This website uses cookies to ensure you get the best experience on our website.
- Table of Contents
1 Citations 13 Q&As
1 Citations 16 Q&As
1 Citations 7 Q&As
4 Citations
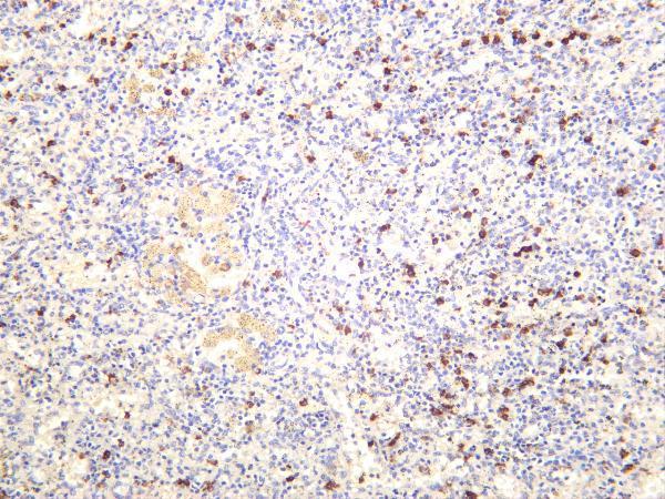
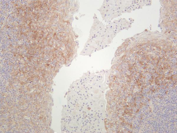
Facts about Monocyte differentiation antigen CD14.
Acts via MyD88, TIRAP and TRAF6, leading to NF-kappa-B activation, cytokine secretion and the inflammatory response (PubMed:8612135). Acts as a coreceptor for TLR2:TLR6 heterodimer in response to diacylated lipopeptides and for TLR2:TLR1 heterodimer in response to triacylated lipopeptides, these clusters activate signaling from the cell surface and then are targeted to the Golgi in a lipid-raft dependent pathway (PubMed:16880211).
| Human | |
|---|---|
| Gene Name: | CD14 |
| Uniprot: | P08571 |
| Entrez: | 929 |

| Belongs to: |
|---|
| No superfamily |

CD14 antigen; CD14 molecule; CD14; monocyte differentiation antigen CD14; Myeloid cell-specific leucine-rich glycoprotein
Mass (kDA):
40.076 kDA

| Human | |
|---|---|
| Location: | 5q31.3 |
| Sequence: | 5; NC_000005.10 (140631728..140633701, complement) |
Detected on macrophages (at protein level) (PubMed:1698311). Expressed strongly on the surface of monocytes and weakly on the surface of granulocytes; also expressed by most tissue macrophages.
Cell membrane; Lipid-anchor, GPI-anchor. Secreted. Membrane raft. Golgi apparatus. Secreted forms may arise by cleavage of the GPI anchor.






PMID: 3385210 by Haziot A., et al. The monocyte differentiation antigen, CD14, is anchored to the cell membrane by a phosphatidylinositol linkage.
PMID: 2453848 by Ferrero E., et al. Nucleotide sequence of the gene encoding the monocyte differentiation antigen, CD14.
*More publications can be found for each product on its corresponding product page