This website uses cookies to ensure you get the best experience on our website.
- Table of Contents

Facts about Interferon-induced, double-stranded RNA-activated protein kinase.
Inhibits viral replication through phosphorylation of the alpha subunit of eukaryotic initiation factor 2 (EIF2S1), this phosphorylation interrupts the recycling of EIF2S1 between successive rounds of initiation leading to inhibition of translation that eventually results in shutdown of cellular and viral protein synthesis. Also phosphorylates other substrates including p53/TP53, PPP2R5A, DHX9, ILF3, IRS1 and the HHV-1 viral protein US11.
| Human | |
|---|---|
| Gene Name: | EIF2AK2 |
| Uniprot: | P19525 |
| Entrez: | 5610 |

| Belongs to: |
|---|
| protein kinase superfamily |

double stranded RNA activated protein kinase; EC 2.7.11.1; eIF-2A protein kinase 2; EIF2AK1; EIF2AK2; eukaryotic translation initiation factor 2-alpha kinase 2P1/eIF-2A protein kinase; interferon-induced, double-stranded RNA-activated protein kinase; interferon-inducible double stranded RNA dependent; interferon-inducible elF2alpha kinase; Interferon-inducible RNA-dependent protein kinase; P68 Kinase; PKR; PKRp68 kinase; PPP1R83; PRKR; PRKRMGC126524; Protein Kinase R; Protein kinase RNA-activated
Mass (kDA):
62.094 kDA

| Human | |
|---|---|
| Location: | 2p22.2 |
| Sequence: | 2; NC_000002.12 (37099210..37157065, complement) |
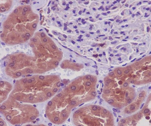
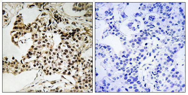
Highly expressed in thymus, spleen and bone marrow compared to non-hematopoietic tissues such as small intestine, liver, or kidney tissues. Colocalizes with GSK3B and TAU in the Alzheimer disease (AD) brain. Elevated levels seen in breast and colon carcinomas,and which correlates with tumor progression and invasiveness or risk of progression.
Cytoplasm. Nucleus. Cytoplasm, perinuclear region. Nuclear localization is elevated in acute leukemia, myelodysplastic syndrome (MDS), melanoma, breast, colon, prostate and lung cancer patient samples or cell lines as well as neurocytes from advanced Creutzfeldt-Jakob disease patients.






PMID: 1695551 by Meurs E., et al. Molecular cloning and characterization of the human double-stranded RNA-activated protein kinase induced by interferon.
PMID: 1373553 by Thomis D.C., et al. Mechanism of interferon action: cDNA structure, expression, and regulation of the interferon-induced, RNA-dependent P1/eIF-2 alpha protein kinase from human cells.