Product Info Summary
| SKU: | M02236-1 |
|---|---|
| Size: | 100 μl |
| Reactive Species: | Human, Rat |
| Host: | Rabbit |
| Application: | IF, IHC, ICC, WB |
Customers Who Bought This Also Bought
Product info
Product Name
Anti-CD8 CD8A Rabbit Monoclonal Antibody
SKU/Catalog Number
M02236-1
BM4379 is an alternative SKU for this antibody, used in previous lots.
Size
100 μl
Form
Liquid
Description
Boster Bio Anti-CD8 CD8A Rabbit Monoclonal Antibody catalog # M02236-1. Tested in WB, IHC, ICC/IF applications. This antibody reacts with Human, Rat.
Storage & Handling
Store at -20°C for one year. For short term storage and frequent use, store at 4°C for up to one month. Avoid repeated freeze-thaw cycles.
Cite This Product
Anti-CD8 CD8A Rabbit Monoclonal Antibody (Boster Biological Technology, Pleasanton CA, USA, Catalog # M02236-1)
Host
Rabbit
Contents
Rabbit IgG in stabilizing components, phosphate buffered saline, pH 7.4, 150mM NaCl, 0.02% sodium azide and 50% glycerol.
*This antibody is supplied in a stabilized formulation.
Compatibility with conjugation reactions depends on the chemistry of the conjugation method used.
For conjugation methods that are not compatible with the stabilizing components present in this formulation, a carrier-free antibody format is required.
Clonality
Monoclonal
Clone Number
EAF-3
Isotype
Rabbit IgG
Immunogen
A synthesized peptide derived from human CD8
Reactive Species
M02236-1 is reactive to CD8A in Human, Rat
Observed Molecular Weight
36 kDa
Calculated molecular weight
25.7 kDa
Antibody Validation
Boster validates all antibodies on WB, IHC, ICC, Immunofluorescence, and ELISA with known positive control and negative samples to ensure specificity and high affinity, including thorough antibody incubations.
Application & Images
Applications
M02236-1 is guaranteed for IF, IHC, ICC, WB Boster Guarantee
Assay Dilutions Recommendation
The recommendations below provide a starting point for assay optimization. The actual working concentration varies and should be decided by the user.
WB 1:500-2000
IHC 1:50-200
ICC/IF 1:50-200
Positive Control
IHC: Rat kidney tissue, Human glioblastoma tissue, Human kidney tissue, Mouse skin tissue, human colon tissue
Validation Images & Assay Conditions
Click image to see more details
All lanes use the Antibody at 1:5K dilution for 1 hour at room temperature.
Click image to see more details
Western blot analysis of CD8A using anti-CD8A antibody (M02236-1).
Electrophoresis was performed on a 5-20% SDS-PAGE gel at 70V (Stacking gel) / 90V (Resolving gel) for 2-3 hours. The sample well of each lane was loaded with 30 ug of sample under reducing conditions.
Lane 1: human Jurkat whole cell lysates,
Lane 2: human Hela whole cell lysates,
Lane 3: human 293T whole cell lysates.
After electrophoresis, proteins were transferred to a nitrocellulose membrane at 150 mA for 50-90 minutes. Blocked the membrane with 5% non-fat milk/TBS for 1.5 hour at RT. The membrane was incubated with rabbit anti-CD8A antigen affinity purified monoclonal antibody (Catalog # M02236-1) at 1:500 overnight at 4°C, then washed with TBS-0.1%Tween 3 times with 5 minutes each and probed with a goat anti-rabbit IgG-HRP secondary antibody at a dilution of 1:5000 for 1.5 hour at RT. The signal is developed using an Enhanced Chemiluminescent detection (ECL) kit (Catalog # EK1002) with Tanon 5200 system. A specific band was detected for CD8A at approximately 36 kDa. The expected band size for CD8A is at 26 kDa.
Click image to see more details
All lanes use the Antibody at 1:5K dilution for 1 hour at room temperature.
Click image to see more details
ESRRG is positively correlated with PD-L1. (A-B) The positive correlation between ESRRG and PD-L1 in GBC cells was investigated using Real-time PCR (A) and Western Blot (B) . (C-D) The expressions of ESRRG, PD-L1 and CD8 were detected by immunofluorescence assay in GBC tissues. **p < 0.01; ***p < 0.001; p < 0.05 was considered statistically significant.
Index in PubMed under a CC BY license. PMID: 40356747
Click image to see more details
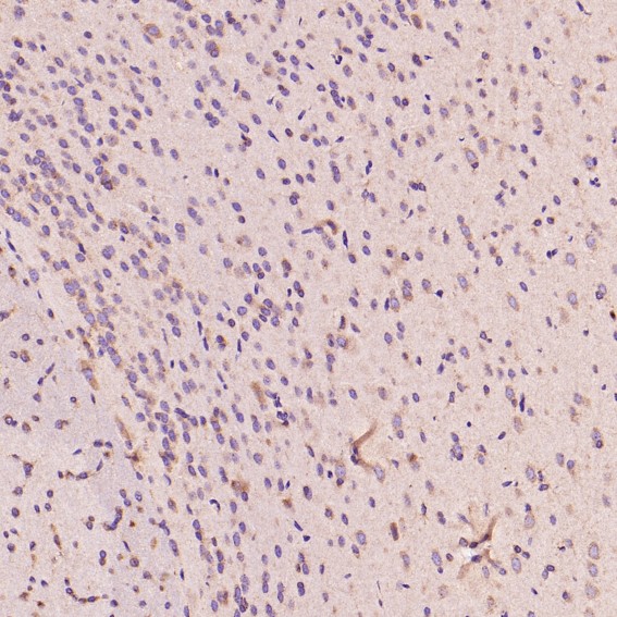
Immunohistochemical analysis of paraffin-embedded Human glioblastoma, using the Antibody at 1:600 dilution.
Click image to see more details
Immunohistochemical analysis of paraffin-embedded Human kidney, using the Antibody at 1:600 dilution.
Click image to see more details
Immunohistochemical analysis of paraffin-embedded Mouse skin, using the Antibody at 1:100 dilution.
Click image to see more details
Immunohistochemical analysis of paraffin-embedded Rat kidney, using the Antibody at 1:100 dilution.
Click image to see more details
Immunohistochemical analysis of paraffin-embedded human colon, using CD8 Antibody.
Click image to see more details
Immunofluorescent analysis using the Antibody at 1:150 dilution.
Click image to see more details
Immunofluorescent analysis using the Antibody at 1:50 dilution.
Click image to see more details
Immunofluorescent analysis of Jurkat cells, using CD8 Antibody .
Specific Publications For Anti-CD8 CD8A Rabbit Monoclonal Antibody (M02236-1)
Loading publications
Recommended Resources
Here are featured tools and databases that you might find useful.
- Boster's Pathways Library
- Protein Databases
- Bioscience Research Protocol Resources
- Data Processing & Analysis Software
- Photo Editing Software
- Scientific Literature Resources
- Research Paper Management Tools
- Molecular Biology Software
- Primer Design Tools
- Bioinformatics Tools
- Phylogenetic Tree Analysis
Customer Reviews
Have you used Anti-CD8 CD8A Rabbit Monoclonal Antibody?
Share your experimental results or join a short interview to earn up to $1,000 in product credits or other rewards.
0 Reviews For Anti-CD8 CD8A Rabbit Monoclonal Antibody
Customer Q&As
Have a question?
Find answers in Q&As, reviews.
Can't find your answer?
Submit your question
16 Customer Q&As for Anti-CD8 CD8A Rabbit Monoclonal Antibody
Question
I am looking for to test anti-CD8 Rabbit Monoclonal antibody M02236-1 on human thymus for research purposes, then I may be interested in using anti-CD8 Rabbit Monoclonal antibody M02236-1 for diagnostic purposes as well. Is the antibody suitable for diagnostic purposes?
Verified Customer
Verified customer
Asked: 2020-04-28
Answer
The products we sell, including anti-CD8 Rabbit Monoclonal antibody M02236-1, are only intended for research use. They would not be suitable for use in diagnostic work. If you have the means to develop a product into diagnostic use, and are interested in collaborating with us and develop our product into an IVD product, please contact us for more discussions.
Boster Scientific Support
Answered: 2020-04-28
Question
I have attached the WB image, lot number and protocol we used for thymus using anti-CD8 Rabbit Monoclonal antibody M02236-1. Please let me know if you require anything else.
Verified Customer
Verified customer
Asked: 2020-03-06
Answer
Thank you very much for the data. Our lab team are working to resolve this as quickly as possible, and we appreciate your patience and understanding! You have provided everything we needed. Please let me know if there is anything you need in the meantime.
Boster Scientific Support
Answered: 2020-03-06
Question
Is this M02236-1 anti-CD8 Rabbit Monoclonal antibody reactive to the isotypes of CD8A?
Verified Customer
Verified customer
Asked: 2020-02-10
Answer
The immunogen of M02236-1 anti-CD8 Rabbit Monoclonal antibody is A synthesized peptide derived from human CD8. Could you tell me which isotype you are interested in so I can help see if the immunogen is part of this isotype?
Boster Scientific Support
Answered: 2020-02-10
Question
I have a question about product M02236-1, anti-CD8 Rabbit Monoclonal antibody. I was wondering if it would be possible to conjugate this antibody with biotin. I would need it to be without BSA or sodium azide. I am planning on using a buffer exchange of sodium azide with PBS only. Would there be problems for me to conjugate the antibody and store it in -20 degrees in small aliquots?
Verified Customer
Verified customer
Asked: 2020-01-27
Answer
It is not recommended storing this antibody with PBS buffer only in -20 degrees. If you want to store it in -20 degrees it is best to add some cryoprotectant like glycerol. If you want carrier free M02236-1 anti-CD8 Rabbit Monoclonal antibody, we can provide it to you in a special formula with trehalose and/or glycerol. These molecules will not interfere with conjugation chemistry and provide a good level of protection for the antibody from degradation. Please be sure to specify this in your purchase order.
Boster Scientific Support
Answered: 2020-01-27
Question
We want using your anti-CD8 Rabbit Monoclonal antibody for transmembrane receptor protein tyrosine kinase signaling pathway studies. Has this antibody been tested with western blotting on jurkat cell lysate? We would like to see some validation images before ordering.
Verified Customer
Verified customer
Asked: 2019-08-13
Answer
We appreciate your inquiry. This M02236-1 anti-CD8 Rabbit Monoclonal antibody is tested on jurkat cell lysate. It is guaranteed to work for IF, IHC, WB in human. Our Boster guarantee will cover your intended experiment even if the sample type has not been be directly tested.
Boster Scientific Support
Answered: 2019-08-13
Question
Is there a BSA free version of anti-CD8 Rabbit Monoclonal antibody M02236-1 available?
Verified Customer
Verified customer
Asked: 2019-08-12
Answer
Thank you for your recent telephone inquiry. I can confirm that some lots of this anti-CD8 Rabbit Monoclonal antibody M02236-1 are BSA free. For now, these lots are available and we can make a BSA free formula for you free of charge. It will take 3 extra days to prepare. If you require this antibody BSA free again in future, please do not hesitate to contact me and I will be pleased to check which lots we have in stock that are BSA free.
Boster Scientific Support
Answered: 2019-08-12
Question
Does M02236-1 anti-CD8 Rabbit Monoclonal antibody work on parafin embedded sections? If so, which fixation method do you recommend we use (PFA, paraformaldehyde, other)?
Verified Customer
Verified customer
Asked: 2019-06-10
Answer
You can see on the product datasheet, M02236-1 anti-CD8 Rabbit Monoclonal antibody as been tested on IF. It is best to use PFA for fixation because it has better tissue penetration ability. PFA needs to be prepared fresh before use. Long term stored PFA turns into formalin, as the PFA molecules congregate and become formalin.
Boster Scientific Support
Answered: 2019-06-10
Question
Would anti-CD8 Rabbit Monoclonal antibody M02236-1 work for IF with thymus?
Verified Customer
Verified customer
Asked: 2019-03-26
Answer
According to the expression profile of thymus, CD8A is highly expressed in thymus. So, it is likely that anti-CD8 Rabbit Monoclonal antibody M02236-1 will work for IF with thymus.
Boster Scientific Support
Answered: 2019-03-26
Question
Our team were satisfied with the WB result of your anti-CD8 Rabbit Monoclonal antibody. However we have seen positive staining in pericardium isoform 2: secreted using this antibody. Is that expected? Could you tell me where is CD8A supposed to be expressed?
Verified Customer
Verified customer
Asked: 2019-02-26
Answer
From literature, pericardium does express CD8A. Generally CD8A expresses in isoform 1: cell membrane, isoform 2: secreted. Regarding which tissues have CD8A expression, here are a few articles citing expression in various tissues:
Pericardium, Pubmed ID: 14702039
Boster Scientific Support
Answered: 2019-02-26
Question
Is a blocking peptide available for product anti-CD8 Rabbit Monoclonal antibody (M02236-1)?
O. Brown
Verified customer
Asked: 2018-08-22
Answer
We do provide the blocking peptide for product anti-CD8 Rabbit Monoclonal antibody (M02236-1). If you would like to place an order for it please contact support@bosterbio.com and make a special request.
Boster Scientific Support
Answered: 2018-08-22
Question
I see that the anti-CD8 Rabbit Monoclonal antibody M02236-1 works with IF, what is the protocol used to produce the result images on the product page?
Verified Customer
Verified customer
Asked: 2017-12-28
Answer
You can find protocols for IF on the "support/technical resources" section of our navigation menu. If you have any further questions, please send an email to support@bosterbio.com
Boster Scientific Support
Answered: 2017-12-28
Question
We have seen staining in human pericardium. Are there any suggestions? Is anti-CD8 Rabbit Monoclonal antibody supposed to stain pericardium positively?
Verified Customer
Verified customer
Asked: 2017-12-22
Answer
From what I have seen in literature pericardium does express CD8A. From what I have seen in Uniprot.org, CD8A is expressed in thymus, pericardium, among other tissues. Regarding which tissues have CD8A expression, here are a few articles citing expression in various tissues:
Pericardium, Pubmed ID: 14702039
Boster Scientific Support
Answered: 2017-12-22
Question
We are currently using anti-CD8 Rabbit Monoclonal antibody M02236-1 for human tissue, and we are well pleased with the IF results. The species of reactivity given in the datasheet says human. Is it true that the antibody can work on dog tissues as well?
D. Krishna
Verified customer
Asked: 2017-10-09
Answer
The anti-CD8 Rabbit Monoclonal antibody (M02236-1) has not been validated for cross reactivity specifically with dog tissues, though there is a good chance of cross reactivity. We have an innovator award program that if you test this antibody and show it works in dog you can get your next antibody for free. Please contact me if I can help you with anything.
Boster Scientific Support
Answered: 2017-10-09
Question
I was wanting to use your anti-CD8 Rabbit Monoclonal antibody for IF for human thymus on frozen tissues, but I want to know if it has been tested for this particular application. Has this antibody been tested and is this antibody a good choice for human thymus identification?
E. Mangal
Verified customer
Asked: 2014-08-12
Answer
You can see on the product datasheet, M02236-1 anti-CD8 Rabbit Monoclonal antibody has been validated for IF, IHC, WB on human tissues. We have an innovator award program that if you test this antibody and show it works in human thymus in IHC-frozen, you can get your next antibody for free.
Boster Scientific Support
Answered: 2014-08-12
Question
We ordered your anti-CD8 Rabbit Monoclonal antibody for WB on pericardium in the past. I am using human, and We are going to use the antibody for IHC next. I was wanting to use examining pericardium as well as thymus in our next experiment. Could you please give me some suggestion on which antibody would work the best for IHC?
C. Johnson
Verified customer
Asked: 2013-08-30
Answer
I took a look at the website and datasheets of our anti-CD8 Rabbit Monoclonal antibody and it appears that M02236-1 has been validated on human in both WB and IHC. Thus M02236-1 should work for your application. Our Boster satisfaction guarantee will cover this product for IHC in human even if the specific tissue type has not been validated. We do have a comprehensive range of products for IHC detection and you can check out our website bosterbio.com to find out more information about them.
Boster Scientific Support
Answered: 2013-08-30
Question
Thank you for helping with my inquiry over the phone. Here are the WB image, lot number and protocol we used for thymus using anti-CD8 Rabbit Monoclonal antibody M02236-1. Let me know if you need anything else.
A. Wu
Verified customer
Asked: 2013-03-07
Answer
We appreciate the data. You have provided everything we needed. Our lab team are working to resolve your inquiry as quickly as possible, and we appreciate your patience and understanding! Please let me know if there is anything you need in the meantime.
Boster Scientific Support
Answered: 2013-03-07


