Product Info Summary
| SKU: | PA1632 |
|---|---|
| Size: | 100 μg/vial |
| Reactive Species: | Rat |
| Host: | Rabbit |
| Application: | IHC, WB |
Customers Who Bought This Also Bought
Product info
Product Name
Anti-TIM 1/HAVCR1 Antibody Picoband®
SKU/Catalog Number
PA1632
BA3537 is an alternative SKU for this antibody, used in previous lots.
Size
100 μg/vial
Form
Lyophilized
Description
Boster Bio Anti-TIM 1/HAVCR1 Antibody catalog # PA1632. Tested in IHC, WB applications. This antibody reacts with Rat. The brand Picoband indicates this is a premium antibody that guarantees superior quality, high affinity, and strong signals with minimal background in Western blot applications. Only our best-performing antibodies are designated as Picoband, ensuring unmatched performance.
Storage & Handling
Store at -20˚C for one year from date of receipt. After reconstitution, at 4˚C for one month. It can also be aliquotted and stored frozen at -20˚C for six months. Avoid repeated freeze-thaw cycles.
Cite This Product
Anti-TIM 1/HAVCR1 Antibody Picoband® (Boster Biological Technology, Pleasanton CA, USA, Catalog # PA1632)
Host
Rabbit
Contents
Each vial contains 4 mg Trehalose, 0.9 mg NaCl and 0.2 mg Na2HPO4.
Clonality
Polyclonal
Isotype
Rabbit IgG
Immunogen
A synthetic peptide corresponding to a sequence at the C-terminus of rat TIM 1.
Cross-reactivity
No cross-reactivity with other proteins
Reactive Species
PA1632 is reactive to Havcr1 in Rat
Observed Molecular Weight
50 kDa
Calculated molecular weight
34.0 kDa
Background of Havcr1
KIM1 (KIDNEY INJURY MOLECULE 1), also known as HAVCR1, HAVCR or TIM1, is a protein that in humans is encoded by the KIM1 gene. The KIM1 gene is mapped to 5q33.3. Biochemical, mutational, and cell adhesion analyses confirm that Tim1 is capable of homophilic Tim-Tim interactions. The features identified in murine KIM1 is conserved in human KIM1. The KIM1 protein is indeed a receptor for the virus through the infection of canine osteogenic sarcoma cells expressing HAVCR1 with HAV. Using a monoclonal antibody to mouse Tim1, Tim1 is expressed after activation of naive T cells and on T cells differentiated in Th2-polarizing conditions. Ectopic expression of KIM1 during mouse T-cell differentiation leads to production of the Th2-type cytokine Il4, but not the Th1-type cytokine Ifng. KIM1-expressing epithelial cells internalized apoptotic bodies, and Kim1 is directly responsible for phagocytosis in cultured primary rat tubule epithelial cells and in porcine and canine epithelial cell lines.
Antibody Validation
Boster validates all antibodies on WB, IHC, ICC, Immunofluorescence, and ELISA with known positive control and negative samples to ensure specificity and high affinity, including thorough antibody incubations.
Application & Images
Applications
PA1632 is guaranteed for IHC, WB Boster Guarantee
Assay Dilutions Recommendation
The recommendations below provide a starting point for assay optimization. The actual working concentration varies and should be decided by the user.
Western blot, 0.1-0.5μg/ml, Rat
Immunohistochemistry (Paraffin-embedded Section), 2-5μg/ml, Rat
Positive Control
WB: rat kidney tissue
IHC: rat kidney tissue
Validation Images & Assay Conditions
Click image to see more details
Western blot analysis of HAVCR1 using anti-HAVCR1 antibody (PA1632).
Electrophoresis was performed on a 10% SDS-PAGE gel at 80V (Stacking gel) / 120V (Resolving gel) for 2 hours. The sample well of each lane was loaded with 30 ug of sample under reducing conditions.
Lane 1: rat kidney tissue lysates.
After electrophoresis, proteins were transferred to a nitrocellulose membrane at 150 mA for 50-90 minutes. Blocked the membrane with 5% non-fat milk/TBS for 1.5 hour at RT. The membrane was incubated with rabbit anti-HAVCR1 antigen affinity purified polyclonal antibody (PA1632) at 0.5 μg/mL overnight at 4°C, then washed with TBS-0.1%Tween 3 times with 5 minutes each and probed with a goat anti-rabbit IgG-HRP secondary antibody (Catalog # BA1054) at a dilution of 1:5000 for 1.5 hour at RT. The signal is developed using an ECL Plus Western Blotting Substrate (Catalog # AR1196-200) with Tanon 5200 system. A specific band was detected for HAVCR1 at approximately 50 kDa. The expected band size for HAVCR1 is at 34 kDa.
Click image to see more details
IHC analysis of HAVCR1 using anti-HAVCR1 antibody (PA1632).
HAVCR1 was detected in a paraffin-embedded section of rat kidney tissue. Heat mediated antigen retrieval was performed in EDTA buffer (pH 8.0, epitope retrieval solution). The tissue section was blocked with 10% goat serum. The tissue section was then incubated with 2 μg/ml rabbit anti-HAVCR1 Antibody (PA1632) overnight at 4°C. Peroxidase Conjugated Goat Anti-rabbit IgG was used as secondary antibody and incubated for 30 minutes at 37°C. The tissue section was developed using HRP Conjugated Rabbit IgG Super Vision Assay Kit (Catalog # SV0002) with DAB as the chromogen.
Click image to see more details
The ectopic expression of Sirtuin 6 relieves renal injury and mitochondrial dysfunction upon IRI. A Experimental design. Green arrow showed the injection of pcDNA plasmid or pFlag-Sirtuin 6 overexpression plasmid. Male mice were subjected to IRI or sham respectively, and euthanized 24 h after IRI. B Scr levels in three groups, as indicated. Scr was expressed as milligrams per deciliter. *** P < 0.001 versus sham controls ( n = 5); †† P < 0.01 versus pcDNA group ( n = 5). C Representative western blot of flag tag is shown. D Representative micrographs showing the expression of PGC-1α and TOMM20 in different groups, as indicated. Frozen kidney sections were stained with an antibody against PGC-1α and TOMM20. Arrows indicate positive staining. Scale bar, 50 μm. E – G Representative western blot ( E ) and graphical representations of ( F ) PGC-1α and ( G ) TOMM20 protein expression levels are shown. * P < 0.05 versus sham controls ( n = 5); †† P < 0.01, ††† P < 0.001 versus pcDNA group ( n = 5). H Representative micrographs show renal tubular morphologic injury, the expression of KIM-1 and caspase-3, and TUNEL assay in different groups, as indicated. Paraffin sections were subjected to periodic acid–Schiff (PAS) staining, stained with an antibody against KIM-1 and caspase-3. Frozen kidney sections were subjected to TUNEL staining. Arrows indicate positive staining. Scale bar, 50 μm. I – M Representative western blot ( I ) and graphical representations of ( J ) KIM-1, ( K ) FAS-L, ( L ) Bax and ( M ) cleaved caspase-3 protein expression levels are shown. * P < 0.05, ** P < 0.01, *** P < 0.001 versus sham controls ( n = 5); † P < 0.05, †† P < 0.01 versus pcDNA group ( n = 5). N Tubular injury score depending on PAS staining in three groups, as indicated. *** P < 0.001 versus sham controls ( n = 5); ††† P < 0.001 versus pcDNA group ( n = 5).
Index in PubMed under a CC BY license. PMID: 37185276
Click image to see more details
The ectopic knockdown of AR ameliorates renal injury and mitochondrial dysfunction upon IRI. A Experimental design. Green arrow showed the injection of control-shRNA (pLVX-shRNA) or AR-shRNA (pLVX-shAR) plasmid. Male mice were subjected to IRI or sham respectively, and euthanized 24 h after IRI. B Scr levels in three groups, as indicated. Scr was expressed as milligrams per deciliter. ** P < 0.01 versus sham controls ( n = 5); †† P < 0.01 versus control-shRNA group ( n = 5). C BUN levels in three groups, as indicated. BUN was expressed as milligrams per deciliter. ** P < 0.01 versus sham controls ( n = 5); † P < 0.05 versus control-shRNA group ( n = 5). D , E Representative western blot ( D ) and graphical representations of ( E ) AR protein expression levels are shown. *** P < 0.001 versus sham controls ( n = 5); †† P < 0.01 versus control-shRNA group ( n = 5). F , G Representative western blot ( F ) and graphical representations of ( G ) Sirtuin 6 protein expression levels are shown. ** P < 0.01 versus sham controls ( n = 5); †† P < 0.01 versus control-shRNA group ( n = 5). H Representative micrographs showing the expression of Sirtuin 6 in different groups. Paraffin sections were stained with an antibody against Sirtuin 6. Arrows indicate positive staining. Scale bar, 50 μm. I Representative micrographs show renal tubular morphologic injury, the expression of KIM-1 and caspase-3, and TUNEL assay in different groups, as indicated. Paraffin sections were subjected to PAS staining, stained with an antibody against KIM-1 and caspase-3. Frozen kidney sections were subjected to TUNEL staining. Arrows indicate positive staining. Scale bar, 50 μm. (J – N) Representative western blot ( J ) and graphical representations of ( K ) KIM-1, ( L ) FAS-L, ( M ) Bax and ( N ) cleaved caspase-3 protein expression levels are shown. ** P < 0.01, *** P < 0.001 versus sham controls ( n = 5); †† P < 0.01, ††† P < 0.001 versus control-shRNA group ( n = 5). O Tubular injury scores depending on PAS staining in three groups, as indicated. *** P < 0.001 versus sham controls ( n = 5); ††† P < 0.001 versus control-shRNA group ( n = 5). P Representative micrographs showing the expression of PGC-1α and TOMM20 in different groups, as indicated. Frozen kidney sections were stained with an antibody against PGC-1α and TOMM20. Arrows indicate positive staining. Scale bar, 50 μm. Q – S Representative western blot ( Q ) and graphical representations of ( R ) PGC-1α and ( S ) TOMM20 protein expression levels are shown. *** P < 0.001 versus sham controls ( n = 5); ††† P < 0.001 versus control-shRNA group ( n = 5).
Index in PubMed under a CC BY license. PMID: 37185276
Click image to see more details
Male mice were more susceptive to rhabdomyolysis-induced AKI and tubular apoptosis in kidney. A Experimental design. Female and male mice were intramuscularly injected with 50% glycerol at the dose of 7.5 ml/kg or normal saline respectively. Mice were euthanized 3 days after intramuscular injection. B Scr levels in four groups, as indicated. Scr was expressed as milligrams per deciliter. ** P < 0.01 versus sham controls in male group ( n = 5); †† P < 0.01 versus sham controls in female group ( n = 5); # P < 0.05 versus male group in glycerol group ( n = 5). C Graphical representations show three day-mortality in different genders after glycerol administration, as indicated. * P < 0.05 versus male group (n of male group = 20; n of female group = 17). D Representative micrographs show renal tubular morphologic injury and the expression of KIM-1 in different groups, as indicated. Paraffin sections were subjected to PAS staining and stained with an antibody against KIM-1. Arrows indicate positive staining. Scale bar, 50 μm. E Tubular injury score depending on PAS staining in four groups, as indicated. *** P < 0.001 versus sham controls in male group ( n = 5); ††† P < 0.001 versus sham controls in female group ( n = 5). F – J Representative western blot ( F ) and graphical representations of ( G ) KIM-1, ( H ) FAS-L, ( I ) Bax and ( J ) cleaved caspase-3 protein expression levels are shown. * P < 0.05, ** P < 0.01, *** P < 0.001 versus female group ( n = 5). K Representative micrographs show the expression of caspase-3 and TUNEL staining in different groups, as indicated. Paraffin sections were stained with an antibody against caspase-3. Frozen kidney sections were subjected to TUNEL staining. Arrow indicates positive staining. Scale bar, 50 μm.
Index in PubMed under a CC BY license. PMID: 37185276
Click image to see more details
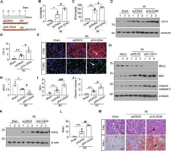
Ectopic CD44 aggravates tubular cell apoptosis and kidney injury in IRI mice. A Experimental design: Green arrow indicated the injection of pcDNA3 plasmid or p-HA-CD44 overexpression plasmid. Mice were subjected to IRI surgery or sham surgery, respectively, as shown in the red arrow. Mice are euthanized 24 h after surgery. B Scr levels in three groups, as indicated. Scr was expressed as milligrams per deciliter. * P < 0.05 versus sham group; # P < 0.05 versus IRI group injected with pcDNA3 ( n = 5). C BUN levels in three groups, as indicated. BUN was expressed as milligrams per deciliter. ** P < 0.01 versus sham group; # P < 0.05 versus IRI group injected with pcDNA3 ( n = 5). D and E Representative western blot of CD44 ( D ) and graphical presentations ( E ) of protein levels are shown. ** P < 0.01 versus sham group; # P < 0.05 versus IRI group injected with pcDNA3 ( n = 5). F Representative micrographs show the expression of CD44, and TUNEL assay in different groups, as indicated. Arrows indicate positive staining. Frozen kidney sections were subjected to TUNEL assay or stained with an antibody against CD44. Scale bar, 50 μm. G–J Representative western blot ( G ) and graphical presentations of H BCL2, I BAX, and J cleaved caspase 3 protein expression levels are shown. * P < 0.05, ** P < 0.01 versus sham group; # P < 0.05, ### P < 0.001 versus IRI group injected with pcDNA3 ( n = 5). K and L Representative western blot of NGAL ( K ) and graphical presentations ( L ) of protein levels are shown. ** P < 0.01 versus sham group; ## P < 0.01 versus IRI group injected with pcDNA3 ( n = 5). M Representative micrographs show renal tubular morphologic injury and the expression of KIM-1 in different groups, as indicated. Paraffin sections were subjected to PAS staining, and were stained with an antibody against KIM-1. Arrows indicate positive staining. Scale bar, 50 μm.
Index in PubMed under a CC BY license. PMID: 39979265
Click image to see more details
Male mice were more susceptive to IRI and tubular apoptosis in kidney. A Experimental design. Female and male mice were subjected to IRI or sham respectively, and euthanized 24 h after IRI. B Scr levels in four groups, as indicated. Scr was expressed as milligrams per deciliter. ** P < 0.01 versus sham controls in male group ( n = 5). C BUN levels in four groups, as indicated. BUN was expressed as milligrams per deciliter. * P < 0.05 versus sham controls in male group ( n = 5). D Representative micrographs show renal tubular morphologic injury, the expression of KIM-1 and caspase-3, and TUNEL assay in different groups, as indicated. Paraffin sections were subjected to periodic acid–Schiff (PAS) staining, stained with an antibody against KIM-1 and caspase-3. Frozen kidney sections were subjected to TUNEL assay. Arrows indicate positive staining. Scale bar, 50 μm. E – I Representative western blot ( E ) and graphical representations of ( F ) FAS-L, ( G ) Bax, ( H ) cleaved caspase-3 and ( I ) KIM-1 protein expression levels are shown. * P < 0.05, ** P < 0.01 versus male group ( n = 5).
Index in PubMed under a CC BY license. PMID: 37185276
Specific Publications For Anti-TIM 1/HAVCR1 Antibody Picoband® (PA1632)
Loading publications
Recommended Resources
Here are featured tools and databases that you might find useful.
- Boster's Pathways Library
- Protein Databases
- Bioscience Research Protocol Resources
- Data Processing & Analysis Software
- Photo Editing Software
- Scientific Literature Resources
- Research Paper Management Tools
- Molecular Biology Software
- Primer Design Tools
- Bioinformatics Tools
- Phylogenetic Tree Analysis
Customer Reviews
Have you used Anti-TIM 1/HAVCR1 Antibody Picoband®?
Share your experimental results or join a short interview to earn up to $1,000 in product credits or other rewards.
0 Reviews For Anti-TIM 1/HAVCR1 Antibody Picoband®
Customer Q&As
Have a question?
Find answers in Q&As, reviews.
Can't find your answer?
Submit your question
17 Customer Q&As for Anti-TIM 1/HAVCR1 Antibody Picoband®
Question
Our lab were happy with the WB result of your anti-TIM 1/HAVCR1 antibody. However we have seen positive staining in adult mammalian kidney membrane using this antibody. Is that expected? Could you tell me where is HAVCR1 supposed to be expressed?
Verified Customer
Verified customer
Asked: 2020-05-06
Answer
Based on literature, adult mammalian kidney does express HAVCR1. Generally HAVCR1 expresses in membrane. Regarding which tissues have HAVCR1 expression, here are a few articles citing expression in various tissues:
Cervix carcinoma, Pubmed ID: 18669648
Kidney, Pubmed ID: 15489334
Liver, Pubmed ID: 9658108, 15372022
Boster Scientific Support
Answered: 2020-05-06
Question
We are currently using anti-TIM 1/HAVCR1 antibody PA1632 for rat tissue, and we are well pleased with the WB results. The species of reactivity given in the datasheet says rat. Is it true that the antibody can work on primate tissues as well?
Verified Customer
Verified customer
Asked: 2019-12-16
Answer
The anti-TIM 1/HAVCR1 antibody (PA1632) has not been validated for cross reactivity specifically with primate tissues, but there is a good chance of cross reactivity. We have an innovator award program that if you test this antibody and show it works in primate you can get your next antibody for free. Please contact me if I can help you with anything.
Boster Scientific Support
Answered: 2019-12-16
Question
Can you help my question with product PA1632, anti-TIM 1/HAVCR1 antibody. I was wondering if it would be possible to conjugate this antibody with biotin. I would need it to be without BSA or sodium azide. I am planning on using a buffer exchange of sodium azide with PBS only. Would there be problems for me to conjugate the antibody and store it in -20 degrees in small aliquots?
Verified Customer
Verified customer
Asked: 2019-10-17
Answer
We do not recommend storing this antibody with PBS buffer only in -20 degrees. If you want to store it in -20 degrees it is best to add some cryoprotectant like glycerol. If you want carrier free PA1632 anti-TIM 1/HAVCR1 antibody, we can provide it to you in a special formula with trehalose and/or glycerol. These molecules will not interfere with conjugation chemistry and provide a good level of protection for the antibody from degradation. Please be sure to specify this in your purchase order.
Boster Scientific Support
Answered: 2019-10-17
Question
We have been able to see staining in rat kidney. What should we do? Is anti-TIM 1/HAVCR1 antibody supposed to stain kidney positively?
Verified Customer
Verified customer
Asked: 2019-10-11
Answer
From what I have seen in literature kidney does express HAVCR1. From what I have seen in Uniprot.org, HAVCR1 is expressed in adult mammalian kidney, liver, kidney, cervix carcinoma, among other tissues. Regarding which tissues have HAVCR1 expression, here are a few articles citing expression in various tissues:
Cervix carcinoma, Pubmed ID: 18669648
Kidney, Pubmed ID: 15489334
Liver, Pubmed ID: 9658108, 15372022
Boster Scientific Support
Answered: 2019-10-11
Question
I was wanting to use your anti-TIM 1/HAVCR1 antibody for WB for rat kidney on frozen tissues, but I want to know if it has been tested for this particular application. Has this antibody been tested and is this antibody a good choice for rat kidney identification?
Verified Customer
Verified customer
Asked: 2019-07-04
Answer
You can see on the product datasheet, PA1632 anti-TIM 1/HAVCR1 antibody has been validated for IHC, WB on rat tissues. We have an innovator award program that if you test this antibody and show it works in rat kidney in IHC-frozen, you can get your next antibody for free.
Boster Scientific Support
Answered: 2019-07-04
Question
Does PA1632 anti-TIM 1/HAVCR1 antibody work on parafin embedded sections? If so, which fixation method do you recommend we use (PFA, paraformaldehyde, other)?
Verified Customer
Verified customer
Asked: 2019-04-19
Answer
As indicated on the product datasheet, PA1632 anti-TIM 1/HAVCR1 antibody as been tested on WB. It is best to use PFA for fixation because it has better tissue penetration ability. PFA needs to be prepared fresh before use. Long term stored PFA turns into formalin, as the PFA molecules congregate and become formalin.
Boster Scientific Support
Answered: 2019-04-19
Question
We appreciate helping with my inquiry over the phone. Here are the WB image, lot number and protocol we used for kidney using anti-TIM 1/HAVCR1 antibody PA1632. Let me know if you need anything else.
Verified Customer
Verified customer
Asked: 2019-04-18
Answer
We appreciate the data. You have provided everything we needed. Our lab team are working to resolve your inquiry as quickly as possible, and we appreciate your patience and understanding! Please let me know if there is anything you need in the meantime.
Boster Scientific Support
Answered: 2019-04-18
Question
Is this PA1632 anti-TIM 1/HAVCR1 antibody reactive to the isotypes of HAVCR1?
Verified Customer
Verified customer
Asked: 2019-02-14
Answer
The immunogen of PA1632 anti-TIM 1/HAVCR1 antibody is A synthetic peptide corresponding to a sequence at the C-terminus of rat TIM 1(289-307aa HPRAEDNIYIIEDRSRGAE). Could you tell me which isotype you are interested in so I can help see if the immunogen is part of this isotype?
Boster Scientific Support
Answered: 2019-02-14
Question
I was wanting to use using your anti-TIM 1/HAVCR1 antibody for response to testosterone studies. Has this antibody been tested with western blotting on rat heart tissue? We would like to see some validation images before ordering.
S. Moore
Verified customer
Asked: 2018-08-17
Answer
I appreciate your inquiry. This PA1632 anti-TIM 1/HAVCR1 antibody is tested on rat heart tissue, kidney tissue, testis tissue. It is guaranteed to work for IHC, WB in rat. Our Boster guarantee will cover your intended experiment even if the sample type has not been be directly tested.
Boster Scientific Support
Answered: 2018-08-17
Question
I see that the anti-TIM 1/HAVCR1 antibody PA1632 works with WB, what is the protocol used to produce the result images on the product page?
Verified Customer
Verified customer
Asked: 2018-08-07
Answer
You can find protocols for WB on the "support/technical resources" section of our navigation menu. If you have any further questions, please send an email to support@bosterbio.com
Boster Scientific Support
Answered: 2018-08-07
Question
Does anti-TIM 1/HAVCR1 antibody PA1632 work on feline IHC with adult mammalian kidney?
B. Baker
Verified customer
Asked: 2018-05-30
Answer
Our lab technicians have not validated anti-TIM 1/HAVCR1 antibody PA1632 on feline. You can run a BLAST between feline and the immunogen sequence of anti-TIM 1/HAVCR1 antibody PA1632 to see if they may cross-react. If the sequence homology is close, then you can perform a pilot test. Keep in mind that since we have not validated feline samples, this use of the antibody is not covered by our guarantee. However we have an innovator award program that if you test this antibody and show it works in feline adult mammalian kidney in IHC, you can get your next antibody for free.
Boster Scientific Support
Answered: 2018-05-30
Question
See below the WB image, lot number and protocol we used for kidney using anti-TIM 1/HAVCR1 antibody PA1632. Please let me know if you require anything else.
K. Jha
Verified customer
Asked: 2018-01-19
Answer
Thank you very much for the data. Our lab team are working to resolve this as quickly as possible, and we appreciate your patience and understanding! You have provided everything we needed. Please let me know if there is anything you need in the meantime.
Boster Scientific Support
Answered: 2018-01-19
Question
Is there a BSA free version of anti-TIM 1/HAVCR1 antibody PA1632 available?
Verified Customer
Verified customer
Asked: 2017-09-21
Answer
We appreciate your recent telephone inquiry. I can confirm that some lots of this anti-TIM 1/HAVCR1 antibody PA1632 are BSA free. For now, these lots are available and we can make a BSA free formula for you free of charge. It will take 3 extra days to prepare. If you require this antibody BSA free again in future, please do not hesitate to contact me and I will be pleased to check which lots we have in stock that are BSA free.
Boster Scientific Support
Answered: 2017-09-21
Question
I would like to test anti-TIM 1/HAVCR1 antibody PA1632 on rat kidney for research purposes, then I may be interested in using anti-TIM 1/HAVCR1 antibody PA1632 for diagnostic purposes as well. Is the antibody suitable for diagnostic purposes?
P. Johnson
Verified customer
Asked: 2017-01-05
Answer
The products we sell, including anti-TIM 1/HAVCR1 antibody PA1632, are only intended for research use. They would not be suitable for use in diagnostic work. If you have the means to develop a product into diagnostic use, and are interested in collaborating with us and develop our product into an IVD product, please contact us for more discussions.
Boster Scientific Support
Answered: 2017-01-05
Question
Is a blocking peptide available for product anti-TIM 1/HAVCR1 antibody (PA1632)?
K. Krishna
Verified customer
Asked: 2016-12-21
Answer
We do provide the blocking peptide for product anti-TIM 1/HAVCR1 antibody (PA1632). If you would like to place an order for it please contact support@bosterbio.com and make a special request.
Boster Scientific Support
Answered: 2016-12-21
Question
We bought anti-TIM 1/HAVCR1 antibody for IHC on kidney last year. I am using rat, and We want to use the antibody for WB next. I am looking for examining kidney as well as adult mammalian kidney in our next experiment. Could you please give me some suggestion on which antibody would work the best for WB?
J. Jha
Verified customer
Asked: 2015-08-10
Answer
I took a look at the website and datasheets of our anti-TIM 1/HAVCR1 antibody and I see that PA1632 has been tested on rat in both IHC and WB. Thus PA1632 should work for your application. Our Boster satisfaction guarantee will cover this product for WB in rat even if the specific tissue type has not been validated. We do have a comprehensive range of products for WB detection and you can check out our website bosterbio.com to find out more information about them.
Boster Scientific Support
Answered: 2015-08-10
Question
Does anti-TIM 1/HAVCR1 antibody PA1632 work for WB with kidney?
M. Kulkarni
Verified customer
Asked: 2013-08-13
Answer
According to the expression profile of kidney, HAVCR1 is highly expressed in kidney. So, it is likely that anti-TIM 1/HAVCR1 antibody PA1632 will work for WB with kidney.
Boster Scientific Support
Answered: 2013-08-13


