
Click image to see more details
Immunofluorescence Validation of PKR in Mouse Lung
Immunofluorescent analysis of 4% paraformaldehyde-fixed mouse lung tissue labeling PKR with A01384-1 at 20 μg/mL, followed by goat anti-rabbit IgG secondary antibody at 1/500 dilution (red).
Click image to see more details
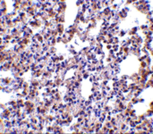
Immunohistochemistry Validation of PKR in Rat Lung
Immunohistochemical analysis of paraffin-embedded rat lung tissue using anti-PKR antibody (A01384-1) at 2.5 μg/ml. Tissue was fixed with formaldehyde and blocked with 10% serum for 1 h at RT; antigen retrieval was by heat mediation with a citrate buffer (pH6). Samples were incubated with primary antibody overnight at 4˚C. A goat anti-rabbit IgG H&L (HRP) at 1/250 was used as secondary. Counter stained with Hematoxylin.
Click image to see more details
Immunofluorescence Validation of PKR in Mouse Lung
Immunofluorescent analysis of 4% paraformaldehyde-fixed mouse lung tissue labeling PKR with A01384-1 at 20 μg/mL, followed by goat anti-rabbit IgG secondary antibody at 1/500 dilution (red) and DAPI staining (blue).
Click image to see more details
Immunohistochemistry Validation of PKR in Mouse Lung
Immunohistochemical analysis of paraffin-embedded mouse lung tissue using anti-PKR antibody (A01384-1) at 5 μg/ml. Tissue was fixed with formaldehyde and blocked with 10% serum for 1 h at RT; antigen retrieval was by heat mediation with a citrate buffer (pH6). Samples were incubated with primary antibody overnight at 4˚C. A goat anti-rabbit IgG H&L (HRP) at 1/250 was used as secondary. Counter stained with Hematoxylin.
Specific Publications For Anti-PKR EIF2AK2 Antibody (A01384-1)
Loading publications
Recommended Resources
Here are featured tools and databases that you might find useful.
- Boster's Pathways Library
- Protein Databases
- Bioscience Research Protocol Resources
- Data Processing & Analysis Software
- Photo Editing Software
- Scientific Literature Resources
- Research Paper Management Tools
- Molecular Biology Software
- Primer Design Tools
- Bioinformatics Tools
- Phylogenetic Tree Analysis
Customer Reviews
Have you used Anti-PKR EIF2AK2 Antibody?
Share your experimental results or join a short interview to earn up to $1,000 in product credits or other rewards.
0 Reviews For Anti-PKR EIF2AK2 Antibody
Customer Q&As
Have a question?
Find answers in Q&As, reviews.
Can't find your answer?
Submit your question

