This website uses cookies to ensure you get the best experience on our website.
- Table of Contents
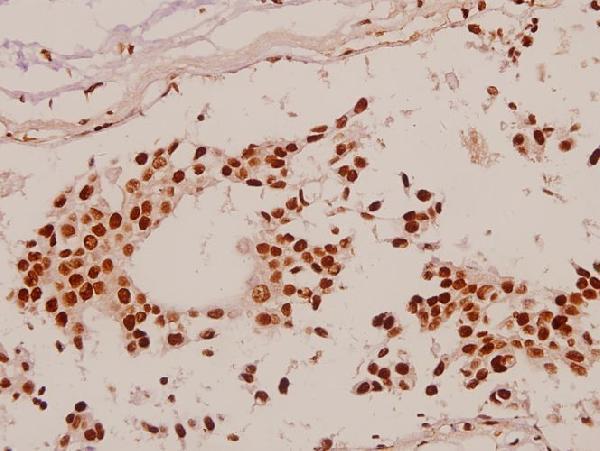
3 Citations 17 Q&As
Facts about Transcription factor Sp1.
May have a role in regulating the cellular response to DNA damage. Implicated in chromatin remodeling.
| Human | |
|---|---|
| Gene Name: | SP1 |
| Uniprot: | P08047 |
| Entrez: | 6667 |

| Belongs to: |
|---|
| Sp1 C2H2-type zinc-finger protein family |

Sp1 transcription factor; specificity protein 1; transcription factor Sp1; TSFP1
Mass (kDA):
80.693 kDA

| Human | |
|---|---|
| Location: | 12q13.13 |
| Sequence: | 12; NC_000012.12 (53380176..53416446) |
Up-regulated in adenocarcinomas of the stomach (at protein level). Isoform 3 is ubiquitously expressed at low levels.
Nucleus. Cytoplasm. Nuclear location is governed by glycosylated/phosphorylated states. Insulin promotes nuclear location, while glucagon favors cytoplasmic location.






PMID: 21798247 by Infantino V., et al. Identification of a novel Sp1 splice variant as a strong transcriptional activator.
PMID: 10973950 by Takahara T., et al. Heterogeneous Sp1 mRNAs in human HepG2 cells include a product of homotypic trans-splicing.
*More publications can be found for each product on its corresponding product page