This website uses cookies to ensure you get the best experience on our website.
- Table of Contents
4 Citations 16 Q&As
1 Citations 16 Q&As
1 Citations 15 Q&As
18 Citations 12 Q&As
13 Citations
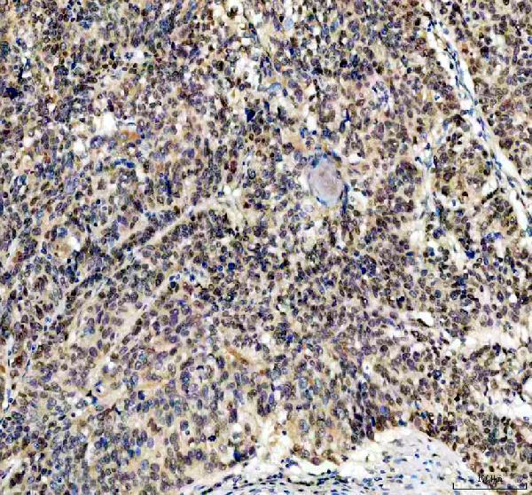
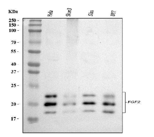
Facts about Fibroblast growth factor 2.
Acts as a ligand for FGFR1, FGFR2, FGFR3 and FGFR4 (PubMed:8663044).
Also acts as an integrin ligand that's required for FGF2 signaling (PubMed:28302677).Binds to integrin ITGAV:ITGB3 (PubMed:28302677). Plays an important role in the regulation of cell survival, cell division, cell differentiation and cell migration (PubMed:8663044, PubMed:28302677).
| Human | |
|---|---|
| Gene Name: | FGF2 |
| Uniprot: | P09038 |
| Entrez: | 2247 |

| Belongs to: |
|---|
| heparin-binding growth factors family |

basic fibroblast growth factor bFGF; Basic fibroblast growth factor; bFGF; FGF basic; FGF2; FGF-2; FGFBprostatropin; fibroblast growth factor 2 (basic); HBGF-2; heparin-binding growth factor 2; Prostatropin
Mass (kDA):
30.77 kDA

| Human | |
|---|---|
| Location: | 4q28.1 |
| Sequence: | 4; NC_000004.12 (122826708..122898236) |
Expressed in granulosa and cumulus cells. Expressed in hepatocellular carcinoma cells, but not in non- cancerous liver tissue.
Secreted. Nucleus. Exported from cells by an endoplasmic reticulum (ER)/Golgi-independent mechanism. Unconventional secretion of FGF2 occurs by direct translocation across the plasma membrane. Binding of exogenous FGF2 to FGFR facilitates endocytosis followed by translocation of FGF2 across endosomal membrane into the cytosol. Nuclear import from the cytosol requires the classical nuclear import machinery, involving proteins KPNA1 and KPNB1, as well as CEP57.





PMID: 3472745 by Abraham J.A., et al. Human basic fibroblast growth factor: nucleotide sequence, genomic organization, and expression in mammalian cells.
PMID: 3780670 by Abraham J.A., et al. Human basic fibroblast growth factor: nucleotide sequence and genomic organization.
*Showing only the more recent 20. More publications can be found for each product on its corresponding product page